(Ngày Nay) - Một công nhân xây dựng 46 tuổi ở Trung Quốc đã phải nhập viện trong tình trạng co giật, bác sĩ đã chỉ ra nguyên nhân bắt nguồn từ việc ăn lẩu.
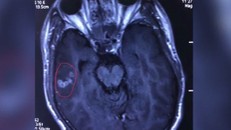
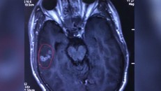
The Guardian (Anh) đưa tin, một loại sán dây ký sinh hiếm gặp đã sống trong não một người đàn ông (ở Anh) suốt 4 năm mà không hề hay biết. Trước khi được các bác sĩ phát hiện và lấy ra khỏi não, bệnh nhân này thường bị các cơn co giật, đau đầu hành hạ.