NgayNay.vn
Đăng nhập
  • Trang chủ
  • Special Today
  • Văn hoá
  • Giáo dục
  • Khoa học

    Khoa học

    • Môi trường
    • Công nghệ
  • Di sản
  • Sức khỏe

    Sức khỏe

    • Sống an toàn
    • Dinh dưỡng
    • Thuốc hay
  • Tầm nhìn UNESCO
  • Du lịch

    Du lịch

    • Điểm đến
    • Trải nghiệm
    • Khách sạn
    • Ẩm thực
    • Phương tiện
  • Đất nước - Con người
  • Thế giới

    Thế giới

    • Bình luận
    • Hồ sơ
  • Văn hóa Doanh nghiệp
  • Không gian sống
  • Phát triển bền vững

    Phát triển bền vững

    • Chuyển đổi số
    • Kinh tế xanh
    • CSR
  • Xu hướng

    Xu hướng

    • Làm đẹp
    • Thời trang
    • Tiêu dùng
    • Giải trí
    • Thể thao
    • Talk & See
    • Trending
  • Phật giáo
  • Xe và Công nghệ
  • E-PAPER
  • News Game
  • Longform
  • Tag "cắt bỏ khối u"

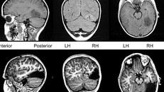
Tanner bị cắt bỏ 1/6 não bộ để ngăn ngừa chứng động kinh. (Ảnh: Dailymail).
Cậu bé bị cắt 1/6 não bộ vẫn sống bình thường
01/03/2019 14:57
(Ngày Nay) -Cậu bé Tanner Collins phải cắt bỏ 15% bộ não để ngăn chặn những cơn động kinh khó chữa.
Giải thoát người phụ nữ 40 năm sống chung với hàng trăm khối u
Giải thoát người phụ nữ 40 năm sống chung với hàng trăm khối u
28/12/2018 15:53
 Từ những khối nhỏ li ti sau đó lớn dần, dày đặc những hạt mụn sần sùi đủ kích cỡ khắp cơ thể khiến bệnh nhân phải chung sống với những khối u xơ thần kinh hơn 40 năm qua.

Đọc nhiều

Thiếu tướng Đỗ Triệu Phong trao Quyết định và tặng hoa chúc mừng Thượng tá Nguyễn Thanh Bình.
Thượng tá Nguyễn Thanh Bình được điều động, bổ nhiệm Phó Cục trưởng Cục Truyền thông CAND, Bộ Công an
Chênh lệch hàng tỷ đồng trong các gói thầu của Công ty Thoát nước Đô thị TP.HCM
Chênh lệch hàng tỷ đồng trong các gói thầu của Công ty Thoát nước Đô thị TP.HCM
Đại biểu thực hiện nghi thức khai mạc Lễ khởi công dự án đầu tư xây dựng đường sắt đô thị thành phố Hà Nội, tuyến số 5, Văn Cao – Ngọc Khánh – Láng – Hoà Lạc
Khởi công dự án đầu tư xây dựng đường sắt đô thị thành phố Hà Nội, tuyến số 5, Văn Cao – Ngọc Khánh – Láng – Hoà Lạc
Skyled Sài Gòn rực sáng gọi tên Mason Nguyễn: món quà quy mô bậc nhất từ người hâm mộ sau chung kết Anh Trai Say Hi 2025
Skyled Sài Gòn rực sáng gọi tên Mason Nguyễn: món quà quy mô bậc nhất từ người hâm mộ sau chung kết Anh Trai Say Hi 2025
Liên kết giáo dục: Sở GD-ĐT TP.HCM nói “không chỉ đạo, không cấp phép, không kinh doanh”?
Liên kết giáo dục: Sở GD-ĐT TP.HCM nói “không chỉ đạo, không cấp phép, không kinh doanh”?

Đối thoại

Dòng suối Lê-nin trong vắt dưới ánh nắng
Theo dấu chân Người về Pác Bó: Về cội nguồn của Cách mạng
Hoàng Anh - Xuân Đức
Bà Hoàng Thị Hường (còn gọi Hoàng Hường, 38 tuổi) vừa bị Cơ quan Cảnh sát điều tra, Bộ Công an khởi tố ngày 3/10.
Niềm tin công chính
Phạm Gia Hiền
Luật Dữ liệu góp phần phục vụ công cuộc chuyển đổi số quốc gia, xây dựng Chính phủ điện tử, Chính phủ số, kinh tế số, xã hội số
Luật Dữ liệu 2024: Hoàn thiện quản lý nhà nước, thúc đẩy chính phủ số và kinh tế số
Đại tướng Lương Tam Quang - Bộ trưởng Bộ Công an phát biểu về sàn dữ liệu tại Việt Nam.
Luật Dữ liệu 2024: Tài nguyên dữ liệu, phát triển toàn diện kinh tế số
Hình ảnh: Đại biểu Quốc hội họp tổ, đề xuất thúc đẩy kinh tế dữ liệu phát triển. Ảnh: TTXVN
Luật Dữ liệu 2024: Hành lang pháp lý vững chắc, thúc đẩy kinh tế phát triển

Longform

Tổng Bí thư: Xây dựng đội ngũ cán bộ tuyên giáo, dân vận chuyên tâm, thạo việc
Tổng Bí thư: Xây dựng đội ngũ cán bộ tuyên giáo, dân vận chuyên tâm, thạo việc
19/12/2025 12:45
Tạp chí Ngày Nay: Không ngừng ứng dụng công nghệ để đổi mới sáng tạo
Tạp chí Ngày Nay: Không ngừng ứng dụng công nghệ để đổi mới sáng tạo
12/12/2025 15:24
UNET: Khẳng định vai trò đầu mối sáng tạo và ngoại giao văn hóa
UNET: Khẳng định vai trò đầu mối sáng tạo và ngoại giao văn hóa
12/12/2025 15:24
Liên hiệp các Hội UNESCO Việt Nam: Kết nối cộng đồng bằng những hoạt động hiệu quả, đa lĩnh vực
Liên hiệp các Hội UNESCO Việt Nam: Kết nối cộng đồng bằng những hoạt động hiệu quả, đa lĩnh vực
12/12/2025 07:53
80 năm thành lập UNESCO: Việt Nam thể hiện vai trò nổi bật giữa thế giới nhiều biến động
80 năm thành lập UNESCO: Việt Nam thể hiện vai trò nổi bật giữa thế giới nhiều biến động
12/12/2025 07:53
Tạp chí điện tử của Liên hiệp các Hội UNESCO Việt Nam

Chủ tịch HĐBT: Nguyễn Xuân Thắng

Phó Chủ tịch HĐBT: Nguyễn Hùng Sơn

Tổng Biên tập: Trần Văn Mạnh

Phó Tổng Biên tập: Phạm Hữu Quang, Lê Thị Lương, Nguyễn Lệ Hằng

Giấy phép hoạt động báo chí số 160/GP-BTTTT cấp ngày 11/6/2024

Tòa soạn: Phòng 201 + 202, Nhà B5, Khu Ngoại giao đoàn 298 Kim Mã, Ba Đình, Hà Nội

Văn phòng đại diện tại TP.HCM: Lầu 2-3, 58 Nguyễn Bỉnh Khiêm, phường Đa Kao, Quận 1

Hotline: 096.234.1234          Email: toasoan@ngaynay.vn