Bé trai 3 tháng tuổi bị tràn dịch màng phổi được các bác sĩ cứu sống một cách thần kỳ

(Ngày Nay) - Nhập viện trong tình trạng khó thở nặng, phim chụp X-quang của bé trai 3 tháng tuổi cho thấy bé bị tràn dịch màng phổi. May mắn bé đã được cứu sống một cách thần kỳ nhờ phương pháp phẫu thuật nội soi thắt ống ngực lần đầu tiên được áp dụng tại bệnh viện Nhi đồng 2, TP.HCM.
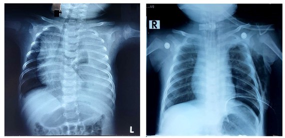
Hình ảnh chụp X-quang của bé trai sau ca phẫu thuật thành công bằng phương pháp thắt ống ngực.
Hình ảnh chụp X-quang của bé trai sau ca phẫu thuật thành công bằng phương pháp thắt ống ngực.

Sau khi có kết quả chụp X-quang phổi của bé phát hiện tình trạng tràn dịch màng phổi bên trái lượng nhiều, gây nên tình trạng chèn ép nhu mô phổi khiến bé không thở được. Các bác sĩ đã tiến hành đặt dẫn lưu màng phổi và ghi nhận rất nhiều dịch đục như sữa chảy ra từ khoang màng phổi.

Bệnh viện Nhi đồng 2, nơi tiếp nhận bé trai bị tràn dịch màng phổi trong tình trạng nguy kịch.

Kết quả xét nghiệm dịch màng phổi cho thấy bệnh nhi bị một tình trạng rò dịch dưỡng trấp nghi do rò từ ống ngực vào khoang màng phổi.

Phẫu thuật điều trị rò dưỡng trấp màng phổi có thể nói là một "ác mộng" của các bác sĩ phẫu thuật vì ống ngực là một cấu trúc giải phẫu rất khó tìm thấy và nhận biết ngay cả đối với người lớn, trong khi đó bệnh nhân chỉ mới 3 tháng tuổi.

Dù được điều trị nội khoa tích cực nhưng dịch dưỡng trấp màng phổi vẫn ra mỗi ngày 1/2 lít khiến bệnh nhi rơi vào tình trạng nguy hiểm, cần phải can thiệp phẫu thuật ngay.

Sau khi đắn đo, cân nhắc, e-kip phẫu thuật lồng ngực đã hội chẩn thống nhất toàn viện và quyết định thực hiện phẫu thuật cho bệnh nhi ngay.

Bác sĩ Nguyễn Trần Việt Tánh, phẫu thuật viên chính của ca mổ cho biết, ekíp mổ đã quan sát lồng ngực bé bằng nội soi kỹ lưỡng, tìm và thắt được ống ngực (kích thước chỉ bằng 0,2mm) và không làm ảnh hưởng tới các cấu trúc xung quanh. Ngay sau mổ dịch dưỡng trấp màng phổi không còn ghi nhận chảy ra, bệnh nhi được rút ống dẫn lưu sau 2 ngày theo dõi. Nhờ được thực hiện bằng phẫu thuật nội soi xâm lấn tối thiểu, bệnh nhi hồi phục ăn uống lại bình thường rất nhanh và xuất viện 7 ngày sau mổ.

Theo bác sĩ Vũ Trường Nhân, phó khoa ngoại, trưởng nhóm phẫu thuật lồng ngực BV Nhi Đồng 2, "Trong cơ thể mỗi người có tồn tại một cấu trúc gọi là ống ngực thuộc hệ thống mạch bạch huyết. Thông thường mỗi ngày ống ngực có thể vận chuyển lên đến 4 lít dưỡng trấp là dịch chứa nhiều mỡ, đạm và bạch cầu.

Rò dưỡng trấp hay tràn dịch dưỡng trấp màng phổi xảy ra khi ống ngực bị tổn thương làm dịch dưỡng trấp (dịch trắng đục như sữa) chảy vào khoang màng phổi, nếu rò dịch lượng lớn có thể gây thiếu hụt dinh dưỡng, rối loạn hô hấp, mất nước và rối loạn miễn dịch ảnh hưởng đến tính mạng.

Theo Thạc sĩ - Bác sĩ Vũ Trường Nhân, Phó khoa Ngoại của bệnh viện Nhi đồng 2 chia sẻ, đây là ca mổ thắt ống ngực được thực hiện lần đầu tiên bằng nội soi tại bệnh viện.

"Điều trị rò dưỡng trấp màng phổi là một thách thức lớn, điều trị ban đầu sẽ là nội khoa gồm nhịn ăn, dinh dưỡng đường tĩnh mạch, chế độ ăn kiêng và chờ đợi cho ống ngực lành lại. Trong trường hợp điều trị nội khóa thất bại sẽ phải tiến hành phẫu thuật nội soi. Đây là kỹ thuật khó, đòi hỏi sự tinh tế và kinh nghiệm của người bác sĩ và chỉ một số bệnh viện thực hiện được", bác sĩ Nhân cho biết.

Ưu điểm của phẫu thuật thắt ống ngực qua nội soi là an toàn, chính xác, sẹo mổ nhỏ, thời gian hồi phục cho bệnh nhi nhanh.

