Bị nhiễm lao kê cực nặng, bé 3 tháng tuổi sống sót thần kỳ

(Ngày Nay) - Được theo dõi điều trị tích cực hơn 3 tháng, lệ thuộc oxy hơn 3 tháng tưởng chừng như không còn cơ hội sống, nhưng điều kỳ diệu đã đến với bé...

Thông tin từ VTC News cho biết, đó là trường hợp của V.T.N (5 tháng tuổi, quê An Giang). Bệnh nhi nhập viện trong tình trạng nhiễm lao kê nặng, phổi trắng xoá, kén khí do các ổ lao vỡ liên tục gây tràn khí màng phổi những 4 lần, thở máy kéo dài, suy hô hấp nặng lệ. Tình trạng của bé nguy kịch đến nỗi các bác sĩ tưởng chừng bé không còn cơ hội sống.

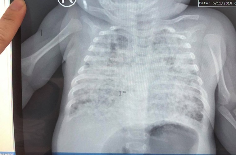
Bị nhiễm lao kê cực nặng, bé 3 tháng tuổi sống sót thần kỳ ảnh 1

Phim phổi tổn thương trắng xóa, lấm tấm do lao kê của bé khi mới nhập viện điều trị - Ảnh: Pháp luật TP.HCM

Nhớ lại tháng trước, nhìn con nằm thoi thóp trên giường bệnh phòng cách ly khoa Hồi Sức Tích Cực, BV Nhi Đồng TP.HCM, chị N. (28 tuổi; ngụ tỉnh An Giang) rưng rưng mắt cho biết, đây là lần thứ 4 bé phải đặt ống thở máy và chọc hút khí màng phổi cấp cứu sau khi phát hiện bệnh lao.

3 tháng trước, chị vừa sinh con đầu lòng thì chồng phát hiện mắc lao phổi. Sau khi người cha được điều trị tấn công tới tháng thứ 2 thì bé bệnh sốt ho liên tục 1 tuần. Nhập viện địa phương uống thuốc không đỡ, bé được chuyển lên BV Nhi đồng TP.HCM.

Theo báo Công an TP.HCM, tại BV Nhi Đồng TP, bé được giải quyết từng đợt nhiễm phổi một cách triệt để, chọc hút khí màng phổi, nhiều lần cấp cứu kịp thời do các kén lao vỡ, thậm chí lúc nặng nhất phải thở máy rung tần số cao để đảm bảo trao đổi khí cho bé, điều trị kháng sinh và kháng lao tấn công hơn gần 3 tháng theo phác đồ.

Được theo dõi điều trị tích cực hơn 3 tháng, lệ thuộc oxy hơn 3 tháng tưởng chừng như không còn cơ hội sống, nhưng điều kỳ diệu đã đến với bé, phổi bé sáng dần lên, mô phổi giảm tổn thương và thông khí ngày càng hiệu quả, các kén khí lớn giảm rõ rệt.

Bị nhiễm lao kê cực nặng, bé 3 tháng tuổi sống sót thần kỳ ảnh 2

Sau 3 tháng, bé dần hồi phục - Ảnh: VTC News

Các bác sĩ đánh giá nguy cơ tràn khí màng phổi và suy hô hấp có cải thiện và có khả năng ít tái phát, bé được chuyển viện đến Bệnh viện Phạm Ngọc Thạch để điều trị tiếp tục phác đồ lao vào nửa tháng trước. Hiện bé vừa được xuất viện trong vòng tay của gia đình tại Bệnh viện Phạm Ngọc Thạch.

Trao đổi với báo Pháp luật TP.HCM, BS Ngô Văn Tuấn An, Khoa hồi sức tích cực BV Nhi đồng Thành phố cho biết: Trẻ mắc lao bẩm sinh thường do người mẹ mắc bệnh khi đang mang thai hoặc có thể đã mắc trước đó nhưng không được phát hiện. Cũng có một số ít trẻ sơ sinh nhiễm lao khi vừa lọt lòng do tiếp xúc trực tiếp với nguồn lây từ phòng sinh, người thân gia đình. Những trường hợp này vẫn được gọi là bệnh lao bẩm sinh.

Theo BS An, hệ miễn dịch ở trẻ sơ sinh vốn dĩ đã rất yếu nên khi biết mắc bệnh này, trẻ cần được điều trị ngay để tránh những biến chứng. Nếu phát hiện trễ, các bé có thể mắc các thể lao nặng như lao kê, lao màng não, dễ dẫn đến tử vong.

