Người đàn ông Hà Nội có tim và dạ dày lộn ngược khiến bác sĩ kinh ngạc

Nam bệnh nhân 37 tuổi đến viện cấp cứu vì đau ruột thừa, tuy nhiên kết quả chụp X-quang khiến các bác sĩ tròn mắt khi tất thảy nội tạng đều nằm ở vị trí ngược so với thông thường.
Người đàn ông Hà Nội có tim và dạ dày lộn ngược khiến bác sĩ kinh ngạc

BS Nguyễn Sơn Hà, Trưởng khoa Ngoại Tổng hợp, BV đa khoa Đức Giang cho biết, nam bệnh nhân Vũ Văn H, 37 tuổi, sống tại Cổ Bi, Gia Lâm, Hà Nội vào BV cấp cứu do đau bụng vùng thượng vị và hố chậu trái, đau âm ỉ tăng dần.

Bệnh nhân được chỉ định siêu âm ổ bụng, chụp X-quang, xét nghiệm máu… Kết quả khẳng định bệnh nhân bị viêm ruột thừa cấp với đầy đủ triệu chứng như hội chứng nhiễm trùng, phản ứng thành bụng...

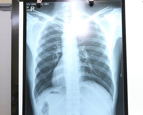
Tuy nhiên, điều khiến các bác sĩ kinh ngạc là tim cùng các phủ tạng khác trong lồng ngực và bụng của bệnh nhân đều ở vị trí ngược so với bình thường, tim và dạ dày đều ở bên phải còn gan, ruột thừa nằm ở bên trái. 

Người đàn ông Hà Nội có tim và dạ dày lộn ngược khiến bác sĩ kinh ngạc ảnh 1

Nội tạng của anh H. đảo ngược so với người bình thường. 

Theo BS Hà, đây là một trường hơp cực kỳ hiếm gặp. Với trường hợp thông thường, đau ruột thừa sẽ đau ở hố chậu phải vì vị trí manh tràng nằm bên phải, nhưng trường hợp này, bệnh nhân H. lại đau bên trái.

Do phủ tạng lộn bên nên điều khó khăn nhất trước khi phẫu thuật là phải xác định quai ruột có bị đảo lộn hay không.

“Trường hợp này rất nguy hiểm, bởi nếu quai ruột bị đảo lộn sang trái thay vì bên phải nhưng do thói quen bác sĩ chỉ khám bên phải, bỏ qua bên trái thì nguy cơ để sót tổn thương rất cao, dẫn tới viêm ruột thừa muộn gây viêm phúc mạc hoặc vỡ ruột thừa”, BS Hà thông tin.

Sau khi thăm khám kĩ, BS Hà cùng ekip quyết định mổ nội soi cắt ruột thừa cho bệnh nhân. Ca mổ hoàn tất sau 30 phút, phần ruột thừa được cắt bỏ hoàn toàn. Hiện tại, sức khoẻ của bệnh nhân đã ổn định.

Anh H. chia sẻ, trước đây từng đi khám sức khoẻ định kỳ nên đã được bác sĩ thông báo các cơ quan phủ tạng trong cơ thể nằm ở vị trí đối lập so với mọi người. Tuy nhiên mọi hoạt động của cơ thể vẫn bình thường, anh H. đã lập gia đình và có con.

Theo y văn, đảo ngược phủ tạng là do bẩm sinh, có thể đảo ngược phủ tạng hoàn toàn hoặc chỉ một vài cơ quan.

Đây là dạng dị tật có tính di truyền gene lặn tương đối hiếm gặp, với tỉ lệ khoảng 1/10.000 dân, trong đó có khoảng 5-10% có dị tật tim bẩm sinh, còn lại có cuộc sống hoàn toàn bình thường, không ảnh hưởng đến sức khỏe người bệnh.

BS Hà cho hay, hầu hết các trường hợp đảo lộn phủ tạng thường có kèm theo các dị tật về chức năng của các hệ cơ quan. Như tim mạch khi bị đảo lộn vị trí thường kèm theo các dị tật về van tim, dị tật về đường ra của các động mạch, tĩnh mạch lớn của tim.

Do đó phẫu thuật trên những bệnh nhân có biến loạn hoàn toàn về giải phẫu sẽ có nhiều nguy cơ. Để tránh rủi ro, bác sĩ cần thăm khám và đánh giá kĩ trước, trong và sau mổ.

Theo Vietnamnet
Phó Thủ tướng Trần Hồng Hà phát biểu chỉ đạo
Hoàn thiện cơ chế EPR thúc đẩy tái chế trong nước
(Ngày Nay) - Việc triển khai EPR sẽ hướng các doanh nghiệp sản xuất, nhập khẩu, người tiêu dùng tiếp cận các sản phẩm thân thiện hơn với môi trường, thông qua sự tham gia trực tiếp của nhà sản xuất, nhà nhập khẩu.
Quang cảnh diễn đàn
Gỡ rào cản cơ chế để tín dụng xanh "tăng tốc"
(Ngày Nay) - Trong tổng dư nợ toàn nền kinh tế Việt Nam hiện khoảng 18,2 triệu tỷ đồng, dư nợ tín dụng xanh mới chỉ đạt khoảng 750.000 tỷ đồng đến dưới 1 triệu tỷ đồng, chiếm tỷ trọng còn rất khiêm tốn. Đặc biệt, một trong những rào cản lớn là đặc thù nguồn vốn.
Chính sách phát triển, ứng dụng năng lượng nguyên tử
Chính sách phát triển, ứng dụng năng lượng nguyên tử
(Ngày Nay) - Chính phủ ban hành Nghị định số 331/2025/NĐ-CP quy định chi tiết một số điều và biện pháp thi hành Luật Năng lượng nguyên tử về phát triển, ứng dụng năng lượng nguyên tử. Trong đó, Nghị định nêu rõ một số chính sách đầu tư, phát triển nguồn nhân lực lĩnh vực năng lượng nguyên tử.
Tháo gỡ vướng mắc trong tổ chức thi hành Luật Đất đai
Tháo gỡ vướng mắc trong tổ chức thi hành Luật Đất đai
(Ngày Nay) - Chủ tịch Quốc hội Trần Thanh Mẫn đã ký chứng thực Nghị quyết số 254/2025/QH15 quy định một số cơ chế, chính sách tháo gỡ khó khăn, vướng mắc trong tổ chức thi hành Luật Đất đai. Nghị quyết bổ sung trường hợp Nhà nước thu hồi đất vì mục đích quốc phòng, an ninh làm cơ sở cai nghiện ma túy do lực lượng vũ trang nhân dân quản lý.
Đại uý, ThS Lê Tuấn Anh (ở giữa) cùng các học viên tại Trường Sĩ quan Lục. (Ảnh: Phương Anh)
Sáng tạo trong giáo dục quân đội: Tương lai của thế hệ chiến sĩ trẻ
(Ngày Nay) - Sáng tạo trong giáo dục quân đội là chìa khóa nâng cao chất lượng đào tạo, đáp ứng yêu cầu nhiệm vụ trong tình hình mới. Từ đổi mới phương pháp giảng dạy đến ứng dụng công nghệ, các cơ sở đào tạo đang từng bước khẳng định sự đổi mới toàn diện để tạo ra thế hệ chiến sĩ trẻ vừa “hồng”, vừa “chuyên”.