WHO cảnh báo nguy cơ bệnh đậu mùa khỉ lây lan mạnh vào mùa Hè

0:00 / 0:00
0:00
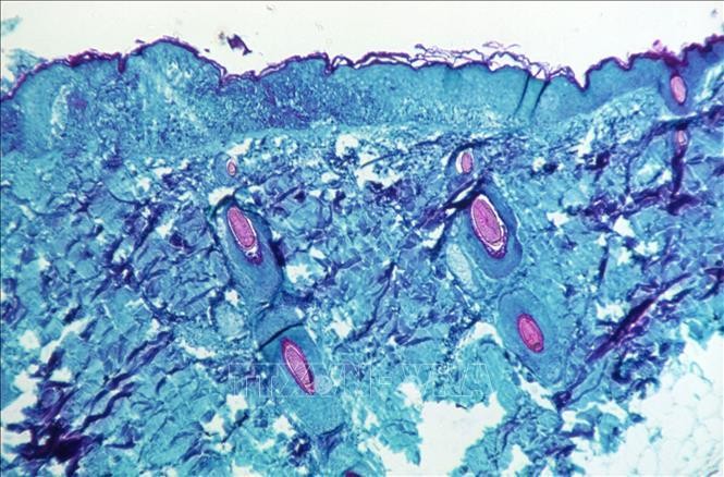
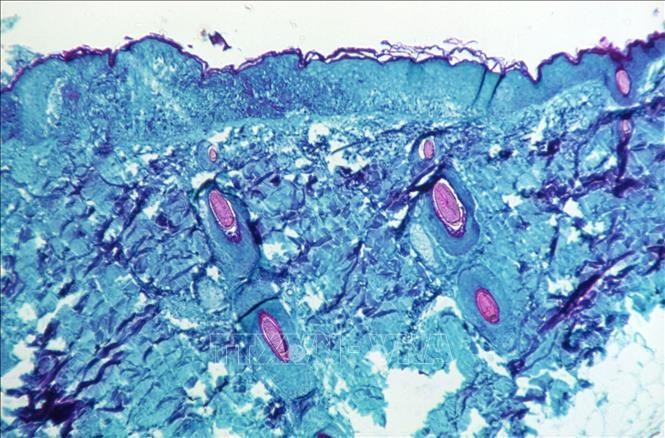
Tổ chức Y tế thế giới (WHO) ngày 31/5 cảnh báo nguy cơ bệnh đậu mùa khỉ lây lan mạnh tại châu Âu và nhiều nơi khác trong mùa Hè này. WHO nhấn mạnh sẽ kiềm chế bùng phát dịch bệnh bằng cách ngăn chặn hết mức có thể sự lây nhiễm từ người sang người.
WHO cảnh báo nguy cơ bệnh đậu mùa khỉ lây lan mạnh vào mùa Hè

Tuyên bố của WHO nêu rõ châu Âu hiện là "tâm điểm của đợt bùng phát bệnh đậu mùa khỉ lớn nhất và lan rộng nhất được ghi nhận từ trước đến nay bên ngoài các khu vực mà đậu mùa khỉ là bệnh đặc hữu ở Tây và Trung Phi".

Trước diễn biến số ca mắc bệnh đậu mùa khỉ gia tăng ở châu Âu trong 2 tuần qua, Giám đốc của WHO tại khu vực này, ông Hans Kluge đưa ra các bước cần thiết để nhanh chóng điều tra và kiểm soát tình hình.

Văn phòng của WHO tại châu Âu lo ngại việc các nước thời gian gần đây gỡ bỏ các biện pháp hạn chế đối với các sự kiện và đi lại quốc tế sau thời gian áp dụng để phòng chống dịch COVID-19 có thể là một tác nhân khiến bệnh đậu mùa khỉ lây lan.

Ông Kluge cảnh báo khả năng bệnh đậu mùa khỉ lây lan hơn nữa trong những tháng Hè - thời điểm diễn ra nhiều hoạt động đi lại, lễ hội hay tiệc tùng và mọi người tụ tập nhiều hơn. Ông kêu gọi các nước "tăng cường phối hợp và có các cơ chế chia sẻ thông tin, gia tăng giám sát và liên lạc cộng đồng để ngăn chặn thông tin sai lệch phát tán trên mạng hay các nguồn khác, dẫn đến các kết quả tiêu cực đối với sức khỏe cộng đồng".

Ông Kluge cho biết: “Mục tiêu của WHO là kiềm chế đợt bùng phát hiện nay bằng cách ngăn chặn lây bệnh từ người sang người ở mức tối đa có thể”. Ông kêu gọi các nỗ lực nâng cao nhận thức về bệnh đậu mùa khỉ và chia sẻ thông tin về cách thức giảm nguy cơ phơi nhiễm.

Tuy nhiên, ông cũng nêu rõ các biện pháp được áp dụng để phòng chống dịch COVID-19 là không cần thiết đối với bệnh đậu mùa khỉ ở châu Âu, bởi cách lây lan virus không như nhau.

