Nối các mảnh xương gãy cho cụ bà 101 tuổi

 BV Chấn thương-Chỉnh hình TP.HCM vừa nối lại thành công các mảnh xương gãy cho cụ bà 101 tuổi bị té ngã.

“Bệnh viện (BV) Chấn thương-Chỉnh hình TP.HCM vừa phẫu thuật nối xương gãy kín nhiều mảnh ở đùi trái cho cụ bà NTH (101 tuổi, tỉnh Đồng Nai)”. Sáng 20-12, bác sĩ (BS) Võ Hòa Khánh, Trưởng phòng Quản lý chất lượng BV Chấn thương-Chỉnh hình TP.HCM, cho biết thông tin trên.

Trước đó, cụ H. được người nhà đưa tới BV nói trên trong tình trạng gãy chân trái do trượt té.

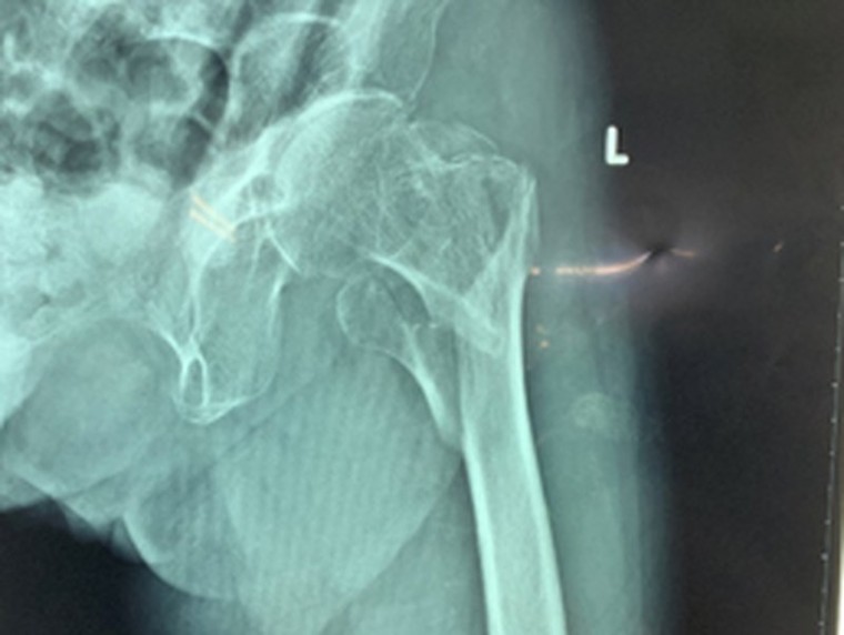
Nối các mảnh xương gãy cho cụ bà 101 tuổi ảnh 1

Kết quả chụp X-quang cho thấy xương đùi trái bà H. bị gãy nhiều mảnh. Ảnh: HÒA KHÁNH

Sau khi chụp X-quang, các BS kết luận đùi trái bà H. bị gãy nhiều mảnh xương kín. Các BS đã tiến hành phẫu thuật nối các mảnh xương gãy với nhau. Hiện cụ H. có thể sử dụng khung hỗ trợ để đi lại.

BS Khánh cho biết đây là trường hợp gãy xương phức tạp trên cơ địa bệnh nhân già yếu 101 tuổi có bệnh lý nội khoa (tăng huyết áp). Do vậy rất dễ xảy ra các biến chứng như viêm phổi, thuyên tắc phổi do nằm bất động lâu ngày và dẫn đến tử vong.

“Vì vậy bệnh nhân cần được cố định xương vững chắc và vận động sớm ngay sau phẫu thuật để phục hồi mức vận động nhằm hạn chế các biến chứng có thể xảy ra”, BS Khánh nói.

