Cụ ông hôn mê vì uống An cung ngưu hoàng hoàn ngừa tai biến

Sau 1 tuần uống 4 liều an cung ngưu hoàng hoàn với mục đích phòng ngừa tai biến mạch máu não, bệnh nhân phải vào cấp cứu tại Bệnh viện Hữu Nghị (Hà Nội) trong tình trạng hôn mê. 
Bác sĩ Khiêm thăm khám cho bệnh nhân tại khoa Cấp cứu, Bệnh viện Hữu Nghị.
Bác sĩ Khiêm thăm khám cho bệnh nhân tại khoa Cấp cứu, Bệnh viện Hữu Nghị.

BSCKII. Nguyễn Đặng Khiêm - Trưởng khoa Cấp cứu, Bệnh viện Hữu Nghị cho biết, bệnh nhân L.V.L. (70 tuổi, ở Hoàng Mai, Hà Nội) được đưa vào viện cấp cứu ngày 26/6 trong tình trạng bị hôn mê sau khi uống thuốc an cung ngưu hoàng hoàn ngừa tai biến mạch máu não.

Người nhà bệnh nhân cho biết, trước đó khoảng 1 tuần ông L. bị ngã và xuất hiện tình trạng đau đầu chóng mặt. Lo ngại bị tai biến mạch máu não, gia đình đã cho ông uống cho uống 4  liều thuốc an cung ngưu hoàng hoàn để dự phòng tai biến. Sau 4 liều thuốc này, ông L. bắt đầu có biểu hiện bất thường, hôn mê nên người thân đưa vào bệnh viện cấp cứu.

Khi tiếp nhận bệnh nhân, các bác sĩ đã nhanh chóng chỉ định chụp cắt lớp CT và phát hiện bệnh nhân bị xuất huyết não có cục máu tụ dưới màng cứng. Ngay lập tức, bệnh nhân được tiến hành xử lý lấy máu tụ và sức khoẻ ổn định sau 4 ngày can thiệp.

Không phải “thần dược” ngừa tai biến

Đáng chú ý, đây không phải ca bệnh đầu tiên phải nhập viện cấp cứu sau khi uống an cung ngưu hoàng hoàn - thứ thuốc được cho là “thần dược” phòng ngừa tai biến, đột quỵ. Quá nhiều lời đồn thổi về loại thuốc này khiến nhiều người mua về tích trữ trong nhà, coi đây là một lá “bùa hộ mệnh” khi có tai biến. Và cũng không ít người trong số đó đã ngậm ngùi vì người thân không qua khỏi, sống thực vật vì tin tưởng an cung ngưu hoàng hoàn.

BS. Khiêm cảnh báo, an cung ngưu hoàng hoàn không có tác dụng dự phòng tai biến mạch máu não. Đây là loại thuốc dùng trong trường hợp bị tai biến nhồi máu và phải có chỉ định từ bác sĩ nhưng trên thực tế người dân sử dụng rất bừa bãi. Rất nhiều bệnh nhân cao huyết áp luôn dự phòng an cung ngưu hoàng hoàn để dự phòng tai biến mạch máu não, dù đây là thuốc điều trị không phải thuốc dự phòng.

"Về lý thuyết, bệnh nhân bị tai biến nhồi máu não uống an cung ngưu có thể cải thiện lâm sàng do thuốc làm giảm yếu tố đông máu. Tuy nhiên, khi xảy ra tai biến, không ai có thể xác định bệnh nhân đang bị nhồi máu não hay xuất huyết não khi chưa tới bệnh viện để chẩn đoán. Trong trường hợp bị tai biến xuất huyết não, uống an cung ngưu càng nguy hiểm vì gia tăng chảy máu.

Do thuốc an cung ngưu có tác dụng chống đông. Bệnh nhân đang bị xuất huyết máu não, cần cầm máu không cho chảy thì lại uống an cung khiến máu không thể đông lại, càng chảy máu nhiều thêm, nguy hiểm cho người bệnh. Vì thế, trước khi dùng thuốc, người bệnh cần được chụp cộng hưởng từ, chẩn đoán chính xác tình trạng tai biến mạch máu não có chảy máu hay không”- chuyên gia cấp cứu cảnh báo.

