Những điều đơn giản bạn phải biết để tự bảo vệ răng miệng

Không phải lúc nào bạn nghĩ rằng răng mình hoàn hảo ngay cả khi nó được chăm sóc tuyệt vời thì nó vẫn luôn đầy ắp vi khuẩn gây bệnh và luôn thường trực để ăn mòn răng.
Những điều đơn giản bạn phải biết để tự bảo vệ răng miệng

Dưới đây là những điều đơn giản về chăm sóc răng miệng mà các nha sĩ luôn muốn mọi người đều biết.

Có một màng sinh học gọi là mảng siêu dính của lớp phủ bề mặt của vi khuẩn răng

Những điều đơn giản bạn phải biết để tự bảo vệ răng miệng ảnh 1

Vì vậy luôn có những mảng bám vi khuẩn ở phía trước, sau và ngay cả kẽ răng. Mảng bám này rất mỏng nên hầu hết mọi người đều cảm thấy răng mình rất sạch.

Hầu hết mọi người chỉ đánh răng hai lần một ngày nhưng các mảng bám vẫn chỉ ngồi đó. Bạn phải dùng cả tăm, chỉ nha khoa và bàn chải nhỏ để bỏ các mảng bám.

Theo thời gian, mảng bám sẽ biến thành thứ màu trắng siêu cứng được gọi là cao răng, cần phải loại bỏ. Kem đánh răng chỉ giúp loại bỏ những mảng bám bình thường còn cao răng phải nhờ sự trợ giúp của y khoa.

Thói quen vệ sinh răng miệng kém có thể biến thành bệnh nướu răng và gây đau đớn, khó chịu.

Những điều đơn giản bạn phải biết để tự bảo vệ răng miệng ảnh 2

Mảng bám răng cũng được hình thành ngay dưới nướu và xung quanh răng. Khi nướu bị viêm nghĩa là lúc chúng bị vi khuẩn tấn công và tịch tụ gây ra nhiễm trùng.

Xỉa răng là sai lầm

Những điều đơn giản bạn phải biết để tự bảo vệ răng miệng ảnh 3

Bạn không bao giờ sử dụng chỉ nha khoa bởi chúng rất khó để sử dụng. Thực sự không như vậy, bạn chỉ cần kéo sợi chỉ mỏng qua kẽ răng để bật được những mảnh thức ăn kẹt trong kẽ răng lên.

Nếu bạn vẫn trung thành với những chiếc tăm, hãy cố gắng để chúng không cchocj vào lợi.

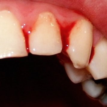
Không dùng bàn chải quá cứng

Những điều đơn giản bạn phải biết để tự bảo vệ răng miệng ảnh 4

Bạn không nên dùng bàn chải quá cứng vì chúng sẽ dẫn đến tụt nướu thậm chí là chảy máu chân răng.

Đường và tinh bột là thực phẩm cho vi khuẩn ăn mòn men răng

Những điều đơn giản bạn phải biết để tự bảo vệ răng miệng ảnh 5

Thực phẩm có đường và giàu tinh bột khi chuyển hóa thành axit tấn công răng, gây sâu và viêm nướu. Vì vậy, bạn nên hạn chế ăn đồ ngọt và phải đánh răng sạch trước khi đi ngủ.

Nếu nước không có fluoride thì bạn sẽ có nguy cơ bị sâu răng từ 20-40%

Những điều đơn giản bạn phải biết để tự bảo vệ răng miệng ảnh 6

Có rất nhiều cuộc tranh luận về flouride và nó là chất ngăn ngừa sâu răng. Cách tốt nhất là ngậm nó với nước và từ đó tác động từ từ vào răng. Flouride có trong kem đánh răng và nước súc miệng được chứng minh có thể giảm đến 40% triệu chứng sâu răng.