Theo PLO
OPEC+ tiếp tục nới hạn ngạch khai thác dầu mỏ thêm 206.000 thùng/ngày
OPEC+ tiếp tục nới hạn ngạch khai thác dầu mỏ thêm 206.000 thùng/ngày
(Ngày Nay) - Tổ chức Các nước xuất khẩu dầu mỏ (OPEC) và các đồng minh - còn gọi là OPEC+ - ngày 5/4 đã nhất trí tăng hạn ngạch khai thác dầu mỏ thêm 206.000 thùng/ngày từ tháng 5 tới. Đây là mức tăng khiêm tốn và chủ yếu chỉ mang tính biểu tượng, do các thành viên chủ chốt trong liên minh không thể tăng sản lượng thực tế bởi cuộc chiến giữa Mỹ và Israel với Iran.
EU triển khai đầy đủ hệ thống kiểm soát xuất nhập cảnh mới từ ngày 10/4
EU triển khai đầy đủ hệ thống kiểm soát xuất nhập cảnh mới từ ngày 10/4
(Ngày Nay) - Từ ngày 10/4/2026, Liên minh châu Âu (EU) sẽ triển khai đầy đủ hệ thống kiểm soát xuất nhập cảnh mới mang tên EES (Entry/Exit System), đánh dấu bước chuyển quan trọng trong hoạt động quản lý biên giới khu vực Schengen. Việc áp dụng kiểm tra 100% đối với hành khách ngoài EU được dự báo sẽ gây ra tình trạng ùn tắc tại các sân bay, nhà ga quốc tế và cảng biển ngay trong những ngày đầu triển khai.
Loạt phim Việt làm nên “kỷ lục doanh thu lịch sử” trong Quý 1/2026
Vì sao phim Việt đầu năm đại thắng ngàn tỷ đồng?
(Ngày Nay) - Các phim Việt Nam ra rạp kể từ đầu năm 2026 đến hết tháng 3/2026 gặt thành công lớn khi lập kỷ lục doanh thu phòng vé lên tới 1.130 tỷ đồng , vượt qua con số 1.110 tỷ đồng cùng kỳ năm ngoái . Điều này cho thấy khán giả đang rất ủng hộ và thích xem phim Việt.
Tổng vốn đầu tư toàn xã hội tăng gần 11% vào Quý I
Tổng vốn đầu tư toàn xã hội tăng gần 11% vào Quý I
(Ngày Nay) - Cục Thống kê, Bộ Tài chính vừa công bố, hoạt động đầu tư trong quý I/2026 tiếp tục duy trì đà tăng trưởng tích cực, với quy mô vốn toàn xã hội mở rộng và dòng vốn đầu tư nước ngoài gia tăng rõ rệt.
Bộ trưởng, Chủ nhiệm Văn phòng Chính phủ Trần Văn Sơn chủ trì họp báo Chính phủ thường kỳ.
Nỗ lực bảo đảm nguồn cung xăng dầu, cung ứng đủ điện
(Ngày Nay) - Chiều 4/4, tại Hà Nội, Văn phòng Chính phủ tổ chức họp báo Chính phủ thường kỳ dưới sự chủ trì của Bộ trưởng, Chủ nhiệm Văn phòng Chính phủ Trần Văn Sơn. Tại họp báo, đại diện lãnh đạo một số bộ, ngành trả lời câu hỏi của các phóng viên liên quan những vấn đề nóng đang được dư luận xã hội quan tâm.
Bộ Giáo dục và Đào tạo đã yêu cầu tất cả trường học phải công khai đơn vị cung cấp thức ăn, thực phẩm trên trang thông tin điện tử, phương tiện thông tin đại chúng.
Bộ Giáo dục và Đào tạo yêu cầu các trường học phải công khai đơn vị cung cấp thức ăn, thực phẩm
(Ngày Nay) - Chiều 4/4, tại cuộc họp báo Chính phủ thường kỳ, ông Hoàng Đức Minh, Vụ trưởng Vụ Học sinh sinh viên (Bộ Giáo dục và Đào tạo) cho biết Bộ Giáo dục và Đào tạo đã yêu cầu tất cả trường học phải công khai đơn vị cung cấp thức ăn, thực phẩm trên trang thông tin điện tử, phương tiện thông tin đại chúng.