Chảy mủ ở thực quản vì thủ phạm... xương gà

 Đặc tính của xương gà, xương vịt sắc, nhọn nên khi hóc xương không trôi xuống được mà mắc ở thực quản và chọc vào thành thực quản gây biến chứng nguy hiểm.
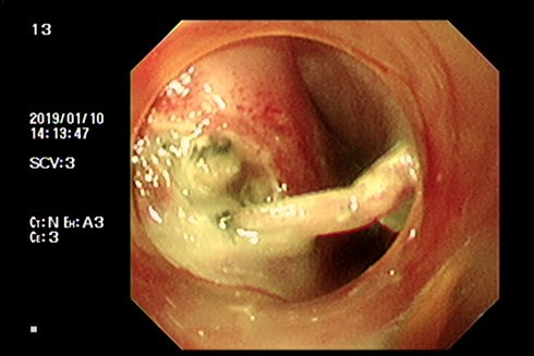
Hình ảnh xương gà găm vào thực quản qua nội soi.
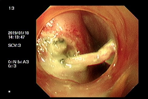
Hình ảnh xương gà găm vào thực quản qua nội soi.

Mới đây, bệnh nhân N.T.T, 53 tuổi, trú tại Đoan Hùng – Phú Thọ đến bệnh viện thăm khám trong tình trạng đau họng, khó nói, cổ sưng, nóng đỏ, nuốt khó, không ăn được kèm theo sốt nhẹ.

Theo bệnh nhân cho biết đã vào viện khoảng 1 tuần, trước đó ăn cơm với thịt gà bệnh nhân không may bị hóc xương. Dù đã thực hiện các mẹo trong dân gian như xoay mâm cơm, nuốt miếng cơm to... nhưng mảnh xương gà vẫn không trôi xuống.

Sau đó bệnh nhân không đến bệnh viện thăm khám mà để tự nhiên, nghĩ mảnh xương sẽ tự xuôi xuống. Nhưng sau 1 tuần, họng bệnh nhân ngày một đau, không ăn uống được gia đình mới đưa bệnh nhân đến bệnh viện thăm khám.

Các bác sỹ đã chỉ định nội soi dạ dày, kết quả nội soi phát hiện dị vật cắm sâu vào thực quản.

Dị vật cắm sâu hai đầu vào thành thực quản gây hai ổ abces chảy nhiều dịch mủ, bắm chặt vào thành thực quản cách cung răng trên khoảng 20cm. Các bác sỹ đã tiến hành gắp dị vật, làm sạch ổ mủ, cầm máu. Dị vật là mảnh xương gà có hai đầu sắc nhọn dài khoảng 4cm.

ông T.T.H (62 tuổi). Ngày nhập viện, trong lúc ăn cơm với thịt gà thì ông H. bị hóc xương gà, được người nhà đưa đến bệnh viện quận, được chẩn đoán dị vật thực quản và chuyển viện Bệnh viện Nhân dân 115.

Qua thăm khám các bác sĩ nhận thấy bệnh nhân tỉnh, tiếp xúc được, cảm giác đau họng, nuốt đau và bứt rứt, bệnh nhân bị sốt nhẹ 38 độ C.

Bệnh nhân được chỉ định nội soi thực quản, trong quá trình nội soi cho thấy ở 1/3 giữa thực quản có một dị vật, dài khoảng 40 mm, nằm ngang, hai đầu cắm sâu vào thành thực quản, nhiều khả năng gây thủng thành thực quản.

Bác sĩ đã tiến hành gắp dị vật bằng kìm qua nội soi, lấy ra được một dị vật là xương gà. Kiểm tra thấy thành sau phải thực quản giữa có một vết thủng khoảng 3 mm.

Ths.BS Trần Hữu Thắng - Trưởng khoa Cấp cứu (Bệnh viện Tai Mũi Họng Trung ương) cho biết bệnh viện cũng thường xuyên tiếp nhận các trường hợp bệnh nhân bị hóc xương gà, xương vịt.

Bác sĩ Thắng chia sẻ, có bệnh nhân vừa ăn vừa nói chuyện và bị xương cuốn xuống họng.

Gần đây có một bệnh nhân nữ 59 tuổi, ở Hòa Bình cấp cứu trong tình trạng rất đau đớn vì hóc xương do cố gắng nuốt... mỏ gà. Người nhà bệnh nhân cho biết đã chữa bằng mẹo dân gian nhưng không có kết quả. Bệnh nhân được đưa đi khám tại bệnh viện tỉnh, sau đó chuyển đến Bệnh viện Tai Mũi Họng Trung ương cấp cứu.

