Lấy thành công chiếc đinh di chuyển từ vai xuống phổi một thanh niên 18 tuổi

(Ngày Nay) - Chiếc đinh tự di chuyển từ vai xuống khoang màng phổi khiến nam thanh niên đau nhiều vùng đáy phổi trái, khó thở, phải nhập viện.
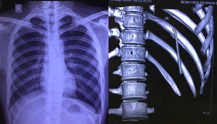
Hình ảnh chiếc đinh trong khoang phổi nam bệnh nhân. (Ảnh: BVCC)
Hình ảnh chiếc đinh trong khoang phổi nam bệnh nhân. (Ảnh: BVCC)

Theo thông tin đăng tải trên Vietnamplus, ngày 30/5, các bác sĩ tại Bệnh viện Đa khoa tỉnh Phú Thọvừa thực hiện thành công một ca bệnh hy hữu, phẫu thuật lấy chiếc đinh tự động di chuyển từ vai rơi xuống khoang màng phổi cho một thanh niên 18 tuổi. Bệnh là anh Đinh Trung H. (18 tuổi, ở Tân Sơn, Phú Thọ).

Báo Tiền Phong thông tin, anh H. nhập viện trong tình trạng đau vùng đáy phổi trái, đau thượng vị lan ra sau lưng kèm theo khó thở nhẹ, thông khí phổi trái giảm, không đau vai trái, cử động tay trái bình thường.

Được biết, cách đây 7 tháng anh H. phẫu thuật kết hợp xương đòn trái bằng 2 đinh kirschner. Trước khi vào viện 4 ngày, anh bị đau vùng đáy phổi trái lan ra sau lưng, kèm theo khó thở.

Bệnh nhân H. đã đi khám ở bệnh viện tư nhân (Hà Nội), nghi ngờ có dị vật trong dạ dày, sau đó lại tiếp tục đến Bệnh viện huyện Sóc Sơn - Hà Nội và được chẩn đoán dị vật đường tiêu hóa. Các bác sĩ nội soi dạ dày tá tràng nhưng không tìm thấy di vật.

Lấy thành công chiếc đinh di chuyển từ vai xuống phổi một thanh niên 18 tuổi ảnh 1

Chiếc đinh dài được lấy ra khỏi cơ thể bệnh nhân. (Ảnh: BVCC)

Sau khi thăm khám, các bác sĩ đã chỉ định chụp X-quang và cắt lớp vi tính lồng ngực. Kết quả phim cắt lớp vi tính lồng ngực cho thấy, dị vật dạng kim khí trong khoang màng phổi trái kèm theo tràn khí màng phổi. Để điều trị, các bác sĩ tư vấn anh nên về quê, nhập Bệnh viện Đa khoa tỉnh Phú Thọ phẫu thuật.

Tại đây, bệnh nhân được chỉ định phẫu thuật nội soi ngực trái để lấy dị vật và xử lý tràn khí khoang màng phổi trái. Sau phẫu thuật 1 ngày, người bệnh ổn định, được rút bỏ dẫn lưu khoang màng phổi, đi lại và ăn uống gần như bình thường.

Trao đổi với PV VTC News, bác sĩ Nội trú Dương Xuân Phương - người trực tiếp phẫu thuật cho bệnh nhân cho biết, đây là một ca bệnh hy hữu, hiếm gặp, ngay cả các bác sỹ trong hội đồng duyệt mổ làm việc lâu năm cũng ngạc nhiên với ca bệnh này.

Nguyên nhân là do chiếc đinh di chuyển từ vị trí xương đòn trái theo thời gian nó rơi tự do vào trong khoang màng phổi trái.

“Rất may là chiếc đinh chỉ làm rách nhu mô phổi gây tràn khí khoang màng phổi trái, nếu không, tính mạng của bệnh nhân sẽ bị ảnh hưởng”, bác sĩ Phương nhấn mạnh.

