Hy hữu: Cây đinh gỉ sét 'chui' vào phổi người đàn ông suốt 4 tháng

(Ngày Nay) - Trong lúc lao động, người đàn ông 55 tuổi vô tình há miệng đúng lúc cây đinh văng trúng, xuyên qua thực quản vào phổi.
Cây đinh sắt đã gỉ được gắp ra từ phổi bệnh nhân.
Cây đinh sắt đã gỉ được gắp ra từ phổi bệnh nhân.

Thông tin từ VTV cho biết, vừa qua Bệnh viện Chợ Rẫy đã tiếp nhận bệnh nhân tên L.Q.H. (55 tuổi) vào viện trong tình trạng ho liên tục 4 tháng qua, có lúc ho ra máu. Kết quả chụp CT cho thấy, bệnh nhân có dị vật nằm ở phế quản thùy dưới bên trái phổi.

Ngay lập tức, các bác sĩ Khoa Nội soi đã tiến hành nội soi bằng ống mềm, gắp dị vật là cây đinh sắt đã gỉ ra khỏi phế quản của bệnh nhân.

Hy hữu: Cây đinh gỉ sét 'chui' vào phổi người đàn ông suốt 4 tháng ảnh 1

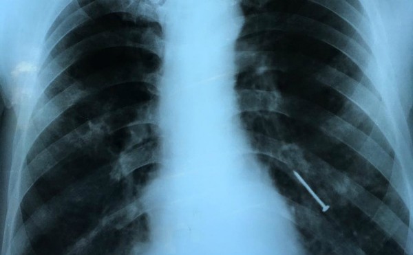
Hình ảnh X-quang cây đinh nằm ở phế quản bệnh nhân. Ảnh: V.T.

Sau gắp, sức khỏe bệnh nhân dần ổn định, tình trạng ho ra máu giảm, bệnh nhân chỉ viêm phổi nhẹ và có thể tự hết.

Trao đổi với Vnexpress, bệnh nhân cho biết, do hoàn cảnh khó khăn nên ông H. phải đi biển sửa tàu thuê. Cách đây 4 tháng ông trong lúc đóng đinh vào thân tàu, ông há miệng và không ngờ cây đinh văng vào miệng rồi chui vào phế quản. Từ đó ông ho liên tục nhưng không có tiền đi viện. Gần đây tình trạng ho chuyển nặng, nhiều lúc ho ra máu nên ông mới vào bệnh viện thăm khám.

Tổng hợp

Loạt phim Việt làm nên “kỷ lục doanh thu lịch sử” trong Quý 1/2026
Vì sao phim Việt đầu năm đại thắng ngàn tỷ đồng?
(Ngày Nay) - Các phim Việt Nam ra rạp kể từ đầu năm 2026 đến hết tháng 3/2026 gặt thành công lớn khi lập kỷ lục doanh thu phòng vé lên tới 1.130 tỷ đồng , vượt qua con số 1.110 tỷ đồng cùng kỳ năm ngoái . Điều này cho thấy khán giả đang rất ủng hộ và thích xem phim Việt.
Tổng vốn đầu tư toàn xã hội tăng gần 11% vào Quý I
Tổng vốn đầu tư toàn xã hội tăng gần 11% vào Quý I
(Ngày Nay) - Cục Thống kê, Bộ Tài chính vừa công bố, hoạt động đầu tư trong quý I/2026 tiếp tục duy trì đà tăng trưởng tích cực, với quy mô vốn toàn xã hội mở rộng và dòng vốn đầu tư nước ngoài gia tăng rõ rệt.
Bộ trưởng, Chủ nhiệm Văn phòng Chính phủ Trần Văn Sơn chủ trì họp báo Chính phủ thường kỳ.
Nỗ lực bảo đảm nguồn cung xăng dầu, cung ứng đủ điện
(Ngày Nay) - Chiều 4/4, tại Hà Nội, Văn phòng Chính phủ tổ chức họp báo Chính phủ thường kỳ dưới sự chủ trì của Bộ trưởng, Chủ nhiệm Văn phòng Chính phủ Trần Văn Sơn. Tại họp báo, đại diện lãnh đạo một số bộ, ngành trả lời câu hỏi của các phóng viên liên quan những vấn đề nóng đang được dư luận xã hội quan tâm.
Bộ Giáo dục và Đào tạo đã yêu cầu tất cả trường học phải công khai đơn vị cung cấp thức ăn, thực phẩm trên trang thông tin điện tử, phương tiện thông tin đại chúng.
Bộ Giáo dục và Đào tạo yêu cầu các trường học phải công khai đơn vị cung cấp thức ăn, thực phẩm
(Ngày Nay) - Chiều 4/4, tại cuộc họp báo Chính phủ thường kỳ, ông Hoàng Đức Minh, Vụ trưởng Vụ Học sinh sinh viên (Bộ Giáo dục và Đào tạo) cho biết Bộ Giáo dục và Đào tạo đã yêu cầu tất cả trường học phải công khai đơn vị cung cấp thức ăn, thực phẩm trên trang thông tin điện tử, phương tiện thông tin đại chúng.
Bác bỏ tối hậu thư, Iran ra cảnh báo ngược lại với Mỹ
Bác bỏ tối hậu thư, Iran ra cảnh báo ngược lại với Mỹ
(Ngày Nay) - Bộ chỉ huy quân sự trung tâm của Iran đã bác bỏ lời đe dọa của Tổng thống Mỹ Donald Trump về việc phá hủy cơ sở hạ tầng quan trọng của nước này nếu Iran không chấp nhận một thỏa thuận hòa bình trong vòng 48 giờ.
Thủ tướng tiếp Đại sứ Kuwait tại Việt Nam
Thủ tướng tiếp Đại sứ Kuwait tại Việt Nam
(Ngày Nay) - Ngày 4/4, tại Trụ sở Chính phủ, Thủ tướng Chính phủ Phạm Minh Chính đã tiếp ông Yousef Ashour Al-Sabbagh, Đại sứ Kuwait tại Việt Nam để trao đổi về các biện pháp thúc đẩy quan hệ Đối tác Chiến lược và hợp tác bảo đảm an ninh năng lượng giữa hai nước.