Anh trai nghịch súng bắn xuyên cổ em trai

(Ngày Nay) - Do nghịch súng săn của bố, người anh trai đã vô tình cướp cò khiến em trai bị trúng đạn, rất may mắn nạn nhân được đưa đi cấp cứu và hiện đã ổn định sau ca phẫu thuật.
Vết đạn trên cổ của nạn nhân. Ảnh: Dân Việt
Vết đạn trên cổ của nạn nhân. Ảnh: Dân Việt

Được biết, sau khi đi săn về, người bố bất cẩn để khẩu súng vẫn còn đạn bên trong ở phía trước nhà. 2 con trai của anh gồm một bé 9 tuổi và một bé 6 tuổi (ngụ Đắk Lắk) đã lấy súng nghịch. Vô tình người anh bóp cò khiến đạn bắn xuyên từ cổ vào ngực người em. 

Ngay lập tức, bé trai được chuyển đến bệnh viện tỉnh sơ cứu, sau đó chuyển lên Khoa Cấp cứu, Bệnh viện Nhi Đồng 2 TP.HCM.

Anh trai nghịch súng bắn xuyên cổ em trai ảnh 1

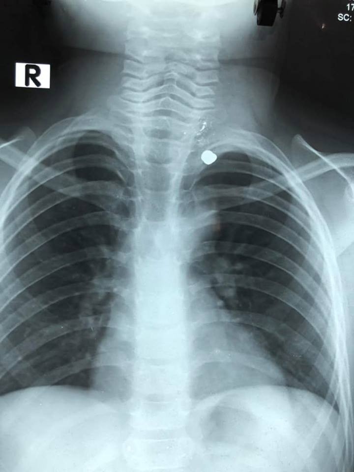
Hình chụp X Quang cho thấy vị trí của viên đạn. Ảnh: Dân Việt

Tại Khoa Cấp cứu, bé được thăm khám, chụp X Quang ngực. May mắn, đạn đi từ cổ đến đỉnh phổi trái nhưng không xuyên vào mạch máu lớn, khí quản hay tim. Sau đó, bé được đưa vào Khoa Ngoại tổng hợp.

Tại khoa Ngoại tổng hợp, sau khi thăm khám, hội chẩn khoa, các bác sĩ nhận định nếu mổ mở đi từ vùng cổ có thể rất khó vì mạch máu, thần kinh vùng này nhiều và vết mổ sẽ rất xấu. Vì vậy, ekip phẫu thuật quyết định phẫu thuật nội soi lồng ngực để lấy viên đạn.

Anh trai nghịch súng bắn xuyên cổ em trai ảnh 2

Viên đạn được gắp ra từ người bé trai. Ảnh: SGGP

Theo ghi nhận lúc phẫu thuật, viên đạn nằm ở đỉnh phổi trái, cạnh động mạch dưới đòn trái. May mắn, mạch máu lớn và thần kinh không bị tổn thương. Sau phẫu thuật, sức khỏe bé ổn định và đã được xuất viện, theo báo Dân Việt.

Trao đổi với báo Sài Gòn Giải Phóng, bác sĩ Nguyễn Hiền - Phòng Chỉ đạo Tuyến Bệnh viện Nhi Đồng 2, cho biết trẻ em từ độ tuổi mẫu giáo đến tuổi dậy thì rất hiếu động, nên cho trẻ chơi những trò chơi phù hợp với lứa tuổi, tránh cho trẻ tiếp xúc với các vật có tính sát thương dễ gây nguy hiểm cho trẻ.

