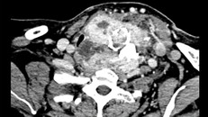
Cắt khối u bướu cổ khổng lồ cho người phụ nữ 26/05/2019 13:59 (Ngày Nay) - Khối bướu cổ đã được được phát hiện từ nhiều năm trước nhưng chỉ sau khi bị nghẹn thở, khó thở, bệnh nhân mới vào viện và được chỉ định mổ. Ca mổ thành công, khối u lấy ra nặng hơn 1kg.
Giải thưởng Cống hiến 2026 khép lại với “đại tiệc âm nhạc”, CONGB giành giải Nghệ sĩ mới, SOOBIN lập hat-trick ấn tượng
Viện Phát triển văn hóa và chăm sóc sức khỏe cộng đồng: Không ngừng đổi mới, quan tâm đến công tác tổ chức cán bộ
Cùng Villa Le Corail, A Gran Meliá Hotel bảo tồn hệ sinh thái ngay dưới thềm dinh thự 02/06/2025 22:29
Phát biểu của Tổng Bí thư, Chủ tịch nước Tô Lâm tại Hội nghị quán triệt Nghị quyết Hội nghị TW 2 13/04/2026 13:46
Tiên phong từ đội ngũ báo chí, trí thức, văn nghệ sĩ trong thực hiện Nghị quyết Đại hội XIV 09/04/2026 06:59