Thông tin từ báo Sức khỏe và Đời sống cho biết, các chuyên gia thận tiết niệu của BV Việt Đức vừa hỗ trợ cho các bác sĩ BVĐK Hùng Vương, Phú Thọ điều trị một ca bệnh hiếm gặp.
Theo đó, bệnh nhân là V. V. H (61 tuổi, quê ở Chiêm Hóa – Tuyên Quang) nhập viện với các biểu hiện đau bụng âm ỉ vùng hố chậu phải, đau xuyên ra sau lưng vùng cột sống thắt lưng.
Người nhà bệnh nhân cho biết, tình trạng đau bụng âm ỉ kéo dài nhiều tháng nay nhưng một tháng gần đây tình trạng đau bụng ngày càng tăng, gia đình đã đưa bệnh nhân đến bệnh viện tuyến huyện điều trị hai tuần tuy nhiên bệnh không thuyên giảm và đau nhiều hơn.
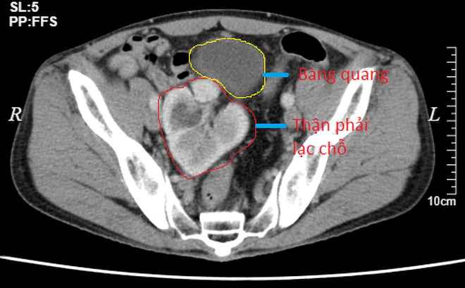
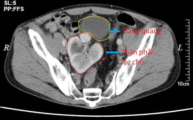
Sau nhập viện, bệnh nhân được chỉ định làm các cận lâm sàng cần thiết, kết quả chụp CT đa dãy cho thấy hình ảnh nang nhỏ thận phải, thận phải lạc chỗ trong tiểu khung lệch phải kích thước bình thường, nhu mổ có nang nhỏ 17mm.
Qua các kết quả cận lâm sàng các bác sỹ chẩn đoán bệnh nhân bị nang thận phải, thận phải lạc chỗ và cần phẫu thuật cố định thận phải.
Bệnh nhân đã được phẫu thuật đưa thận về vị trí an toàn. |
Theo PGS. Đỗ Trường Thành - Trưởng khoa tiết niệu, BV Việt Đức, đây là trường hợp rất đặc biệt, bên thận phải của bệnh nhân lạc chỗ 61 năm nhưng vẫn hoạt động rất tốt, rất hiếm bệnh nhân có tình trạng thận lạc chỗ như vậy.
Bác sĩ cũng cho biết, thận lạc chỗ là bệnh bẩm sinh, thông thường khi thận lạc chỗ quá lâu sẽ không còn hoạt động và thường phải phẫu thuật cắt bỏ. Cách phát hiện tốt nhất là thực hiện chụp CT đa dãy kết hợp siêu âm ổ bụng.
Với những bệnh nhân khi siêu âm ổ bụng chỉ phát hiện có một bên thận cần thực hiện CT đa dãy để xác định quả thận còn lại có bị lạc hay không để điều trị kịp thời, báo Gia đình mới đưa
Tổng hợp
