Ngày 19/12, BS CK2 Phạm Thanh Phong, Phó GĐ chuyên môn BV Đa khoa Trung ương Cần Thơ cho biết, các bác sĩ vừa điều trị thành công một trường hợp tiểu ra máu, mà do nguyên nhân rất hiếm gặp là giả phình mạch thận sau chấn thương.
Bà Nguyễn Thị A (58 tuổi, ở TP Cần Thơ), cách đây khoảng 6 tháng bị té xe, chấn thương vùng hông. Người phụ nữ này sau đó bị tiểu ra máu nên tự mua thuốc nhưng không giảm.
Bà A đến bệnh viện khám và được chẩn đoán chấn thương thận độ 3 và được điều trị nội khoa bảo tồn.
Tuy nhiên, tình trạng tiểu máu vẫn tái phát nhiều lần trong 6 tháng qua. Cách đây, khoảng 1 tuần, bà lại tiểu máu đỏ tươi toàn dòng nên nhập viện tại BV đa khoa Trung ương Cần Thơ.
Bà A nhập viện trong tình trạng mệt mỏi, tiểu máu đỏ tươi toàn dòng. Tiền sử chấn thương kín thận trái 6 tháng.
Sau khi thực hiện các xét nghiệm, các bác sĩ hội chẩn thống nhất chỉ định chụp mạch máu số hoá xóa nền để kiểm tra mạch máu thận.
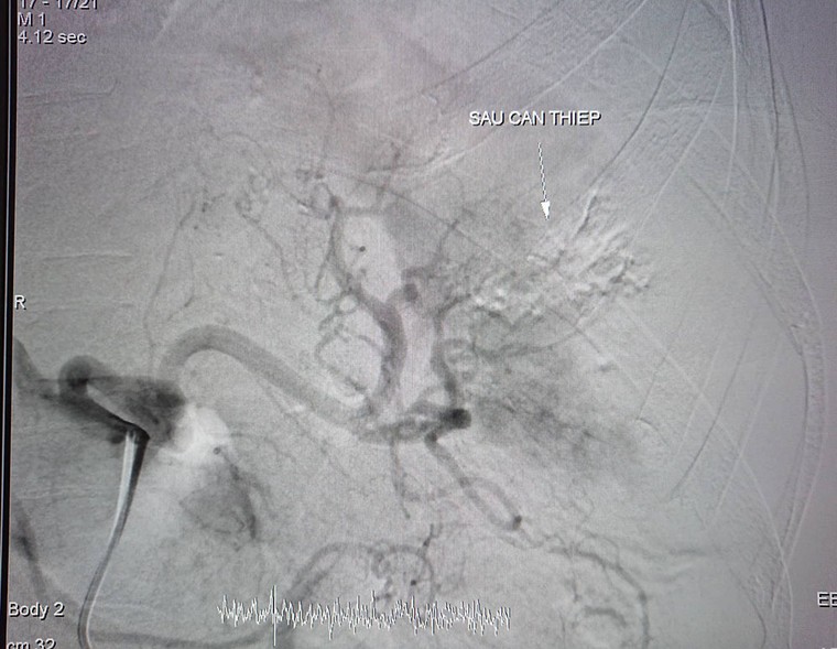
Kết quả phát hiện dò động mạch thận phân thuỳ dưới thận trái tạo thành giả phình động mạch thận trái.
Ê kíp can thiệp do BS CK1 Trần Công Khánh và Phạm Minh Phước đã tiến hành nút tắc bằng 1 coil.
Sau khi đặt coil, bác sĩ tiến hành chụp kiểm tra và cho kết quả đã bít hoàn toàn lỗ dò động tĩnh mạch và đoạn giả phình mạch.
Thời gian thực hiện thủ thuật là 30 phút. Bệnh nhân không cần phẫu thuật mổ mở thận để cắt giả phình mạch.
Đến hôm nay, bệnh nhân tỉnh, tiếp xúc tốt, hết tiểu máu, dự kiến ngày mai sẽ xuất viện.
![]() |
Hình ảnh trước khi can thiệp giả phình mạch thận sau chấn thương cho bệnh nhân |
BS CK2 Nguyễn Phước Lộc, Trưởng khoa ngoại thận tiết niệu BV đa khoa Trung ương cho biết, túi phình giả ĐMT thường xảy ra sau biến chứng của thủ thuật can thiệp thận như: sinh thiết thận, mở thận ra da, phẫu thuật nội soi hay phẫu thuật hở thận và sau chấn thương thận kín hiếm gặp hơn.
"Nó có thể được hình thành cấp tính, hoặc sau vài ngày, vài tuần hoặc nhiều tháng sau tổn thương nguyên phát.
Mặc dù, nhiều trường hợp khởi phát có triệu chứng nhưng các trường hợp khác vẫn không có triệu chứng trong thời gian dài.
Các triệu chứng: các dấu hiệu đau mạn sườn, một khối ở mạn sườn hoặc ổ bụng đập theo nhịp mạch tiểu máu...
Trước đây, bệnh nhân thường được điều trị bằng phương pháp phẫu thuật mở thận để cắt bỏ đoạn giả phình, có khi phải chấp nhận mất một phần không nhỏ nhu mô thận và nguy cơ tai biến của phẫu thuật.
Những năm gần đây, cùng với sự tiến bộ của can thiệp nội mạch, các biện pháp điều trị bảo tồn thận ngày càng được ứng dụng nhiều hơn như thắt nhánh động mạch bị rò, gây thuyên tắc, chèn bóng hoặc bít đoạn rò và giả phình mạch bằng coil.
Phương pháp bít đoạn rò và giả phình mạch bằng coil được xem là một biện pháp an toàn và hiệu quả do tránh được các biến chứng huyết khối hệ thống của các phương pháp tắc mạch khác cũng như xâm lấn tối thiểu, rút ngắn thời gian can thiệp cho bệnh nhân bụng đến thận để tiếp cận đoạn rò, sau đó đặt coil vào nhằm bít đoạn rò và giả phình mạch.