Cụ ông hôn mê vì uống An cung ngưu hoàng hoàn ngừa tai biến ảnh 1

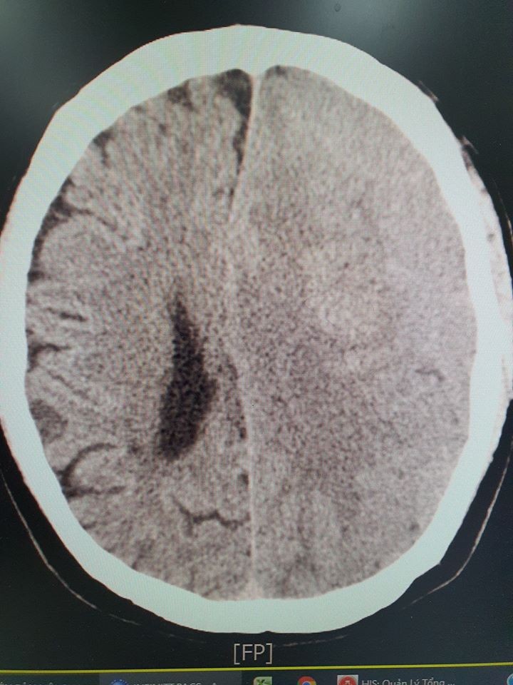
Chụp cắt lớp vi tính sọ não có hình ảnh chảy máu dưới màng cứng sau khi bệnh nhân dùng an cung ngưu.

Một điểm cần lưu ý nữa là, kể cả trong trường hợp tai biến nhồi máu não, nếu bệnh nhân có đông tắc mạch thì việc tùy tiện dùng thuốc an cung ngưu cũng rất nguy hiểm. Vì nếu vùng nhồi máu quá lớn, dùng thuốc an cung sẽ gây nguy cơ chảy máu bên trong vùng nhồi máu làm tình trạng chảy máu thêm trầm trọng hơn.

Chính vì vậy, khi dùng thuốc cần đặc biệt tuân thủ theo chỉ định của bác sĩ, không tùy tiện sử dụng gây hậu quả nặng nề. Tuyệt đối không dùng thuốc này cho bệnh nhân bị tai biến máu não do chảy máu. Với bất cứ trường hợp tai biến mạch máu não nào, việc can thiệp sớm trong giờ vàng (3-4 giờ sau khi có biểu hiện) rất quan trọng để cứu sống người bị tai biến mạch máu não.

GS.TS Nguyễn Văn Thông – Chủ tịch Hội Đội quỵ Việt Nam, Nguyên Giám đốc Trung tâm Đột quỵ, BV Trung ương Quân đội 108 cũng cảnh báo, tuyệt đối không tự ý cho người đột quỵ uống An cung ngưu hoàng hoàn hoặc uống loại thuốc này để dự phòng tai biến đột quỵ. Trong quá trình điều trị, GS. Thông cho biết đã từng tiếp nhận bệnh nhân cấp cứu vì nhiễm độc thạch tín, thủy ngân sau khi uống An cung ngưu hoàng hoàn.

Các bác sĩ cho biết, những biểu hiện thường gặp ở người đột quỵ là méo miệng, tê bì, yếu liệt chân tay, nói khó… Do đó, khi thấy một người các dấu hiệu như trên cần nhanh chóng đưa bệnh nhân đến bệnh viện có điều trị đột quỵ gần nhất để được cấp cứu kịp thời.

“Vấn đề quan trọng nhất trong cấp cứu đột quỵ là vấn đề thời gian, chính vì vậy, phải nhanh chóng đưa người bệnh đến các cơ sở y tế uy tín có đủ trang thiết bị máy móc hiện đại để được khám tư vấn và điều trị kịp thời, tận dụng "thời gian vàng" của não, tránh đột quỵ não gây di chứng nặng nề”- GS. Thông đặc biệt nhấn mạnh.

Để phòng bệnh đột quỵ, các bác sĩ khuyến cáo, người dân cần tích cực vận động cơ thể và tập thể dục thường xuyên (30 phút mỗi ngày); giữ chế độ ăn uống đúng mức để tránh béo phì; hạn chế rượu, bia; tránh hút thuốc lá.

Cần điều trị tốt bệnh tăng huyết áp, phòng và điều trị đái tháo đường, khắc phục tình trạng tăng cholesterol.

Khi gặp người đột quỵ, tuyệt đối không tự ý mua thuốc uống hoặc xoa bóp, cạo gió, chích đầu ngón tay… làm mất “thời gian vàng” điều trị mà cần đưa đi cấp cứu ngay giảm tỉ lệ tử vong và tàn phế.

