Cứu người đàn ông gãy chân, đứt mạch máu khi sang đường

Bất cẩn trong lúc tham gia giao thông, bệnh nhân L.T.P đã bị tai nạn giao thông khiến gãy chân và tổn thương mạch máu phải nhập viện cấp cứu.
Cứu người đàn ông gãy chân, đứt mạch máu khi sang đường

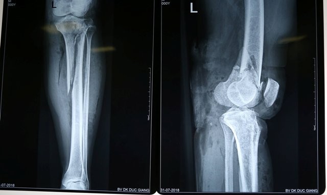
Thông tin từ BVĐK Đức Giang cho biết, ngày 31/07/2018, bệnh nhân L.T.P, sinh năm 1964, tại Long Biên, Hà Nội, nhập viện cấp cứu trong tình trạng vùng cẳng chân sưng nề, biến dạng và chảy máu sau khi bị tai nạn giao thông.

Ngay sau khi tiếp nhận thông tin của bệnh nhân P., các bác sĩ đã nhanh chóng tiến hành sơ cứu, rửa vết thương, cầm máu và chỉ định chụp Xquang và các xét nghiệm cận lâm sàng khác. Kết quả cho thấy bệnh nhân P. bị gãy hở lồi cầu đùi và xương chày trái cùng tổn thương động mạch khoeo.

Sau khi khám và hội chẩn, các bác sĩ quyết định phẫu thuật cấp cứu bằng phương pháp kết hợp xương chầy trái, lồi cầu đùi trái và xử lý tổn thương động mạch khoeo.

Chiều cùng ngày, kíp phẫu thuật do bác sĩ Trần Tuấn Anh – Khoa Chấn thương chỉnh hình cùng bác sĩ Phan Văn Thành – Khoa Ngoại Tổng hợp đã tiến hành phẫu thuật kết hợp xương và xử lý nối động mạch tổn thương cho trường hợp của bệnh nhân P.

Trải qua hơn 1 tiếng đồng hồ, ca phẫu thuật đã thành công tốt đẹp, hiện tại bệnh nhân P. đã tỉnh táo. Do động mạch bị tổn thương dẫn tới tình trạng mất màu nhiều, sau phẫu thuật bệnh nhân P. tiếp tục được truyền máu và được các bác sĩ chăm sóc, theo dõi tiếp.

Theo chia sẻ của bệnh nhân P., sáng 31/7 trong khi đang sang đường do bất cẩn, không chú ý nên đã va chạm với viếc oto đi ngược chiều. Ngay sau khi bị tai nạn, bệnh nhân P đã được người nhà đưa tới bệnh viện đa khoa Đức Giang cấp cứu.

Với những tổn thương như bệnh nhân P., các bác sĩ sẽ dùng các biện pháp nhanh nhất để cố định xương sau đó tiến hành cứu mạch máu. Sau đó chân bệnh nhân sẽ được bó bột nhằm giúp lành xương. Khi ổn định bệnh nhân sẽ tập vận động chân.

Cũng theo chia sẻ của bác sĩ Phan Văn Thành: “Đây là trường hợp điển hình của gãy xương có tổn thương mạch máu theo cơ chế gián tiếp, tức là gãy xương trật khớp mà mạch máu lớn đi kèm với xương bị tổn thương trong quá trình xương bị gãy. Thứ nhất, những vị trí gãy xương có mạch máu lớn đi kèm ví dụ như gãy mâm chày, gãy trên lồi cầu đùi hay trật gối… thì không được bỏ sót tổn thương mạch máu, phải đánh giá mạch.

Thứ hai, khi đã nghi ngờ tổn thương mạch máu thì phải xử trí càng sớm càng tốt, trong trường hợp bệnh nhân P. các bác sĩ đã xử trí rất tốt, đã chẩn đoán được ngay sau khi bệnh nhân bị tai nạn 1,5 tiếng và cũng xử trí sớm trong khoảng thời gian vàng 6 tiếng khi bệnh nhân bị tổn thương. Chính vì vậy, nếu xử lý tốt (không nói tới những hậu quả do gãy xương) về mặt tưới máu sẽ không có di chứng".

