Vì sao bệnh nhân sarcoma bị di căn phổi nhanh?
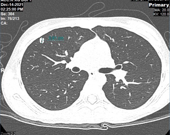
Cháu Khánh Thơ, 12 tuổi phát hiện ung thư xương chày chân trái giai đoạn 2B từ giữa năm 2021. Sau khi phẫu thuật cắt bỏ toàn bộ khối u ở khớp gối, bảo tồn chi, cháu điều trị hóa chất bổ trợ 4 chu kỳ. Tuy nhiên, chỉ hơn 1 năm sau, bé Thơ đã di căn phổi.
Tìm hiểu về quá trình điều trị của bệnh nhân, GS.TS.BS Trần Trung Dũng – GĐ Trung tâm Chấn thương Chỉnh hình và Y học thể thao (CTCH) Vinmec cho biết, mặc dù bệnh nhân có kết quả mổ rất tốt, nhưng sử dụng hóa trị bổ trợ không đủ liều là nguyên nhân dẫn đến di căn phổi nhanh như nhiều trường hợp khác.
Sau mổ, người bệnh ung thư xương có thể được chỉ định điều trị tiếp bằng hóa chất để tiêu diệt hết tế bào ung thư nếu còn sót. Phần lớn hóa chất là Metrotresat liều cao. Khi đó, người bệnh sẽ giảm bạch cầu, suy giảm miễn dịch, tăng nguy cơ nhiễm trùng nên phải được chăm sóc trong phòng bệnh cách ly vô trùng.
![]() |
Hình chụp CT phối của cháu Khánh Thơ phát hiện khối u di căn phổi sau 1 năm phẫu thuật cắt bỏ u khớp gối. |
Ngoài ra, việc này còn có thể dẫn đến nhiều biến chứng nặng nề như ngộ độc, tai biến, thậm chí tử vong nên bệnh viện điều trị phải thường xuyên xét nghiệm định lượng được hàm lượng hoạt chất này trong máu. Tuy nhiên, khá ít cơ sở y tế thực hiện được xét nghiệm nói trên thường quy, đặc biệt không có phòng chăm sóc vô trùng đạt chuẩn nên thường lựa chọn giảm liều thay vì dùng chuẩn liều Metrotresat. Điều này dẫn đến 85% bệnh nhân sau hóa trị vẫn có nguy cơ tiến triển bệnh tăng cao, trên 50% sẽ tái phát di căn phổi.
Khác với Khánh Thơ, bệnh nhân Ngọc Hoa (9 tuổi, Hà Nội) cũng phát hiện bệnh ở giai đoạn 2B, nhưng nhờ được điều trị chuẩn đã có tiến triển tích cực hơn nhiều. Ngay khi phát hiện K xương vào tháng 11/2022, cháu đã được bố mẹ đưa đến điều trị tại Trung tâm CTCH Vinmec. Toàn bộ quá trình chẩn đoán điều trị từ sinh thiết, phẫu thuật, hóa trị trước và sau phẫu thuật được trung tâm chuyên sâu về ung thư xương Vinmec tiến hành rất bài bản trong vòng 9 tháng. Nhờ sử dụng đúng liều hóa chất trong môi trường điều trị đảm bảo chất lượng, tỉ lệ hoại tử u của bệnh nhân Ngọc Hoa đạt đến 100% - mức độ tế bào ung thư chết toàn bộ. Đến nay, sau 6 tháng kể từ khi kết thúc đợt hóa trị bổ trợ cuối cùng, bệnh nhân không có dấu hiệu di căn.
Cần một “nhạc trưởng” để điều trị thành công ung thư sarcoma
Ung thư sarcoma là tên gọi chung của các loại ung thư xương, các phần mềm (gân, cơ, mỡ) và một số loại u GIST đường tiêu hóa. Hay gặp nhất trong sarcoma vẫn là ung thư xương và phần mềm, được xếp vào loại ung thư hiếm gặp. Mỗi năm tại các bệnh viện ở Việt Nam chỉ ghi nhận khoảng 200 - 300 ca sarcoma, trong khi các ung thư khác thường từ hàng chục đến hàng trăm nghìn trường hợp.
Do ít gặp nên việc đầu tư nhân lực, cơ sở vật chất cho thăm khám, điều trị căn bệnh này tại Việt Nam chưa được quan tâm. Ung thư sarcoma thường phát hiện ở lứa tuổi học đường với các dấu hiệu khởi đầu không đặc thù, thường là những cơn đau chân, tay thoáng qua. Trên phim chụp X quang – phương tiện sàng lọc đầu tiên - hình ảnh tế bào ung thư sarcoma cũng mơ hồ nên bác sĩ phải được đào tạo về ung thư xương mới nhận diện được.
