Ca tử vong thứ 81 do COVID-19 30/06/2021 18:16 Chiều 30/6, Tiểu ban điều trị Ban Chỉ đạo Quốc gia phòng chống dịch COVID-19 thông báo ca tử vong thứ 81 là bệnh nhân nam 61 tuổi ở TP Hồ Chí Minh do COVID-19 có tiền sử lao phổi
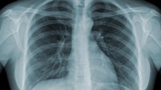
Cô gái chỉ còn 1/1.000 cơ hội sống vì di chứng lao 10/06/2019 14:24 Nữ bệnh nhân có tiền sử mắc lao phổi cách đây 2 năm, đã được điều trị khỏi bệnh. Di chứng do lao để lại khiến cô phải đối mặt với "thần chết".
Sốc: Dự án Sức mạnh 2000 của Hoàng Hoa Trung, trường xây xong đã lâu vẫn đăng bài kêu gọi quyên góp tiếp?
Thượng tá Nguyễn Thanh Bình được điều động, bổ nhiệm Phó Cục trưởng Cục Truyền thông CAND, Bộ Công an
Sách Dấu ấn 100 năm Trường Đại học Mỹ thuật Việt Nam tiếp tục in “tranh nhái” kiệt tác của họa sĩ Tô Ngọc Vân?
Liên hiệp các Hội UNESCO Việt Nam: Kết nối cộng đồng bằng những hoạt động hiệu quả, đa lĩnh vực 12/12/2025 07:53
80 năm thành lập UNESCO: Việt Nam thể hiện vai trò nổi bật giữa thế giới nhiều biến động 12/12/2025 07:53
Từ chiếc chum đến bản sắc: Vở diễn chạm vào những tầng sâu văn hóa Nha Trang - Khánh Hoà 04/12/2025 14:47