Thanh niên Hà Nội tưởng mọc răng khôn, bác sĩ lôi ra ‘thủ phạm’ trong miệng

Nam thanh niên nghĩ mình mình mọc răng khôn vì thường xuyên sưng đau vị trí gần răng số 7. Tuy nhiên khi khám chuyên sâu, bác sĩ phát hiện ‘thủ phạm’ ẩn giật.
Thanh niên Hà Nội tưởng mọc răng khôn, bác sĩ lôi ra ‘thủ phạm’ trong miệng

BS CKI Nguyễn Thanh Thái, Trưởng khoa Phẫu thuật tạo hình hàm mặt, BV Việt Nam – Cu Ba, Hà Nội cho biết, nam bệnh nhân 26 tuổi ở Hà Nội chưa từng đi khám răng miệng trong suốt nhiều năm.

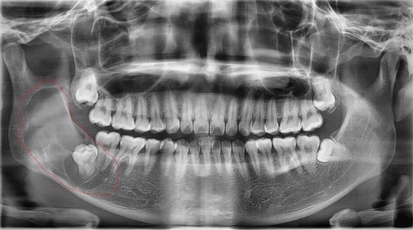
Thời gian gần đây, nam thanh niên thường xuyên thấy đau góc hàm bên phải, nghĩ rằng mình mọc “răng khôn”. Tuy nhiên khi thăm khám trên lâm sàng, bác sĩ không phát hiện bất thường nên chỉ định cho bệnh nhân chụp X-quang.

Kết quả cho thấy, bệnh nhân bị nang răng sừng hoá (hay còn gọi nang răng sinh sừng). Trường hợp bệnh nhân này nang rất lớn, phát triển từ răng số 7 lan lên tới tận xương hàm trên.

Ngày 4/6, BS Thái trực tiếp phẫu thuật cắt bỏ toàn bộ khối nang cho bệnh nhân, kích thước hơn 5 cm. Hiện tại, sức khoẻ bệnh nhân đã ổn định.

Trước đó, khoa cũng phẫu thuật cắt nang răng sừng sừng hoá ở cả 4 góc hàm cho nữ bệnh nhân 22 tuổi.

Theo BS Thái, nang răng sừng hoá thường hình thành do nhiễm khuẩn, hay gặp ở độ tuổi 30. Ở giai đoạn sớm, bệnh nhân không có biểu triệu chứng nào. Đến khi nang to, bội nhiễm sẽ gây đau đớn khiến nhiều người trưởng thành nhưng dễ nhầm lẫn với mọc răng khôn.

Nhiều trường hợp chủ quan đến viện muộn, khi đó nang đã phát triển rộng, khiến cho răng, xương bị phá hủy, gây biến dạng khuôn mặt. Chỉ một số ít trường hợp phát hiện sớm do tình cờ đi kiểm tra, chụp X-quang răng miệng.

Theo BS Thái, tỉ lệ tái phát của nang răng sừng hoá rất cao, lên tới 60%. Vì vậy, bệnh nhân thường sẽ phải phẫu thuật nhiều lần do bệnh tái đi tái lại sau khi nạo vết các tổ chức u. Bác sĩ chỉ lấy được chân nang chứ không thể tiêu diệt mầm bệnh tận gốc.

Tuy nhiên, những năm gần đây, một số nước phát triển như Anh, Mỹ, Canada đã ứng dụng một loại thuốc có tác dụng tiêu diệt tận gốc nang sừng hoá.

Để điều trị cho bệnh nhân, bác sĩ sẽ phẫu thuật vét nang răng sau đó đặt thuốc đặc trị để phá toàn bộ xương nang răng. Qua theo dõi 5 bệnh nhân được điều trị bằng phương pháp này tại BV Việt Nam – Cu Ba, tình tình trạng tái phát hoàn toàn không có.

Do việc nhập khẩu thuốc khá khó khăn, nhu cầu sử dụng không nhiều nên hiện tại, BV Việt Nam – Cu ba là cơ sở đầu tiên tại Việt Nam ứng dụng phương thức điều trị này cho bệnh nhân bị nang răng sừng hoá.

Để phát hiện sớm các bất thường răng miệng, bác sĩ khuyến cáo người dân cần kiểm tr răng miệng định kỳ 6 tháng/lần. Đặc biệt ở tuổi trưởng thành, nếu chưa từng đi khám càng nên đi kiểm tra để biết được tình trạng răng miệng của mình, có thể bác sĩ sẽ chỉ định chụp X-quang để biết răng khôn có mọc lệch (đâm ngang, răng nhiều chân...) hoặc gặp tình trạng u nang răng hay không để can thiệp kịp thời.