![]() |
Ảnh chụp cộng hưởng từ khối u cháu Ngọc Hoa được điều trị hiệu quả và tích cực tại Vinmec. |
Chính vì vậy, chẩn đoán ung thư sarcoma thường bị nhầm lẫn với đau nhức xương phát triển do vận động quá mức. Chỉ đến khi chân sưng lên, u vỡ gãy khi trẻ chơi thể thao, gây chèn ép thay đổi dáng đi, ảnh hưởng đến kết cấu xương thì bệnh nhân mới được chẩn đoán. Theo thống kê, 80% ca bệnh ung thư sarcoma được phát hiện khi đã ở giai đoạn 2B – phân độ được coi là khá muộn. Ở giai đoạn này, ung thư xương đã phá vỡ vỏ xương ra ngoài và 50% đã có di căn.
Không chỉ hiếm gặp, khó phát hiện, quá trình điều trị ung thư sarcoma cũng rất phức tạp. Do đó đến nay, điều trị sarcoma vẫn là một thách thức lớn ở Việt Nam.
Ung thư sarcoma được phân loại thành nhiều nhóm (ung thư tế bào xương, tế bào sụn...), sâu hơn nữa lại tiếp tục chia nhiều thể (thể vỏ, thể tủy). Việc giải phẫu bệnh chính xác cùng với xạ hình xương là rất quan trọng để định hướng cho điều trị. Trên cơ sở đó, tùy theo thể bệnh, quá trình điều trị cũng rất phức tạp. Có trường hợp chỉ cần phẫu thuật, có bệnh nhân lại cần kết hợp hóa chất và xạ trị trước và sau mổ… Toàn bộ phác đồ này cần sự kết hợp nhuần nhuyễn các phương pháp ngoại khoa, hóa xạ trị lựa chọn thời điểm, liều lượng phù hợp mới đạt được hiệu quả cuối cùng.
Để điều trị thành công ung thư sarcoma, sẽ không thể thiếu một “nhạc trưởng” điều phối xuyên suốt quá trình này. Nhận thấy khoảng trống đó, Vinmec là đơn vị đầu tiên ở Việt Nam đã thành lập Trung tâm điều trị ung thư xương và phần mềm - Vinmec Sarcoma Center với đầy đủ nhân lực bao gồm bác sĩ phẫu thuật tạo hình xương khớp tạo hình phần mềm, bác sĩ điều trị hóa chất, cùng thầy thuốc chuyên khoa khác như dinh dưỡng, tâm lý. Tại đây, mỗi bệnh nhân được hội chẩn với Hội đồng ung bướu chuyên khoa xương để có phác đồ tối ưu.
![]() |
Ngọc Hoa (áo xanh)– “Chiến binh” chiến thắng căn bệnh ung thư xương chỉ trong 9 tháng điều trị tại Vinmec ngày ra viện |
Bên cạnh đó, các nghiên cứu cho thấy có tới 95% ca ung thư sarcoma khối u xuất hiện ở chân hoặc tay, nếu điều trị bằng phương pháp thông thường bằng cách nạo khối u, đổ xi măng, ghép xương… hay cắt cụt chi sẽ dễ gây tổn thương tâm lý cho người bệnh. Do đó, tại Vinmec, yêu cầu phải tạo hình phục hồi lại chi thể cho bệnh nhân ung thư xương và phần mềm, giúp người bệnh hòa nhập cuộc sống là yêu cầu bắt buộc.
GS.TS Trần Trung Dũng chia sẻ: “Trung tâm Sarcoma Vinmec đang được đánh giá bởi Cleverland Clinic (Hoa Kỳ) – một trung tâm hiệu quả và uy tín trên thế giới về điều trị ung thư sarcoma. Mong muốn của Vinmec là không chỉ nâng cao hiệu quả điều trị mà còn thực hiện các nghiên cứu khoa học có giá trị về sarcoma để có thể lấp đầy khoảng trống còn rất lớn hiện nay ở Việt Nam”. Có thể nói, sự ra đời của Trung tâm chính là một bước tiến đột phá trong điều trị sarcoma tại Việt Nam, giúp cho bệnh nhân mắc căn bệnh hiếm gặp này được thụ hưởng những giá trị điều trị tiêu chuẩn quốc tế một cách toàn diện nhất.


