NgayNay.vn
Đăng nhập
  • Trang chủ
  • Special Today
  • Văn hoá
  • Giáo dục
  • Khoa học

    Khoa học

    • Môi trường
    • Công nghệ
  • Di sản
  • Sức khỏe

    Sức khỏe

    • Sống an toàn
    • Dinh dưỡng
    • Thuốc hay
  • Tầm nhìn UNESCO
  • Du lịch

    Du lịch

    • Điểm đến
    • Trải nghiệm
    • Khách sạn
    • Ẩm thực
    • Phương tiện
  • Đất nước - Con người
  • Thế giới

    Thế giới

    • Bình luận
    • Hồ sơ
  • Văn hóa Doanh nghiệp
  • Không gian sống
  • Phát triển bền vững

    Phát triển bền vững

    • Chuyển đổi số
    • Kinh tế xanh
    • CSR
  • Xu hướng

    Xu hướng

    • Làm đẹp
    • Thời trang
    • Tiêu dùng
    • Giải trí
    • Thể thao
    • Talk & See
    • Trending
  • Phật giáo
  • Xe và Công nghệ
  • E-PAPER
  • News Game
  • Longform
  • Tag "nang răng sừng hoá"

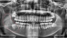
Thanh niên Hà Nội tưởng mọc răng khôn, bác sĩ lôi ra ‘thủ phạm’ trong miệng
Thanh niên Hà Nội tưởng mọc răng khôn, bác sĩ lôi ra ‘thủ phạm’ trong miệng
06/06/2019 11:16
Nam thanh niên nghĩ mình mình mọc răng khôn vì thường xuyên sưng đau vị trí gần răng số 7. Tuy nhiên khi khám chuyên sâu, bác sĩ phát hiện ‘thủ phạm’ ẩn giật.

Đọc nhiều

Hiệu trưởng Trường Mầm non Anh Đào nói “Đi sâu vào nguồn sữa thật sự tụi em cũng không có rành lắm”. Ảnh: Internet
Bất an sữa học đường - Bài 8: Hiệu trưởng Trường Mầm non Anh Đào cần trung thực hơn!
Ai chịu trách nhiệm giải quyết các khoản nợ của Bamboo Airways?
Ai chịu trách nhiệm giải quyết các khoản nợ của Bamboo Airways?
Buổi tọa đàm và giới thiệu sách “Bách niên bách vấn: 100 câu hỏi về lịch sử Trường Mỹ thuật Đông Dương” đã bị hoãn lại dù nhóm tác giả và nhà phát hành
Đề xuất quy trình xử lý khiếu nại học thuật - Kỳ 1: Bài học từ tranh cãi về lịch sử trường Mỹ thuật Đông Dương
Bóng hồng tỏa sáng bên trong tổ chức ma-fi-a.
Chủ tịch cuộc thi Miss Universe bị bắt - Bóng hồng tỏa sáng bên trong tổ chức ma-fi-a
Đường đất bùn lầy nước đọng vào xóm 16 nhà ở thôn Định Trung 2
Vùng lũ Phú Yên: Đến để thêm thương

Đối thoại

Dòng suối Lê-nin trong vắt dưới ánh nắng
Theo dấu chân Người về Pác Bó: Về cội nguồn của Cách mạng
Hoàng Anh - Xuân Đức
Bà Hoàng Thị Hường (còn gọi Hoàng Hường, 38 tuổi) vừa bị Cơ quan Cảnh sát điều tra, Bộ Công an khởi tố ngày 3/10.
Niềm tin công chính
Phạm Gia Hiền
Luật Dữ liệu góp phần phục vụ công cuộc chuyển đổi số quốc gia, xây dựng Chính phủ điện tử, Chính phủ số, kinh tế số, xã hội số
Luật Dữ liệu 2024: Hoàn thiện quản lý nhà nước, thúc đẩy chính phủ số và kinh tế số
Đại tướng Lương Tam Quang - Bộ trưởng Bộ Công an phát biểu về sàn dữ liệu tại Việt Nam.
Luật Dữ liệu 2024: Tài nguyên dữ liệu, phát triển toàn diện kinh tế số
Hình ảnh: Đại biểu Quốc hội họp tổ, đề xuất thúc đẩy kinh tế dữ liệu phát triển. Ảnh: TTXVN
Luật Dữ liệu 2024: Hành lang pháp lý vững chắc, thúc đẩy kinh tế phát triển

Longform

Từ chiếc chum đến bản sắc: Vở diễn chạm vào những tầng sâu văn hóa Nha Trang - Khánh Hoà
Từ chiếc chum đến bản sắc: Vở diễn chạm vào những tầng sâu văn hóa Nha Trang - Khánh Hoà
04/12/2025 14:47
Hoạt động UNESCO phi chính phủ thúc đẩy ngoại giao nhân dân Việt Nam - Nhật Bản
Hoạt động UNESCO phi chính phủ thúc đẩy ngoại giao nhân dân Việt Nam - Nhật Bản
05/11/2025 16:18
Người nghệ sĩ thị giác đứng sau triển lãm A50
Người nghệ sĩ thị giác đứng sau triển lãm A50
01/11/2025 06:26
Phát biểu của Tổng Bí thư Tô Lâm tại Đại hội đại biểu Đảng bộ các cơ quan Đảng Trung ương lần thứ nhất
Phát biểu của Tổng Bí thư Tô Lâm tại Đại hội đại biểu Đảng bộ các cơ quan Đảng Trung ương lần thứ nhất
30/10/2025 17:14
Phát biểu của Thiếu tướng Nguyễn Ngọc Cương tại Diễn đàn Khoa học Công nghệ Đổi mới sáng tạo và Chuyển đổi số tỉnh Hưng Yên
Phát biểu của Thiếu tướng Nguyễn Ngọc Cương tại Diễn đàn Khoa học Công nghệ Đổi mới sáng tạo và Chuyển đổi số tỉnh Hưng Yên
29/10/2025 15:18
Tạp chí điện tử của Liên hiệp các Hội UNESCO Việt Nam

Chủ tịch HĐBT: Nguyễn Xuân Thắng

Phó Chủ tịch HĐBT: Nguyễn Hùng Sơn

Tổng Biên tập: Trần Văn Mạnh

Phó Tổng Biên tập: Phạm Hữu Quang, Lê Thị Lương, Nguyễn Lệ Hằng

Giấy phép hoạt động báo chí số 160/GP-BTTTT cấp ngày 11/6/2024

Tòa soạn: Phòng 201 + 202, Nhà B5, Khu Ngoại giao đoàn 298 Kim Mã, Ba Đình, Hà Nội

Văn phòng đại diện tại TP.HCM: Lầu 2-3, 58 Nguyễn Bỉnh Khiêm, phường Đa Kao, Quận 1

Hotline: 096.234.1234          Email: toasoan@ngaynay.vn