Theo bác sĩ Thắng, khác với các dị vật khác, dị vật là xương gà, xương vịt thường là sắc nhọn và dài vì thế rất dễ hóc lại vùng thực quản và có thể gây thủng thực quản.

Khi bị hóc người bệnh sẽ thấy nuốt đau nhói, hoặc nuốt vướng. Trong trường hợp xương đâm ra ngoài thực quản người bệnh ban đầu không để ý, hoặc cố tình giấu chỉ đến khi sưng đau mới đến viện để thăm khám. Lúc này, tình trạng đã chuyển biến nặng gây nhiễm trùng, đặc biệt là trường hợp hóc xương cá biển.

Khi bị hóc dị vật tất cả bệnh nhân đều được soi ống cứng kiểm tra, nếu có dị vật sẽ tiến hành gắp luôn. Trong trường hợp soi không thấy dị vật, các bác sĩ có thể chọn phương pháp mở cạnh cổ để lấy dị vật. Tuy nhiên, phương pháp này yêu cầu các bác sĩ phải có kinh nghiệm phẫu thuật đầu cổ, vì xương hóc thường nhỏ và dài rất dễ lẫn với tổ chức gân cơ vùng cổ.

Bác sĩ khuyến cáo, những trường hợp bị hóc xương cần đến ngay bệnh viện để được khám và xử lý kịp thời, không tự ý móc, gắp xương ra vì càng khiến dị vật trôi xuống sâu hoặc đâm sâu hơn vào thực quản. Không nên để dị vật tồn tại quá lâu vì vết loét sẽ nhiễm trùng nặng rất nguy hiểm.

Theo Infonet
TP Hồ Chí Minh tìm động lực mới từ công nghiệp văn hóa
TP Hồ Chí Minh tìm động lực mới từ công nghiệp văn hóa
(Ngày Nay) - AI và chuyển đổi số đang mở ra cơ hội chưa từng có cho công nghiệp văn hóa Việt Nam. Nhưng cùng với khả năng lan tỏa sức mạnh mềm quốc gia là áp lực giữ gìn bản sắc, xây dựng môi trường văn hóa số lành mạnh và định hình hệ giá trị cho thế hệ công dân mới.
Bác sĩ khuyến cáo rủi ro từ trào lưu giảm cân trên mạng xã hội
Bác sĩ khuyến cáo rủi ro từ trào lưu giảm cân trên mạng xã hội
(Ngày Nay) - Nhiều người đang chạy theo các trào lưu giảm cân trên mạng xã hội như nhịn ăn, cắt tinh bột hay dùng sản phẩm không rõ nguồn gốc dẫn đến không ít trường hợp nhập viện vì suy kiệt và rối loạn chuyển hóa. Các bác sĩ cảnh báo, việc giảm cân nóng vội, cực đoan có thể gây ảnh hưởng nghiêm trọng đến sức khỏe, thậm chí đe dọa tính mạng.
Hướng về nhân dân, lấy người dân làm trung tâm
Hướng về nhân dân, lấy người dân làm trung tâm
(Ngày Nay) - Đại hội đại biểu toàn quốc Mặt trận Tổ quốc (MTTQ) Việt Nam lần thứ XI (diễn ra từ 11-13/5/2026) đã nhận được nhiều ý kiến tâm huyết của các đại biểu đến từ các địa phương, khẳng định vai trò quan trọng của Mặt trận trong việc chăm lo an sinh xã hội, củng cố niềm tin của nhân dân và xây dựng khối đại đoàn kết trong điều kiện mới.
Đồng loạt triển khai chống hàng giả, xâm phạm sở hữu trí tuệ tại Thủ đô
Đồng loạt triển khai chống hàng giả, xâm phạm sở hữu trí tuệ tại Thủ đô
(Ngày Nay) - Thực hiện chỉ đạo của Bộ Công Thương, UBND Thành phố và Sở Công Thương Hà Nội về việc tăng cường kiểm tra, xử lý nghiêm các vụ việc xâm phạm quyền sở hữu trí tuệ theo Công điện số 38/CĐ-TTg ngày 5/5/2026 của Thủ tướng Chính phủ, lực lượng quản lý thị trường thành phố đang đồng loạt triển khai nhiều biện pháp đấu tranh, ngăn chặn.