Theo Vietnamnet
Tiếp tục sáng tạo, thực hiện cam kết của Thành phố Sáng tạo UNESCO
Tiếp tục sáng tạo, thực hiện cam kết của Thành phố Sáng tạo UNESCO
(Ngày Nay) - Tối 31/1 tại phường Xuân Hương- Đà Lạt (Lâm Đồng), Không gian Sáng tạo Phố Bên Đồi (Công ty TNHH Nghệ thuật Số Bảy) ra mắt Dự án âm nhạc Phố Bên Đồi (Phố Bên Đồi Music Project) và khai mạc chương trình biểu diễn âm nhạc cộng đồng. Đây là hoạt động thực hiện các cam kết quốc tế khi Đà Lạt (cũ) khi gia nhập Mạng lưới Thành phố Sáng tạo UNESCO (UCCN) ở lĩnh vực Âm nhạc vào năm 2023.
Thủ tướng Phạm Minh Chính: Xem xét cả 3 phương thức công tư với Dự án đường sắt tốc độ cao trên trục Bắc – Nam
Thủ tướng Phạm Minh Chính: Xem xét cả 3 phương thức công tư với Dự án đường sắt tốc độ cao trên trục Bắc – Nam
(Ngày Nay) - Chiều 31/1, tại Trụ sở Chính phủ, Thủ tướng Phạm Minh Chính, Trưởng ban Chỉ đạo các công trình trọng điểm, dự án quan trọng quốc gia lĩnh vực đường sắt chủ trì phiên họp thứ 6 của Ban Chỉ đạo; trực tuyến với 18 tỉnh, thành phố có các dự án đường sắt đi qua.
Cận cảnh phòng học “5 sao” tại trường liên cấp chuẩn quốc tế đầu tiên vùng biên giới Điện Biên
Cận cảnh phòng học “5 sao” tại trường liên cấp chuẩn quốc tế đầu tiên vùng biên giới Điện Biên
(Ngày Nay) - Bên cạnh các môn văn hóa cơ bản, học sinh vùng biên giới Si Pa Phìn (Điện Biên) sẽ được tiếp cận chương trình giáo dục toàn diện Đức – Trí – Thể – Mỹ…tại ngôi trường khang trang chuẩn 5 sao khánh thành ngày 31/1/2026. Ngôi trường được xây dựng thần tốc trong hơn 5 tháng bởi liên danh Tập đoàn Sun Group và Công ty Thương mại và Xây dựng số 6.
Ảnh minh hoạ.
TP HCM: Rà soát dữ liệu học sinh phục vụ tuyển sinh đầu cấp trực tuyến
(Ngày Nay) - Triển khai công tác tuyển sinh các lớp đầu cấp theo hình thức trực tuyến tại Thành phố Hồ Chí Minh, từ ngày 3/2-3/3, phụ huynh có con chuẩn bị vào lớp 1 và lớp 6 truy cập hệ thống tuyển sinh đầu cấp tại địa chỉ https://tuyensinhdaucap.hcm.edu.vn để kiểm tra và xác nhận thông tin học sinh.
Tổng Bí thư Tô Lâm trao Quyết định của Bộ Chính trị cho các đồng chí Lê Minh Trí (bên trái) và Đoàn Minh Huấn (bên phải). Ảnh: Thống Nhất/TTXVN.
Bộ Chính trị quyết định phân công, bổ nhiệm cán bộ
(Ngày Nay) - Tổng Bí thư Tô Lâm trao Quyết định của Bộ Chính trị phân công, bổ nhiệm ông Lê Minh Trí giữ chức Trưởng Ban Nội chính Trung ương và ông Đoàn Minh Huấn giữ chức Giám đốc Học viện Chính trị Quốc gia Hồ Chí Minh.
Học sinh TP Hồ Chí Minh trong một buổi tư vấn hướng nghiệp.
Chuyển đổi giáo dục nghề nghiệp đáp ứng nhu cầu nhân lực TP HCM
(Ngày Nay) - TP Hồ Chí Minh đặt mục tiêu đến cuối năm 2026 nâng tỷ lệ lao động trình độ cao đẳng, đại học và tăng mạnh người học các ngành khoa học, kỹ thuật, công nghệ. Điều này đặt ra yêu cầu cấp thiết phải tái cấu trúc hệ thống giáo dục nghề nghiệp, gắn đào tạo với chuyển đổi số, kinh tế tri thức và nhu cầu thực tế của thị trường lao động.