Phát hiện cơ chế gây viêm phổi thứ phát sau lao

0:00 / 0:00
0:00
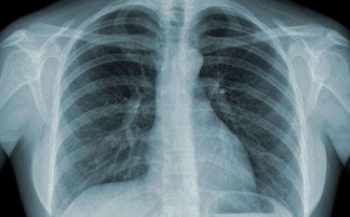
(Ngày Nay) - Các nhà khoa học tại Phòng thí nghiệm Bệnh truyền nhiễm A*STAR (A*STAR IDL) đã phát hiện ra phương thức các cấu trúc hình thành trong phổi trong quá trình nhiễm lao, được gọi là u lao, có thể tạo môi trường thuận lợi cho bệnh viêm phổi thứ phát phát triển. Phát hiện này giải thích lý do tại sao một số người rất dễ bị viêm phổi thứ phát sau khi đã điều trị bệnh lao thành công.
Phát hiện cơ chế gây viêm phổi thứ phát sau lao

Các nhà khoa học cho biết bệnh lao có thể dẫn đến những thay đổi lâu dài trong phổi, làm tăng nguy cơ viêm phổi thứ phát, bao gồm cả viêm nhiễm do vi khuẩn mycobacteria không lao (NTM). Tình trạng viêm nhiễm do NTM gây ra, chẳng hạn như vi khuẩn Mycobacterium abscessus, đã gia tăng tại Singapore và nhiều quốc gia khác trong nhiều thập kỷ. Khi nghiên cứu, các nhà khoa học phát hiện các u lao (có thể được phát hiện thông qua sàng lọc bằng tia X) có thể hoạt động như một môi trường bảo vệ cho vi khuẩn thứ phát. Cụ thể, Mycobacterium abscessus nhanh chóng xâm chiếm các u lao đã tồn tại từ trước. Một khi đã ở bên trong các cấu trúc này, vi khuẩn được bảo vệ khỏi hệ thống miễn dịch và ít nhạy cảm hơn với thuốc kháng sinh. Ngược lại, vi khuẩn nằm bên ngoài u lao nhanh chóng bị khống chế và loại bỏ.

Nghiên cứu sâu hơn đã tiết lộ cách Mycobacterium abscessus thích nghi với môi trường khắc nghiệt này, bằng cách ăn các mô hoại tử được tìm thấy ở nhân của u lao. Một khi đã hình thành, viêm nhiễm thứ phát có thể phát triển nhanh hơn so với bệnh lao phổi ban đầu.

Phát hiện này cho thấy chỉ loại bỏ lao phổi thôi có thể là chưa đủ nếu u lao vẫn tồn tại và phổi không lành hoàn toàn. Các tổn thương phổi liên quan đến bệnh lao có thể tạo ra môi trường bảo vệ vi khuẩn phát triển. Tiến sĩ Caroline Choong, Giám đốc lâm sàng của Trung tâm Chăm sóc Lao Quốc gia tại Bệnh viện Tan Tock Seng, cho biết nghiên cứu này củng cố tầm quan trọng của việc đánh giá toàn diện hơn quá trình điều trị bệnh lao. Nhiều bệnh nhân lao vẫn còn sẹo và tổn thương tồn dư trong phổi hậu điều trị, vì vậy, cần theo dõi và giám sát, phòng ngừa và can thiệp sớm để ngăn chặn nguy cơ tái nhiễm dưới bất kỳ hình thức nào.

Dính loạt sai phạm, hai công ty chứng khoán bị xử phạt hơn 1,1 tỷ đồng.
Dính loạt sai phạm, hai công ty chứng khoán bị xử phạt hơn 1,1 tỷ đồng
(Ngày Nay) - Chứng khoán Bảo Minh (mã chứng khoán: BMS) và Chứng khoán Beta vừa bị Thanh tra Ủy ban Chứng khoán Nhà nước xử phạt vi phạm hành chính trong lĩnh vực chứng khoán và thị trường chứng khoán với tổng số tiền hơn 1,1 tỷ đồng do hàng loạt sai phạm liên quan đến cho vay, quản lý tiền khách hàng, công bố thông tin và báo cáo tài chính.
TP Hồ Chí Minh tìm động lực mới từ công nghiệp văn hóa
TP Hồ Chí Minh tìm động lực mới từ công nghiệp văn hóa
(Ngày Nay) - AI và chuyển đổi số đang mở ra cơ hội chưa từng có cho công nghiệp văn hóa Việt Nam. Nhưng cùng với khả năng lan tỏa sức mạnh mềm quốc gia là áp lực giữ gìn bản sắc, xây dựng môi trường văn hóa số lành mạnh và định hình hệ giá trị cho thế hệ công dân mới.
Bác sĩ khuyến cáo rủi ro từ trào lưu giảm cân trên mạng xã hội
Bác sĩ khuyến cáo rủi ro từ trào lưu giảm cân trên mạng xã hội
(Ngày Nay) - Nhiều người đang chạy theo các trào lưu giảm cân trên mạng xã hội như nhịn ăn, cắt tinh bột hay dùng sản phẩm không rõ nguồn gốc dẫn đến không ít trường hợp nhập viện vì suy kiệt và rối loạn chuyển hóa. Các bác sĩ cảnh báo, việc giảm cân nóng vội, cực đoan có thể gây ảnh hưởng nghiêm trọng đến sức khỏe, thậm chí đe dọa tính mạng.