Nhập viện vì thói quen... ngửi vớ thối mỗi ngày

Người đàn ông được đưa vào cấp cứu ở bệnh viện và được chẩn đoán bị nhiễm trùng phổi nặng.
Nhập viện vì thói quen... ngửi vớ thối mỗi ngày

Một người đàn ông sống ở thị trấn Chương Châu, tỉnh Phúc Kiến (Trung Quốc) đã phải nhập viện do ông này có thói quen ngửi vớ thối của mình mỗi ngày, Mirror đưa tin.

Nhập viện vì thói quen... ngửi vớ thối mỗi ngày ảnh 1

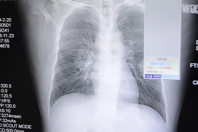
Phim chụp X-quang phổi của người đàn ông. Ảnh: ASIAWIRE

Được biết, sau khi đi làm về, thay quần áo, người đàn ông này thường đưa vớ lên mũi ngửi sau khi cởi nó ra khỏi chân. Kết quả là phổi ông ta bị nhiễm một loại nấm thường có trong giày dép, đã theo đường thở đi vào phổi.

Sau một triệu chứng khó thở, người đàn ông được đưa vào cấp cứu ở bệnh viện. Sau khi chụp X-quang, các bác sĩ xác nhận ông ta đã bị nhiễm trùng phổi nghiêm trọng. Hiện ông ta đang được giữ lại bệnh viện để điều trị.

Theo PLO
Đại tướng Phan Văn Giang, Ủy viên Bộ Chính trị, Phó Bí thư Quân ủy Trung ương, Bộ trưởng Bộ Quốc phòng tham gia bỏ phiếu. Ảnh: Trọng Đức
Lãnh đạo Đảng, Nhà nước, MTTQ Việt Nam bỏ phiếu tại các điểm bầu cử ở Hà Nội
(Ngày Nay) - Sáng 15/3, cùng với cử tri trên cả nước, các đồng chí Ủy viên Bộ Chính trị, Bí thư Trung ương Đảng, lãnh đạo Đảng, Nhà nước, Mặt trận Tổ quốc (MTTQ) Việt Nam đã bỏ phiếu bầu đại biểu Quốc hội khóa XVI và đại biểu Hội đồng nhân dân (HĐND) nhiệm kỳ 2026-2031 tại Hà Nội.
Người dân vùng biên giới thôn Thanh Sơn, xã Thanh Thủy (Tuyên Quang) hân hoan bỏ phiếu bầu cử đại biểu Quốc hội và đại biểu Hội đồng nhân dân các cấp nhiệm kỳ 2026-2031. Ảnh: Đức Thọ/TTXVN
Ngày hội non sông lan tỏa khắp vùng biên
(Ngày Nay) - Sáng 15/3, hòa chung không khí Ngày hội non sông, đông đảo cử tri tỉnh Tuyên Quang nô nức cầm lá phiếu trên tay đến các khu vực bỏ phiếu bầu đại biểu Quốc hội khóa XVI và đại biểu HĐND các cấp nhiệm kỳ 2026 - 2031, thực hiện quyền và nghĩa vụ công dân, lựa chọn những đại biểu có đức, có tài phụng sự Tổ quốc và nhân dân.
Phó Chủ tịch nước Võ Thị Ánh Xuân bỏ phiếu bầu cử tại khu vực bỏ phiếu số 39, phường Long Xuyên, An Giang.
Phó Chủ tịch nước Võ Thị Ánh Xuân bỏ phiếu bầu cử tại phường Long Xuyên, An Giang
(Ngày Nay) - Sáng 15/3/2026, đồng chí Võ Thị Ánh Xuân, Bí thư Trung ương Đảng, Phó Chủ tịch nước, Phó Chủ tịch Hội đồng Bầu cử Quốc gia đã tiến hành bỏ phiếu bầu cử đại biểu Quốc hội khóa XVI và Hội đồng nhân dân các cấp nhiệm kỳ 2026 - 2031 tại điểm bầu cử số 39, khóm Đông An 2, phường Long Xuyên, An Giang.
Bầu cử Quốc hội và HĐND: Trụ cột thúc đẩy phát triển và hội nhập quốc tế
Bầu cử Quốc hội và HĐND: Trụ cột thúc đẩy phát triển và hội nhập quốc tế
(Ngày Nay) - Ngay trước thềm Ngày hội bầu cử đại biểu Quốc hội khóa XVI và đại biểu Hội đồng nhân dân (HĐND) các cấp nhiệm kỳ 2026-2031, ông Dammika Patabendi, Bộ trưởng Môi trường Sri Lanka đồng thời là Chủ tịch Hội Nghị sĩ Hữu nghị Sri Lanka-Việt Nam đã chia sẻ về những thành tựu phát triển của Việt Nam trong nhiệm kỳ vừa qua cũng như ý nghĩa của cuộc bầu cử sắp tới.
Thủ tướng Phạm Minh Chính chủ trì cuộc làm việc của Thường trực Chính phủ với lãnh đạo thành phố Hà Nội về Quy hoạch tổng thể Thủ đô Hà Nội tầm nhìn 100 năm. Ảnh: Dương Giang
Thủ tướng: Quy hoạch Thủ đô Hà Nội tầm nhìn 100 năm phải lấy con người làm trung tâm
(Ngày Nay) - Chiều 14/3, tại Trụ sở Chính phủ, thực hiện chỉ đạo của Bộ Chính trị, Ban Bí thư, Thủ tướng Phạm Minh Chính chủ trì cuộc làm việc của Thường trực Chính phủ với lãnh đạo thành phố Hà Nội, tiếp tục cho ý kiến, góp ý về Quy hoạch tổng thể Thủ đô Hà Nội tầm nhìn 100 năm.
Học giả Trung Quốc: Hoạt động của Quốc hội Việt Nam cởi mở, minh bạch và hiệu quả
Học giả Trung Quốc: Hoạt động của Quốc hội Việt Nam cởi mở, minh bạch và hiệu quả
(Ngày Nay) - Cuộc bầu cử đại biểu Quốc hội khóa XVI và Hội đồng nhân dân (HĐND) các cấp nhiệm kỳ 2026-2031, được tổ chức trong bối cảnh Đại hội đại biểu toàn quốc lần thứ XIV (Đại hội XIV) của Đảng Cộng sản Việt Nam vừa diễn ra thành công tốt đẹp, nhằm thực hiện các mục tiêu phát triển trong tương lai do Đại hội XIV đề ra. Điều này bao gồm việc lồng ghép các mục tiêu đó vào các kế hoạch 5 năm và cả các chương trình phát triển kinh tế - xã hội dài hạn.