Theo SK&ĐS
Tiếp tục sáng tạo, thực hiện cam kết của Thành phố Sáng tạo UNESCO
Tiếp tục sáng tạo, thực hiện cam kết của Thành phố Sáng tạo UNESCO
(Ngày Nay) - Tối 31/1 tại phường Xuân Hương- Đà Lạt (Lâm Đồng), Không gian Sáng tạo Phố Bên Đồi (Công ty TNHH Nghệ thuật Số Bảy) ra mắt Dự án âm nhạc Phố Bên Đồi (Phố Bên Đồi Music Project) và khai mạc chương trình biểu diễn âm nhạc cộng đồng. Đây là hoạt động thực hiện các cam kết quốc tế khi Đà Lạt (cũ) khi gia nhập Mạng lưới Thành phố Sáng tạo UNESCO (UCCN) ở lĩnh vực Âm nhạc vào năm 2023.
Cận cảnh phòng học “5 sao” tại trường liên cấp chuẩn quốc tế đầu tiên vùng biên giới Điện Biên
Cận cảnh phòng học “5 sao” tại trường liên cấp chuẩn quốc tế đầu tiên vùng biên giới Điện Biên
(Ngày Nay) - Bên cạnh các môn văn hóa cơ bản, học sinh vùng biên giới Si Pa Phìn (Điện Biên) sẽ được tiếp cận chương trình giáo dục toàn diện Đức – Trí – Thể – Mỹ…tại ngôi trường khang trang chuẩn 5 sao khánh thành ngày 31/1/2026. Ngôi trường được xây dựng thần tốc trong hơn 5 tháng bởi liên danh Tập đoàn Sun Group và Công ty Thương mại và Xây dựng số 6.
Ảnh minh hoạ.
TP HCM: Rà soát dữ liệu học sinh phục vụ tuyển sinh đầu cấp trực tuyến
(Ngày Nay) - Triển khai công tác tuyển sinh các lớp đầu cấp theo hình thức trực tuyến tại Thành phố Hồ Chí Minh, từ ngày 3/2-3/3, phụ huynh có con chuẩn bị vào lớp 1 và lớp 6 truy cập hệ thống tuyển sinh đầu cấp tại địa chỉ https://tuyensinhdaucap.hcm.edu.vn để kiểm tra và xác nhận thông tin học sinh.
Học sinh TP Hồ Chí Minh trong một buổi tư vấn hướng nghiệp.
Chuyển đổi giáo dục nghề nghiệp đáp ứng nhu cầu nhân lực TP HCM
(Ngày Nay) - TP Hồ Chí Minh đặt mục tiêu đến cuối năm 2026 nâng tỷ lệ lao động trình độ cao đẳng, đại học và tăng mạnh người học các ngành khoa học, kỹ thuật, công nghệ. Điều này đặt ra yêu cầu cấp thiết phải tái cấu trúc hệ thống giáo dục nghề nghiệp, gắn đào tạo với chuyển đổi số, kinh tế tri thức và nhu cầu thực tế của thị trường lao động.
Apple sẽ ưu tiên ra mắt các mẫu iPhone cao cấp trong năm 2026
Apple sẽ ưu tiên ra mắt các mẫu iPhone cao cấp trong năm 2026
(Ngày Nay) - Theo Nikkei Asia, Apple đang ưu tiên sản xuất và xuất xưởng 3 mẫu iPhone cao cấp nhất trong dòng iPhone mới năm 2026, đồng thời trì hoãn việc xuất xưởng mẫu tiêu chuẩn, trong bối cảnh hãng điều chỉnh chiến lược tiếp thị và đối mặt với những khó khăn trong chuỗi cung ứng.
TP HCM tập huấn chẩn đoán, điều trị bệnh do virus Nipah cho cơ sở y tế
TP HCM tập huấn chẩn đoán, điều trị bệnh do virus Nipah cho cơ sở y tế
(Ngày Nay) - Trước nguy cơ bệnh do virus Nipah xâm nhập, ngành y tế TP Hồ Chí Minh tăng cường năng lực cho tuyến cơ sở thông qua tập huấn cập nhật hướng dẫn giám sát, chẩn đoán, điều trị và các biện pháp phòng, chống dịch nhằm bảo đảm phát hiện sớm, xử trí kịp thời và hạn chế tối đa nguy cơ lây lan trong cộng đồng.
Trọn vẹn tình xuân Tây Bắc trong hộp quà tết Shanam
Trọn vẹn tình xuân Tây Bắc trong hộp quà tết Shanam
(Ngày Nay) -Hộp quà Tết Shanam không chỉ đặc biệt với những phẩm quà ngon, lành mà còn chứa đựng những câu chuyện thú vị, ấm áp, đầy sức sống về con người vùng cao, đậm đà, trọn vẹn như hương xuân, vị tết vùng rẻo cao Tây Bắc