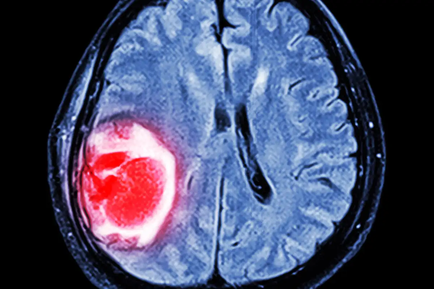
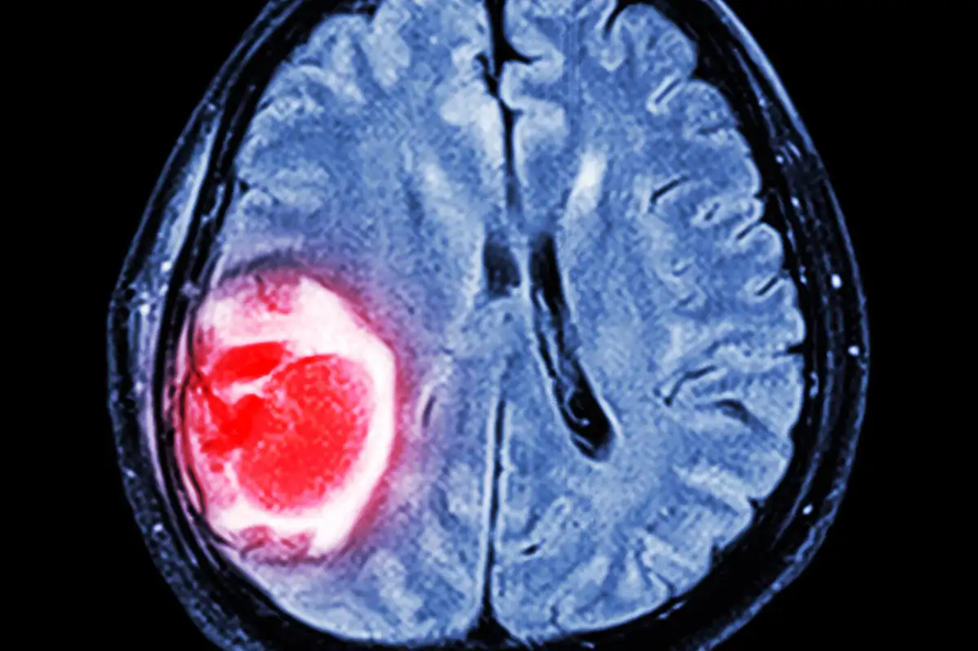
AI giúp phân loại khối u não chỉ trong vài giờ

0:00 / 0:00
0:00
(Ngày Nay) - Một nhóm nghiên cứu thuộc Đại học Quốc gia Australia (ANU) đã phát triển một công cụ trí tuệ nhân tạo (AI) có thể phân loại các khối u não nhanh và chính xác hơn.
AI giúp phân loại khối u não chỉ trong vài giờ

Trong một nghiên cứu được công bố vào ngày 17/5, nhóm nghiên cứu đã chứng minh mô hình học sâu của họ – DEPLOY – có thể phân loại chính xác các khối u não thành 10 loại. Theo đó, công cụ AI đã phân tích hình ảnh hiển vi của mô não bệnh nhân để phân loại.

Nếu việc chẩn đoán và phân loại khối u não hiện nay dựa trên quá trình methyl hóa ADN mất khoảng vài tuần, thì công cụ AI có thể cho ra kết quả chỉ trong vài giờ. Đáng chú ý, DEPLOY còn cho kết quả chính xác cao chưa từng có, lên tới 95%. Khi được cung cấp 309 mẫu đặc biệt khó phân loại, DEPLOY có thể đưa ra chẩn đoán phù hợp hơn về mặt lâm sàng so với chẩn đoán mà các nhà nghiên cứu bệnh học đưa ra ban đầu.

Theo các nhà nghiên cứu, DEPLOY đã được đào tạo và xác nhận trên tập dữ liệu gồm khoảng 4.000 bệnh nhân từ Mỹ và một số nước châu Âu. Công nghệ này có thể được sử dụng trong tương lai để bổ sung vào chẩn đoán ban đầu của các nhà nghiên cứu bệnh học hoặc là cơ sở để xem xét lại nếu có sự không tương đồng. Hơn thế nữa, các nhà nghiên cứu còn kỳ vọng công nghệ AI này có thể giúp phân loại các ung thư khác.

