NgayNay.vn
Đăng nhập
  • Trang chủ
  • Special Today
  • Văn hoá
  • Giáo dục
  • Khoa học

    Khoa học

    • Môi trường
    • Công nghệ
  • Di sản
  • Sức khỏe

    Sức khỏe

    • Sống an toàn
    • Dinh dưỡng
    • Thuốc hay
  • Tầm nhìn UNESCO
  • Du lịch

    Du lịch

    • Điểm đến
    • Trải nghiệm
    • Khách sạn
    • Ẩm thực
    • Phương tiện
  • Đất nước - Con người
  • Thế giới

    Thế giới

    • Bình luận
    • Hồ sơ
  • Văn hóa Doanh nghiệp
  • Không gian sống
  • Phát triển bền vững

    Phát triển bền vững

    • Chuyển đổi số
    • Kinh tế xanh
    • CSR
  • Xu hướng

    Xu hướng

    • Làm đẹp
    • Thời trang
    • Tiêu dùng
    • Giải trí
    • Thể thao
    • Talk & See
    • Trending
  • Phật giáo
  • Xe và Công nghệ
  • E-PAPER
  • News Game
  • Longform
  • Tag "phổi người mắc Covid-19"

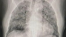
Hình ảnh phổi người mắc Covid-19 ở Việt Nam
Hình ảnh phổi người mắc Covid-19 ở Việt Nam
15/08/2020 16:25
Khi chưa xét nghiệm rRT-PCR hoặc kết quả âm tính, bác sĩ vẫn có thể kết luận bệnh nhân mắc Covid-19 dựa vào những tổn thương ở phổi.

Đọc nhiều

Liên kết giáo dục tại TP.HCM - Bài 6: “Giáo viên” dạy STEM, Kỹ năng sống được tập huấn... 1 ngày?
Liên kết giáo dục tại TP.HCM - Bài 6: “Giáo viên” dạy STEM, Kỹ năng sống được tập huấn... 1 ngày?
Triển lãm là hoạt động chào mừng Xuân Bính Ngọ 2026 của Trường Cao đẳng Phát thanh - Truyền hình II chuyên đào tạo sinh viên ngành Báo chí truyền thông, công nghệ và tổ chức sự kiện. Ảnh: ANH KHOA
Sắc báo Xuân 2026: Gen Z thích báo in trong thời đại số
Đội tuyển U23 Việt Nam giành chiến thắng thứ 2 liên tiếp ở Vòng chung kết U23 châu Á 2026.
Tung "đòn kết liễu" phút cuối, U23 Việt Nam thắng trận thứ 2 ở giải châu Á
Liên kết giáo dục tại TP.HCM - Bài 7: Trường ĐH KHXH&NV “treo chứng chỉ, cấp cái gì?”
Liên kết giáo dục tại TP.HCM - Bài 7: Trường ĐH KHXH&NV “treo chứng chỉ, cấp cái gì?”
Tài năng piano cổ điển Hồ Khánh Vân biểu diễn trong chương trình “From Wellness to Heritage” (Từ sức khỏe đến di sản) đêm 10/1 tại TPHCM. Ảnh: TRUNG NGHĨA
Hồ Khánh Vân gây ấn tượng với ngón đàn piano “Từ sức khỏe đến di sản"

Đối thoại

Dòng suối Lê-nin trong vắt dưới ánh nắng
Theo dấu chân Người về Pác Bó: Về cội nguồn của Cách mạng
Hoàng Anh - Xuân Đức
Bà Hoàng Thị Hường (còn gọi Hoàng Hường, 38 tuổi) vừa bị Cơ quan Cảnh sát điều tra, Bộ Công an khởi tố ngày 3/10.
Niềm tin công chính
Phạm Gia Hiền
Luật Dữ liệu góp phần phục vụ công cuộc chuyển đổi số quốc gia, xây dựng Chính phủ điện tử, Chính phủ số, kinh tế số, xã hội số
Luật Dữ liệu 2024: Hoàn thiện quản lý nhà nước, thúc đẩy chính phủ số và kinh tế số
Đại tướng Lương Tam Quang - Bộ trưởng Bộ Công an phát biểu về sàn dữ liệu tại Việt Nam.
Luật Dữ liệu 2024: Tài nguyên dữ liệu, phát triển toàn diện kinh tế số
Hình ảnh: Đại biểu Quốc hội họp tổ, đề xuất thúc đẩy kinh tế dữ liệu phát triển. Ảnh: TTXVN
Luật Dữ liệu 2024: Hành lang pháp lý vững chắc, thúc đẩy kinh tế phát triển

Longform

Phát biểu của Tổng Bí thư tại Hội nghị triển khai công tác của Chính phủ và chính quyền địa phương
Phát biểu của Tổng Bí thư tại Hội nghị triển khai công tác của Chính phủ và chính quyền địa phương
08/01/2026 18:24
Phát biểu của Tổng Bí thư Tô Lâm tại Lễ kỷ niệm cấp quốc gia 80 năm Ngày Tổng tuyển cử đầu tiên bầu Quốc hội Việt Nam
Phát biểu của Tổng Bí thư Tô Lâm tại Lễ kỷ niệm cấp quốc gia 80 năm Ngày Tổng tuyển cử đầu tiên bầu Quốc hội Việt Nam
06/01/2026 13:57
Hà Nội - Hành trình định hình một đô thị công nghiệp văn hóa
Hà Nội - Hành trình định hình một đô thị công nghiệp văn hóa
01/01/2026 09:58
Người trẻ không quay lưng với truyền thống
Người trẻ không quay lưng với truyền thống
31/12/2025 09:29
Đến gần “chạm tay” vào di sản
Đến gần “chạm tay” vào di sản
29/12/2025 13:38
Tạp chí điện tử của Liên hiệp các Hội UNESCO Việt Nam

Chủ tịch HĐBT: Nguyễn Xuân Thắng

Phó Chủ tịch HĐBT: Nguyễn Hùng Sơn

Tổng Biên tập: Trần Văn Mạnh

Phó Tổng Biên tập: Phạm Hữu Quang, Lê Thị Lương, Nguyễn Lệ Hằng

Giấy phép hoạt động báo chí số 160/GP-BTTTT cấp ngày 11/6/2024

Tòa soạn: Phòng 201 + 202, Nhà B5, Khu Ngoại giao đoàn 298 Kim Mã, Ba Đình, Hà Nội

Văn phòng đại diện tại TP.HCM: Lầu 2-3, 58 Nguyễn Bỉnh Khiêm, phường Đa Kao, Quận 1

Hotline: 096.234.1234          Email: toasoan@ngaynay.vn