Theo báo cáo mới nhất của Cơ quan An ninh y tế Anh (UKHSA), nước này đã ghi nhận 190 trường hợp mắc bệnh đậu mùa khỉ kể từ khi ca mắc đầu tiên được xác nhận ngày 7/5. UKHSA khẳng định nguy cơ đối với người dân Anh vẫn ở mức thấp, nhưng cơ quan này khyến nghị người dân cảnh giác và báo với cơ quan y tế khi phát hiện bất kỳ vết phát ban hoặc tổn thương mới nào trên cơ thể.

Tiếp tục sáng tạo, thực hiện cam kết của Thành phố Sáng tạo UNESCO
Tiếp tục sáng tạo, thực hiện cam kết của Thành phố Sáng tạo UNESCO
(Ngày Nay) - Tối 31/1 tại phường Xuân Hương- Đà Lạt (Lâm Đồng), Không gian Sáng tạo Phố Bên Đồi (Công ty TNHH Nghệ thuật Số Bảy) ra mắt Dự án âm nhạc Phố Bên Đồi (Phố Bên Đồi Music Project) và khai mạc chương trình biểu diễn âm nhạc cộng đồng. Đây là hoạt động thực hiện các cam kết quốc tế khi Đà Lạt (cũ) khi gia nhập Mạng lưới Thành phố Sáng tạo UNESCO (UCCN) ở lĩnh vực Âm nhạc vào năm 2023.
Thủ tướng Phạm Minh Chính: Xem xét cả 3 phương thức công tư với Dự án đường sắt tốc độ cao trên trục Bắc – Nam
Thủ tướng Phạm Minh Chính: Xem xét cả 3 phương thức công tư với Dự án đường sắt tốc độ cao trên trục Bắc – Nam
(Ngày Nay) - Chiều 31/1, tại Trụ sở Chính phủ, Thủ tướng Phạm Minh Chính, Trưởng ban Chỉ đạo các công trình trọng điểm, dự án quan trọng quốc gia lĩnh vực đường sắt chủ trì phiên họp thứ 6 của Ban Chỉ đạo; trực tuyến với 18 tỉnh, thành phố có các dự án đường sắt đi qua.
Cận cảnh phòng học “5 sao” tại trường liên cấp chuẩn quốc tế đầu tiên vùng biên giới Điện Biên
Cận cảnh phòng học “5 sao” tại trường liên cấp chuẩn quốc tế đầu tiên vùng biên giới Điện Biên
(Ngày Nay) - Bên cạnh các môn văn hóa cơ bản, học sinh vùng biên giới Si Pa Phìn (Điện Biên) sẽ được tiếp cận chương trình giáo dục toàn diện Đức – Trí – Thể – Mỹ…tại ngôi trường khang trang chuẩn 5 sao khánh thành ngày 31/1/2026. Ngôi trường được xây dựng thần tốc trong hơn 5 tháng bởi liên danh Tập đoàn Sun Group và Công ty Thương mại và Xây dựng số 6.
Ảnh minh hoạ.
TP HCM: Rà soát dữ liệu học sinh phục vụ tuyển sinh đầu cấp trực tuyến
(Ngày Nay) - Triển khai công tác tuyển sinh các lớp đầu cấp theo hình thức trực tuyến tại Thành phố Hồ Chí Minh, từ ngày 3/2-3/3, phụ huynh có con chuẩn bị vào lớp 1 và lớp 6 truy cập hệ thống tuyển sinh đầu cấp tại địa chỉ https://tuyensinhdaucap.hcm.edu.vn để kiểm tra và xác nhận thông tin học sinh.
Tổng Bí thư Tô Lâm trao Quyết định của Bộ Chính trị cho các đồng chí Lê Minh Trí (bên trái) và Đoàn Minh Huấn (bên phải). Ảnh: Thống Nhất/TTXVN.
Bộ Chính trị quyết định phân công, bổ nhiệm cán bộ
(Ngày Nay) - Tổng Bí thư Tô Lâm trao Quyết định của Bộ Chính trị phân công, bổ nhiệm ông Lê Minh Trí giữ chức Trưởng Ban Nội chính Trung ương và ông Đoàn Minh Huấn giữ chức Giám đốc Học viện Chính trị Quốc gia Hồ Chí Minh.
Học sinh TP Hồ Chí Minh trong một buổi tư vấn hướng nghiệp.
Chuyển đổi giáo dục nghề nghiệp đáp ứng nhu cầu nhân lực TP HCM
(Ngày Nay) - TP Hồ Chí Minh đặt mục tiêu đến cuối năm 2026 nâng tỷ lệ lao động trình độ cao đẳng, đại học và tăng mạnh người học các ngành khoa học, kỹ thuật, công nghệ. Điều này đặt ra yêu cầu cấp thiết phải tái cấu trúc hệ thống giáo dục nghề nghiệp, gắn đào tạo với chuyển đổi số, kinh tế tri thức và nhu cầu thực tế của thị trường lao động.