Tuệ Linh

Tiếp tục sáng tạo, thực hiện cam kết của Thành phố Sáng tạo UNESCO
Tiếp tục sáng tạo, thực hiện cam kết của Thành phố Sáng tạo UNESCO
(Ngày Nay) - Tối 31/1 tại phường Xuân Hương- Đà Lạt (Lâm Đồng), Không gian Sáng tạo Phố Bên Đồi (Công ty TNHH Nghệ thuật Số Bảy) ra mắt Dự án âm nhạc Phố Bên Đồi (Phố Bên Đồi Music Project) và khai mạc chương trình biểu diễn âm nhạc cộng đồng. Đây là hoạt động thực hiện các cam kết quốc tế khi Đà Lạt (cũ) khi gia nhập Mạng lưới Thành phố Sáng tạo UNESCO (UCCN) ở lĩnh vực Âm nhạc vào năm 2023.
Thủ tướng Phạm Minh Chính: Xem xét cả 3 phương thức công tư với Dự án đường sắt tốc độ cao trên trục Bắc – Nam
Thủ tướng Phạm Minh Chính: Xem xét cả 3 phương thức công tư với Dự án đường sắt tốc độ cao trên trục Bắc – Nam
(Ngày Nay) - Chiều 31/1, tại Trụ sở Chính phủ, Thủ tướng Phạm Minh Chính, Trưởng ban Chỉ đạo các công trình trọng điểm, dự án quan trọng quốc gia lĩnh vực đường sắt chủ trì phiên họp thứ 6 của Ban Chỉ đạo; trực tuyến với 18 tỉnh, thành phố có các dự án đường sắt đi qua.
Cận cảnh phòng học “5 sao” tại trường liên cấp chuẩn quốc tế đầu tiên vùng biên giới Điện Biên
Cận cảnh phòng học “5 sao” tại trường liên cấp chuẩn quốc tế đầu tiên vùng biên giới Điện Biên
(Ngày Nay) - Bên cạnh các môn văn hóa cơ bản, học sinh vùng biên giới Si Pa Phìn (Điện Biên) sẽ được tiếp cận chương trình giáo dục toàn diện Đức – Trí – Thể – Mỹ…tại ngôi trường khang trang chuẩn 5 sao khánh thành ngày 31/1/2026. Ngôi trường được xây dựng thần tốc trong hơn 5 tháng bởi liên danh Tập đoàn Sun Group và Công ty Thương mại và Xây dựng số 6.
Ảnh minh hoạ.
TP HCM: Rà soát dữ liệu học sinh phục vụ tuyển sinh đầu cấp trực tuyến
(Ngày Nay) - Triển khai công tác tuyển sinh các lớp đầu cấp theo hình thức trực tuyến tại Thành phố Hồ Chí Minh, từ ngày 3/2-3/3, phụ huynh có con chuẩn bị vào lớp 1 và lớp 6 truy cập hệ thống tuyển sinh đầu cấp tại địa chỉ https://tuyensinhdaucap.hcm.edu.vn để kiểm tra và xác nhận thông tin học sinh.
Tổng Bí thư Tô Lâm trao Quyết định của Bộ Chính trị cho các đồng chí Lê Minh Trí (bên trái) và Đoàn Minh Huấn (bên phải). Ảnh: Thống Nhất/TTXVN.
Bộ Chính trị quyết định phân công, bổ nhiệm cán bộ
(Ngày Nay) - Tổng Bí thư Tô Lâm trao Quyết định của Bộ Chính trị phân công, bổ nhiệm ông Lê Minh Trí giữ chức Trưởng Ban Nội chính Trung ương và ông Đoàn Minh Huấn giữ chức Giám đốc Học viện Chính trị Quốc gia Hồ Chí Minh.
Học sinh TP Hồ Chí Minh trong một buổi tư vấn hướng nghiệp.
Chuyển đổi giáo dục nghề nghiệp đáp ứng nhu cầu nhân lực TP HCM
(Ngày Nay) - TP Hồ Chí Minh đặt mục tiêu đến cuối năm 2026 nâng tỷ lệ lao động trình độ cao đẳng, đại học và tăng mạnh người học các ngành khoa học, kỹ thuật, công nghệ. Điều này đặt ra yêu cầu cấp thiết phải tái cấu trúc hệ thống giáo dục nghề nghiệp, gắn đào tạo với chuyển đổi số, kinh tế tri thức và nhu cầu thực tế của thị trường lao động.