Ngày càng có nhiều cái chết liên quan đến thuốc lá điện tử ở Mỹ

Indiana công bố ca tử vong thứ 3 ở Mỹ do mắc bệnh phổi liên quan đến việc sử dụng thuốc lá điện tử. Các bang khác như Minnesota và California cũng ghi nhận các trường hợp tương tự.
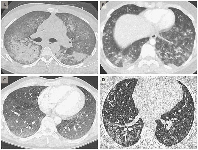
Hình ảnh scan phổi của 4 bệnh nhân tuổi từ 19 đến 49, cho thấy dấu hiệu tổn thương do sử dụng thuốc lá điện tử. Ảnh: New England Journal of Medicine.
Hình ảnh scan phổi của 4 bệnh nhân tuổi từ 19 đến 49, cho thấy dấu hiệu tổn thương do sử dụng thuốc lá điện tử. Ảnh: New England Journal of Medicine.

Theo  New York Times các chuyên gia và quan chức y tế liên bang hôm 6/9 đã cảnh báo về nguy cơ mắc các bệnh về phổi liên quan đến việc hút thuốc lá điện tử. Họ khuyến cáo không sử dụng các thiết bị này do số người mắc bệnh phổi do hút thuốc lá điện tử đã tăng gấp đôi lên 450 trường hợp trên 33 bang của nước Mỹ, và số ca tử vong đã lên tới 5.

Sáng ngày 6/9, Sở Y tế bang Indiana đã thông báo về trường hợp tử vong thứ 3 trên toàn quốc do mắc bệnh phổi liên quan đến thuốc lá điện tử. Chỉ vài giờ sau đó, trường hợp tử vong thứ 4 được ghi nhận ở bang Minnesota. Sở Y tế Công cộng Los Angeles đang điều tra cái chết thứ 5, và một quan chức cho biết "nhiều khả năng nguyên nhân là hút vape (thuốc lá điện tử)".

Trước đó, hai trường hợp đầu tiên tử vong ở Mỹ do mắc bệnh phổi liên quan đến việc hút vape đã xảy ra ở Illinois và Oregon.

"Rõ ràng là đang có một đại dịch và cần phải có phản ứng khẩn cấp", tiến sĩ David Christiani của trường Y tế Công cộng T.H Chan thuộc Đại học Harvard nhận định trên tạp chí y khoa The New England Journal of Medicine.

Ban biên tập của tạp chí kêu gọi các bác sĩ khuyến cáo bệnh nhân không sử dụng thuốc lá điện tử, và có một nỗ lực rộng hơn nhằm nâng cao nhận thức của công chúng về "những tác hại của việc hút vape".

Các quan chức từ Trung tâm Kiểm soát và Phòng ngừa Dịch bệnh (CDC) cũng thể hiện lập trường tương tự trong một cuộc họp báo ngắn.

"Trong khi cuộc điều tra này đang diễn ra, mọi người nên cân nhắc không sử dụng các sản phẩm thuốc lá điện tử", bác sĩ Dân Meaney-Delman, người đang lãnh đạo cuộc điều tra của CDC, cho biết.

Việc các ca bệnh phổi cấp tính có liên quan đến hút vape gia tăng trong thời gian gần đây đã làm dấy thêm mối lo ngại về sự an toàn của thuốc lá điện tử. Thuốc lá điện tử vốn được kỳ vọng trở thành công cụ giúp cai thuốc lá truyền thống, giúp người hút thuốc thoả mãn cơn nghiện nicotine mà không phải tiếp xúc với những độc tố chết người có trong thuốc lá.

Các quan chức của CDC cho biết họ tin rằng một số "chất hoá học" có liên quan đến các trường hợp mắc bệnh nhưng họ vẫn chưa thể xác định một "thiết bị, sản phẩm hoặc hợp chất" cụ thể chịu trách nhiệm cho những gì xảy ra, theo bác sĩ Meaney-Delman.