TIN LIÊN QUAN
Học giả Trung Quốc: Hoạt động của Quốc hội Việt Nam cởi mở, minh bạch và hiệu quả
Học giả Trung Quốc: Hoạt động của Quốc hội Việt Nam cởi mở, minh bạch và hiệu quả
(Ngày Nay) - Cuộc bầu cử đại biểu Quốc hội khóa XVI và Hội đồng nhân dân (HĐND) các cấp nhiệm kỳ 2026-2031, được tổ chức trong bối cảnh Đại hội đại biểu toàn quốc lần thứ XIV (Đại hội XIV) của Đảng Cộng sản Việt Nam vừa diễn ra thành công tốt đẹp, nhằm thực hiện các mục tiêu phát triển trong tương lai do Đại hội XIV đề ra. Điều này bao gồm việc lồng ghép các mục tiêu đó vào các kế hoạch 5 năm và cả các chương trình phát triển kinh tế - xã hội dài hạn.
MIK Group khởi công dự án hơn 5 ha tại Bắc Ninh
MIK Group khởi công dự án hơn 5 ha tại Bắc Ninh
(Ngày Nay) - Ngày 14/3/2026, MIK Group tổ chức Lễ khởi công Dự án Khu dân cư kết hợp Thương mại Dịch vụ và Nhà ở cao tầng II-HH11 thuộc phân khu số 2, thành phố Bắc Giang tại phường Tân Tiến (Bắc Ninh). Đây là lần đầu tiên Tập đoàn hiện diện tại thị trường Bắc Ninh, đánh dấu bước tiến mới trong chiến lược mở rộng hệ sinh thái bất động sản tại khu vực công nghiệp giáp Đông Bắc Thủ đô.
Thủ tướng Chính phủ Phạm Minh Chính tiếp Đại sứ Thái Lan tại Việt Nam
Thủ tướng Chính phủ Phạm Minh Chính tiếp Đại sứ Thái Lan tại Việt Nam
(Ngày Nay) - Chiều 13/3, tại Trụ sở Chính phủ, Thủ tướng Chính phủ Phạm Minh Chính đã tiếp Bà Urawadee Sriphiromaya, Đại sứ Vương quốc Thái Lan tại Việt Nam trao đổi về các biện pháp thúc đẩy quan hệ Đối tác Chiến lược toàn diện Việt Nam - Thái Lan cũng như hợp tác nhằm bảo đảm an ninh năng lượng hai nước.
Thái Lan củng cố vị thế là trung tâm dịch vụ lưu trú, ăn uống và giải trí hàng đầu châu Á
Thái Lan củng cố vị thế là trung tâm dịch vụ lưu trú, ăn uống và giải trí hàng đầu châu Á
(Ngày Nay) - Từ ngày 11-13/3 , triển lãm thương mại toàn diện nhất châu Á dành cho ngành khách sạn, dịch vụ ăn uống và nhà hàng, THAIFEX-HORECASIA 2026, đã diễn ra tại Trung tâm tổ chức sự kiện IMPACT Muang Thong Thani, Thái Lan, thu hút hút hơn 20.000 lượt khách tham quan thương mại, người mua và chuyên gia kinh doanh từ khắp thế giới, đồng thời tạo ra giá trị thương mại hơn 3,5 tỷ baht (khoảng 110 triệu USD).
Ảnh minh họa
Đảm bảo thông tin liên lạc phục vụ bầu cử đại biểu Quốc hội khóa XVI và đại biểu Hội đồng nhân dân các cấp
(Ngày Nay) - Để chủ động ứng phó với không khí lạnh, mưa dông, gió mạnh trên biển và các tình huống thiên tai có thể xảy ra trong thời gian diễn ra bầu cử, ngày 13/3, Bộ Khoa học và Công nghệ có văn bản yêu cầu các doanh nghiệp viễn thông thực hiện nghiêm chế độ trực lãnh đạo, trực ban chỉ huy phòng thủ dân sự và trực ứng cứu thông tin 24/24; theo dõi chặt chẽ diễn biến thời tiết, thiên tai, chủ động các biện pháp ứng phó nhằm đảm bảo thông tin liên lạc thông suốt.