Theo SKĐS
Tiếp tục sáng tạo, thực hiện cam kết của Thành phố Sáng tạo UNESCO
Tiếp tục sáng tạo, thực hiện cam kết của Thành phố Sáng tạo UNESCO
(Ngày Nay) - Tối 31/1 tại phường Xuân Hương- Đà Lạt (Lâm Đồng), Không gian Sáng tạo Phố Bên Đồi (Công ty TNHH Nghệ thuật Số Bảy) ra mắt Dự án âm nhạc Phố Bên Đồi (Phố Bên Đồi Music Project) và khai mạc chương trình biểu diễn âm nhạc cộng đồng. Đây là hoạt động thực hiện các cam kết quốc tế khi Đà Lạt (cũ) khi gia nhập Mạng lưới Thành phố Sáng tạo UNESCO (UCCN) ở lĩnh vực Âm nhạc vào năm 2023.
Cận cảnh phòng học “5 sao” tại trường liên cấp chuẩn quốc tế đầu tiên vùng biên giới Điện Biên
Cận cảnh phòng học “5 sao” tại trường liên cấp chuẩn quốc tế đầu tiên vùng biên giới Điện Biên
(Ngày Nay) - Bên cạnh các môn văn hóa cơ bản, học sinh vùng biên giới Si Pa Phìn (Điện Biên) sẽ được tiếp cận chương trình giáo dục toàn diện Đức – Trí – Thể – Mỹ…tại ngôi trường khang trang chuẩn 5 sao khánh thành ngày 31/1/2026. Ngôi trường được xây dựng thần tốc trong hơn 5 tháng bởi liên danh Tập đoàn Sun Group và Công ty Thương mại và Xây dựng số 6.
Ảnh minh hoạ.
TP HCM: Rà soát dữ liệu học sinh phục vụ tuyển sinh đầu cấp trực tuyến
(Ngày Nay) - Triển khai công tác tuyển sinh các lớp đầu cấp theo hình thức trực tuyến tại Thành phố Hồ Chí Minh, từ ngày 3/2-3/3, phụ huynh có con chuẩn bị vào lớp 1 và lớp 6 truy cập hệ thống tuyển sinh đầu cấp tại địa chỉ https://tuyensinhdaucap.hcm.edu.vn để kiểm tra và xác nhận thông tin học sinh.
Tổng Bí thư Tô Lâm trao Quyết định của Bộ Chính trị cho các đồng chí Lê Minh Trí (bên trái) và Đoàn Minh Huấn (bên phải). Ảnh: Thống Nhất/TTXVN.
Bộ Chính trị quyết định phân công, bổ nhiệm cán bộ
(Ngày Nay) - Tổng Bí thư Tô Lâm trao Quyết định của Bộ Chính trị phân công, bổ nhiệm ông Lê Minh Trí giữ chức Trưởng Ban Nội chính Trung ương và ông Đoàn Minh Huấn giữ chức Giám đốc Học viện Chính trị Quốc gia Hồ Chí Minh.
Học sinh TP Hồ Chí Minh trong một buổi tư vấn hướng nghiệp.
Chuyển đổi giáo dục nghề nghiệp đáp ứng nhu cầu nhân lực TP HCM
(Ngày Nay) - TP Hồ Chí Minh đặt mục tiêu đến cuối năm 2026 nâng tỷ lệ lao động trình độ cao đẳng, đại học và tăng mạnh người học các ngành khoa học, kỹ thuật, công nghệ. Điều này đặt ra yêu cầu cấp thiết phải tái cấu trúc hệ thống giáo dục nghề nghiệp, gắn đào tạo với chuyển đổi số, kinh tế tri thức và nhu cầu thực tế của thị trường lao động.
Apple sẽ ưu tiên ra mắt các mẫu iPhone cao cấp trong năm 2026
Apple sẽ ưu tiên ra mắt các mẫu iPhone cao cấp trong năm 2026
(Ngày Nay) - Theo Nikkei Asia, Apple đang ưu tiên sản xuất và xuất xưởng 3 mẫu iPhone cao cấp nhất trong dòng iPhone mới năm 2026, đồng thời trì hoãn việc xuất xưởng mẫu tiêu chuẩn, trong bối cảnh hãng điều chỉnh chiến lược tiếp thị và đối mặt với những khó khăn trong chuỗi cung ứng.