Tổng hợp

TIN LIÊN QUAN
Tiếp tục sáng tạo, thực hiện cam kết của Thành phố Sáng tạo UNESCO
Tiếp tục sáng tạo, thực hiện cam kết của Thành phố Sáng tạo UNESCO
(Ngày Nay) - Tối 31/1 tại phường Xuân Hương- Đà Lạt (Lâm Đồng), Không gian Sáng tạo Phố Bên Đồi (Công ty TNHH Nghệ thuật Số Bảy) ra mắt Dự án âm nhạc Phố Bên Đồi (Phố Bên Đồi Music Project) và khai mạc chương trình biểu diễn âm nhạc cộng đồng. Đây là hoạt động thực hiện các cam kết quốc tế khi Đà Lạt (cũ) khi gia nhập Mạng lưới Thành phố Sáng tạo UNESCO (UCCN) ở lĩnh vực Âm nhạc vào năm 2023.
Cận cảnh phòng học “5 sao” tại trường liên cấp chuẩn quốc tế đầu tiên vùng biên giới Điện Biên
Cận cảnh phòng học “5 sao” tại trường liên cấp chuẩn quốc tế đầu tiên vùng biên giới Điện Biên
(Ngày Nay) - Bên cạnh các môn văn hóa cơ bản, học sinh vùng biên giới Si Pa Phìn (Điện Biên) sẽ được tiếp cận chương trình giáo dục toàn diện Đức – Trí – Thể – Mỹ…tại ngôi trường khang trang chuẩn 5 sao khánh thành ngày 31/1/2026. Ngôi trường được xây dựng thần tốc trong hơn 5 tháng bởi liên danh Tập đoàn Sun Group và Công ty Thương mại và Xây dựng số 6.
Ảnh minh hoạ.
TP HCM: Rà soát dữ liệu học sinh phục vụ tuyển sinh đầu cấp trực tuyến
(Ngày Nay) - Triển khai công tác tuyển sinh các lớp đầu cấp theo hình thức trực tuyến tại Thành phố Hồ Chí Minh, từ ngày 3/2-3/3, phụ huynh có con chuẩn bị vào lớp 1 và lớp 6 truy cập hệ thống tuyển sinh đầu cấp tại địa chỉ https://tuyensinhdaucap.hcm.edu.vn để kiểm tra và xác nhận thông tin học sinh.
Tổng Bí thư Tô Lâm trao Quyết định của Bộ Chính trị cho các đồng chí Lê Minh Trí (bên trái) và Đoàn Minh Huấn (bên phải). Ảnh: Thống Nhất/TTXVN.
Bộ Chính trị quyết định phân công, bổ nhiệm cán bộ
(Ngày Nay) - Tổng Bí thư Tô Lâm trao Quyết định của Bộ Chính trị phân công, bổ nhiệm ông Lê Minh Trí giữ chức Trưởng Ban Nội chính Trung ương và ông Đoàn Minh Huấn giữ chức Giám đốc Học viện Chính trị Quốc gia Hồ Chí Minh.
Học sinh TP Hồ Chí Minh trong một buổi tư vấn hướng nghiệp.
Chuyển đổi giáo dục nghề nghiệp đáp ứng nhu cầu nhân lực TP HCM
(Ngày Nay) - TP Hồ Chí Minh đặt mục tiêu đến cuối năm 2026 nâng tỷ lệ lao động trình độ cao đẳng, đại học và tăng mạnh người học các ngành khoa học, kỹ thuật, công nghệ. Điều này đặt ra yêu cầu cấp thiết phải tái cấu trúc hệ thống giáo dục nghề nghiệp, gắn đào tạo với chuyển đổi số, kinh tế tri thức và nhu cầu thực tế của thị trường lao động.
Apple sẽ ưu tiên ra mắt các mẫu iPhone cao cấp trong năm 2026
Apple sẽ ưu tiên ra mắt các mẫu iPhone cao cấp trong năm 2026
(Ngày Nay) - Theo Nikkei Asia, Apple đang ưu tiên sản xuất và xuất xưởng 3 mẫu iPhone cao cấp nhất trong dòng iPhone mới năm 2026, đồng thời trì hoãn việc xuất xưởng mẫu tiêu chuẩn, trong bối cảnh hãng điều chỉnh chiến lược tiếp thị và đối mặt với những khó khăn trong chuỗi cung ứng.