Tổng hợp
Tháo gỡ vướng mắc trong tổ chức thi hành Luật Đất đai
Tháo gỡ vướng mắc trong tổ chức thi hành Luật Đất đai
(Ngày Nay) - Chủ tịch Quốc hội Trần Thanh Mẫn đã ký chứng thực Nghị quyết số 254/2025/QH15 quy định một số cơ chế, chính sách tháo gỡ khó khăn, vướng mắc trong tổ chức thi hành Luật Đất đai. Nghị quyết bổ sung trường hợp Nhà nước thu hồi đất vì mục đích quốc phòng, an ninh làm cơ sở cai nghiện ma túy do lực lượng vũ trang nhân dân quản lý.
Đại uý, ThS Lê Tuấn Anh (ở giữa) cùng các học viên tại Trường Sĩ quan Lục. (Ảnh: Phương Anh)
Sáng tạo trong giáo dục quân đội: Tương lai của thế hệ chiến sĩ trẻ
(Ngày Nay) - Sáng tạo trong giáo dục quân đội là chìa khóa nâng cao chất lượng đào tạo, đáp ứng yêu cầu nhiệm vụ trong tình hình mới. Từ đổi mới phương pháp giảng dạy đến ứng dụng công nghệ, các cơ sở đào tạo đang từng bước khẳng định sự đổi mới toàn diện để tạo ra thế hệ chiến sĩ trẻ vừa “hồng”, vừa “chuyên”.
Siết chặt kinh doanh pháo hoa dịp cuối năm
Siết chặt kinh doanh pháo hoa dịp cuối năm
(Ngày Nay) - Sáng 24/12, Phòng Cảnh sát quản lý hành chính về trật tự xã hội (Công an thành phố Hà Nội) tổ chức tuyên truyền, phổ biến kiến thức pháp luật đối với các cơ sở kinh doanh pháo hoa của Bộ Quốc phòng trên địa bàn. Đây là chương trình nằm trong kế hoạch cao điểm tuyên truyền, vận động, thu hồi và phòng ngừa vi phạm pháp luật về vũ khí, vật liệu nổ, công cụ hỗ trợ và pháo, góp phần bảo đảm an ninh, trật tự dịp Tết Dương lịch và Tết Nguyên đán 2026.
Người gieo chữ bằng yêu thương ở làng Hữu Nghị
Người gieo chữ bằng yêu thương ở làng Hữu Nghị
(Ngày Nay) - Làng Hữu nghị Việt Nam được biết đến là nơi cưu mang những nạn nhân chất độc da cam. Ở đó, suốt 13 năm qua, cô giáo Nguyễn Thị Loan đã kiên nhẫn gieo từng con chữ, từng kỹ năng sống và từng niềm hy vọng cho những đứa trẻ mang nhiều khiếm khuyết nhưng luôn khao khát được lớn lên như bao người khác.
Khoảng trống nhận thức về HPV ở nam giới
Khoảng trống nhận thức về HPV ở nam giới
(Ngày Nay) - Từ năm 2026, Chính phủ chính thức đưa vắc xin HPV vào chương trình Tiêm chủng mở rộng quốc gia. Trong bối cảnh đó, việc phòng ngừa các bệnh do virus HPV gây ra không chỉ là câu chuyện của nữ giới còn là mối quan tâm chung của cả cộng đồng. Tuy nhiên, trên thực tế, nam giới - nhóm đối tượng cũng chịu nhiều nguy cơ từ HPV - vẫn đang đứng ngoài các chiến lược truyền thông và phòng bệnh.
Độc lập và hạnh phúc trong các doanh nghiệp xã hội NICE
Độc lập và hạnh phúc trong các doanh nghiệp xã hội thuộc Mạng lưới NICE
(Ngày Nay) - Có bao giờ bạn tự hỏi liệu những người khuyết tật thật sự cần gì? Họ cần lòng thương cảm? Hay họ cần các món quà vật chất từ các chương trình cứu trợ? Đều không phải. Thứ người khuyết tật cần hơn cả là được nhìn nhận như những công dân bình thường. Họ không muốn bản thân mình trở thành gánh nặng cho gia đình và xã hội. Họ muốn được thể hiện bản thân, được cống hiến hết mình cho cuộc sống này, để được độc lập và hạnh phúc.