Theo Zing
Tiếp tục sáng tạo, thực hiện cam kết của Thành phố Sáng tạo UNESCO
Tiếp tục sáng tạo, thực hiện cam kết của Thành phố Sáng tạo UNESCO
(Ngày Nay) - Tối 31/1 tại phường Xuân Hương- Đà Lạt (Lâm Đồng), Không gian Sáng tạo Phố Bên Đồi (Công ty TNHH Nghệ thuật Số Bảy) ra mắt Dự án âm nhạc Phố Bên Đồi (Phố Bên Đồi Music Project) và khai mạc chương trình biểu diễn âm nhạc cộng đồng. Đây là hoạt động thực hiện các cam kết quốc tế khi Đà Lạt (cũ) khi gia nhập Mạng lưới Thành phố Sáng tạo UNESCO (UCCN) ở lĩnh vực Âm nhạc vào năm 2023.
Thủ tướng Phạm Minh Chính: Xem xét cả 3 phương thức công tư với Dự án đường sắt tốc độ cao trên trục Bắc – Nam
Thủ tướng Phạm Minh Chính: Xem xét cả 3 phương thức công tư với Dự án đường sắt tốc độ cao trên trục Bắc – Nam
(Ngày Nay) - Chiều 31/1, tại Trụ sở Chính phủ, Thủ tướng Phạm Minh Chính, Trưởng ban Chỉ đạo các công trình trọng điểm, dự án quan trọng quốc gia lĩnh vực đường sắt chủ trì phiên họp thứ 6 của Ban Chỉ đạo; trực tuyến với 18 tỉnh, thành phố có các dự án đường sắt đi qua.
Cận cảnh phòng học “5 sao” tại trường liên cấp chuẩn quốc tế đầu tiên vùng biên giới Điện Biên
Cận cảnh phòng học “5 sao” tại trường liên cấp chuẩn quốc tế đầu tiên vùng biên giới Điện Biên
(Ngày Nay) - Bên cạnh các môn văn hóa cơ bản, học sinh vùng biên giới Si Pa Phìn (Điện Biên) sẽ được tiếp cận chương trình giáo dục toàn diện Đức – Trí – Thể – Mỹ…tại ngôi trường khang trang chuẩn 5 sao khánh thành ngày 31/1/2026. Ngôi trường được xây dựng thần tốc trong hơn 5 tháng bởi liên danh Tập đoàn Sun Group và Công ty Thương mại và Xây dựng số 6.
Ảnh minh hoạ.
TP HCM: Rà soát dữ liệu học sinh phục vụ tuyển sinh đầu cấp trực tuyến
(Ngày Nay) - Triển khai công tác tuyển sinh các lớp đầu cấp theo hình thức trực tuyến tại Thành phố Hồ Chí Minh, từ ngày 3/2-3/3, phụ huynh có con chuẩn bị vào lớp 1 và lớp 6 truy cập hệ thống tuyển sinh đầu cấp tại địa chỉ https://tuyensinhdaucap.hcm.edu.vn để kiểm tra và xác nhận thông tin học sinh.
Tổng Bí thư Tô Lâm trao Quyết định của Bộ Chính trị cho các đồng chí Lê Minh Trí (bên trái) và Đoàn Minh Huấn (bên phải). Ảnh: Thống Nhất/TTXVN.
Bộ Chính trị quyết định phân công, bổ nhiệm cán bộ
(Ngày Nay) - Tổng Bí thư Tô Lâm trao Quyết định của Bộ Chính trị phân công, bổ nhiệm ông Lê Minh Trí giữ chức Trưởng Ban Nội chính Trung ương và ông Đoàn Minh Huấn giữ chức Giám đốc Học viện Chính trị Quốc gia Hồ Chí Minh.
Học sinh TP Hồ Chí Minh trong một buổi tư vấn hướng nghiệp.
Chuyển đổi giáo dục nghề nghiệp đáp ứng nhu cầu nhân lực TP HCM
(Ngày Nay) - TP Hồ Chí Minh đặt mục tiêu đến cuối năm 2026 nâng tỷ lệ lao động trình độ cao đẳng, đại học và tăng mạnh người học các ngành khoa học, kỹ thuật, công nghệ. Điều này đặt ra yêu cầu cấp thiết phải tái cấu trúc hệ thống giáo dục nghề nghiệp, gắn đào tạo với chuyển đổi số, kinh tế tri thức và nhu cầu thực tế của thị trường lao động.