Tiếp tục sáng tạo, thực hiện cam kết của Thành phố Sáng tạo UNESCO
Tiếp tục sáng tạo, thực hiện cam kết của Thành phố Sáng tạo UNESCO
(Ngày Nay) - Tối 31/1 tại phường Xuân Hương- Đà Lạt (Lâm Đồng), Không gian Sáng tạo Phố Bên Đồi (Công ty TNHH Nghệ thuật Số Bảy) ra mắt Dự án âm nhạc Phố Bên Đồi (Phố Bên Đồi Music Project) và khai mạc chương trình biểu diễn âm nhạc cộng đồng. Đây là hoạt động thực hiện các cam kết quốc tế khi Đà Lạt (cũ) khi gia nhập Mạng lưới Thành phố Sáng tạo UNESCO (UCCN) ở lĩnh vực Âm nhạc vào năm 2023.
Thủ tướng Phạm Minh Chính: Xem xét cả 3 phương thức công tư với Dự án đường sắt tốc độ cao trên trục Bắc – Nam
Thủ tướng Phạm Minh Chính: Xem xét cả 3 phương thức công tư với Dự án đường sắt tốc độ cao trên trục Bắc – Nam
(Ngày Nay) - Chiều 31/1, tại Trụ sở Chính phủ, Thủ tướng Phạm Minh Chính, Trưởng ban Chỉ đạo các công trình trọng điểm, dự án quan trọng quốc gia lĩnh vực đường sắt chủ trì phiên họp thứ 6 của Ban Chỉ đạo; trực tuyến với 18 tỉnh, thành phố có các dự án đường sắt đi qua.
Cận cảnh phòng học “5 sao” tại trường liên cấp chuẩn quốc tế đầu tiên vùng biên giới Điện Biên
Cận cảnh phòng học “5 sao” tại trường liên cấp chuẩn quốc tế đầu tiên vùng biên giới Điện Biên
(Ngày Nay) - Bên cạnh các môn văn hóa cơ bản, học sinh vùng biên giới Si Pa Phìn (Điện Biên) sẽ được tiếp cận chương trình giáo dục toàn diện Đức – Trí – Thể – Mỹ…tại ngôi trường khang trang chuẩn 5 sao khánh thành ngày 31/1/2026. Ngôi trường được xây dựng thần tốc trong hơn 5 tháng bởi liên danh Tập đoàn Sun Group và Công ty Thương mại và Xây dựng số 6.
Ảnh minh hoạ.
TP HCM: Rà soát dữ liệu học sinh phục vụ tuyển sinh đầu cấp trực tuyến
(Ngày Nay) - Triển khai công tác tuyển sinh các lớp đầu cấp theo hình thức trực tuyến tại Thành phố Hồ Chí Minh, từ ngày 3/2-3/3, phụ huynh có con chuẩn bị vào lớp 1 và lớp 6 truy cập hệ thống tuyển sinh đầu cấp tại địa chỉ https://tuyensinhdaucap.hcm.edu.vn để kiểm tra và xác nhận thông tin học sinh.
Tổng Bí thư Tô Lâm trao Quyết định của Bộ Chính trị cho các đồng chí Lê Minh Trí (bên trái) và Đoàn Minh Huấn (bên phải). Ảnh: Thống Nhất/TTXVN.
Bộ Chính trị quyết định phân công, bổ nhiệm cán bộ
(Ngày Nay) - Tổng Bí thư Tô Lâm trao Quyết định của Bộ Chính trị phân công, bổ nhiệm ông Lê Minh Trí giữ chức Trưởng Ban Nội chính Trung ương và ông Đoàn Minh Huấn giữ chức Giám đốc Học viện Chính trị Quốc gia Hồ Chí Minh.
Học sinh TP Hồ Chí Minh trong một buổi tư vấn hướng nghiệp.
Chuyển đổi giáo dục nghề nghiệp đáp ứng nhu cầu nhân lực TP HCM
(Ngày Nay) - TP Hồ Chí Minh đặt mục tiêu đến cuối năm 2026 nâng tỷ lệ lao động trình độ cao đẳng, đại học và tăng mạnh người học các ngành khoa học, kỹ thuật, công nghệ. Điều này đặt ra yêu cầu cấp thiết phải tái cấu trúc hệ thống giáo dục nghề nghiệp, gắn đào tạo với chuyển đổi số, kinh tế tri thức và nhu cầu thực tế của thị trường lao động.
Apple sẽ ưu tiên ra mắt các mẫu iPhone cao cấp trong năm 2026
Apple sẽ ưu tiên ra mắt các mẫu iPhone cao cấp trong năm 2026
(Ngày Nay) - Theo Nikkei Asia, Apple đang ưu tiên sản xuất và xuất xưởng 3 mẫu iPhone cao cấp nhất trong dòng iPhone mới năm 2026, đồng thời trì hoãn việc xuất xưởng mẫu tiêu chuẩn, trong bối cảnh hãng điều chỉnh chiến lược tiếp thị và đối mặt với những khó khăn trong chuỗi cung ứng.