Đây cũng được coi như là thành quả của một ê-kíp phối hợp ăn ý từ gây mê, hồi sức và chăm sóc của các khoa liên quan. Việc phẫu thuật thành công là một tín hiệu tốt cho các bệnh nhi không may bị bệnh này ảnh hưởng có thể an tâm điều trị tại bệnh viện.

Tiếp tục sáng tạo, thực hiện cam kết của Thành phố Sáng tạo UNESCO
Tiếp tục sáng tạo, thực hiện cam kết của Thành phố Sáng tạo UNESCO
(Ngày Nay) - Tối 31/1 tại phường Xuân Hương- Đà Lạt (Lâm Đồng), Không gian Sáng tạo Phố Bên Đồi (Công ty TNHH Nghệ thuật Số Bảy) ra mắt Dự án âm nhạc Phố Bên Đồi (Phố Bên Đồi Music Project) và khai mạc chương trình biểu diễn âm nhạc cộng đồng. Đây là hoạt động thực hiện các cam kết quốc tế khi Đà Lạt (cũ) khi gia nhập Mạng lưới Thành phố Sáng tạo UNESCO (UCCN) ở lĩnh vực Âm nhạc vào năm 2023.
Cận cảnh phòng học “5 sao” tại trường liên cấp chuẩn quốc tế đầu tiên vùng biên giới Điện Biên
Cận cảnh phòng học “5 sao” tại trường liên cấp chuẩn quốc tế đầu tiên vùng biên giới Điện Biên
(Ngày Nay) - Bên cạnh các môn văn hóa cơ bản, học sinh vùng biên giới Si Pa Phìn (Điện Biên) sẽ được tiếp cận chương trình giáo dục toàn diện Đức – Trí – Thể – Mỹ…tại ngôi trường khang trang chuẩn 5 sao khánh thành ngày 31/1/2026. Ngôi trường được xây dựng thần tốc trong hơn 5 tháng bởi liên danh Tập đoàn Sun Group và Công ty Thương mại và Xây dựng số 6.
Ảnh minh hoạ.
TP HCM: Rà soát dữ liệu học sinh phục vụ tuyển sinh đầu cấp trực tuyến
(Ngày Nay) - Triển khai công tác tuyển sinh các lớp đầu cấp theo hình thức trực tuyến tại Thành phố Hồ Chí Minh, từ ngày 3/2-3/3, phụ huynh có con chuẩn bị vào lớp 1 và lớp 6 truy cập hệ thống tuyển sinh đầu cấp tại địa chỉ https://tuyensinhdaucap.hcm.edu.vn để kiểm tra và xác nhận thông tin học sinh.
Tổng Bí thư Tô Lâm trao Quyết định của Bộ Chính trị cho các đồng chí Lê Minh Trí (bên trái) và Đoàn Minh Huấn (bên phải). Ảnh: Thống Nhất/TTXVN.
Bộ Chính trị quyết định phân công, bổ nhiệm cán bộ
(Ngày Nay) - Tổng Bí thư Tô Lâm trao Quyết định của Bộ Chính trị phân công, bổ nhiệm ông Lê Minh Trí giữ chức Trưởng Ban Nội chính Trung ương và ông Đoàn Minh Huấn giữ chức Giám đốc Học viện Chính trị Quốc gia Hồ Chí Minh.
Học sinh TP Hồ Chí Minh trong một buổi tư vấn hướng nghiệp.
Chuyển đổi giáo dục nghề nghiệp đáp ứng nhu cầu nhân lực TP HCM
(Ngày Nay) - TP Hồ Chí Minh đặt mục tiêu đến cuối năm 2026 nâng tỷ lệ lao động trình độ cao đẳng, đại học và tăng mạnh người học các ngành khoa học, kỹ thuật, công nghệ. Điều này đặt ra yêu cầu cấp thiết phải tái cấu trúc hệ thống giáo dục nghề nghiệp, gắn đào tạo với chuyển đổi số, kinh tế tri thức và nhu cầu thực tế của thị trường lao động.
Apple sẽ ưu tiên ra mắt các mẫu iPhone cao cấp trong năm 2026
Apple sẽ ưu tiên ra mắt các mẫu iPhone cao cấp trong năm 2026
(Ngày Nay) - Theo Nikkei Asia, Apple đang ưu tiên sản xuất và xuất xưởng 3 mẫu iPhone cao cấp nhất trong dòng iPhone mới năm 2026, đồng thời trì hoãn việc xuất xưởng mẫu tiêu chuẩn, trong bối cảnh hãng điều chỉnh chiến lược tiếp thị và đối mặt với những khó khăn trong chuỗi cung ứng.
TP HCM tập huấn chẩn đoán, điều trị bệnh do virus Nipah cho cơ sở y tế
TP HCM tập huấn chẩn đoán, điều trị bệnh do virus Nipah cho cơ sở y tế
(Ngày Nay) - Trước nguy cơ bệnh do virus Nipah xâm nhập, ngành y tế TP Hồ Chí Minh tăng cường năng lực cho tuyến cơ sở thông qua tập huấn cập nhật hướng dẫn giám sát, chẩn đoán, điều trị và các biện pháp phòng, chống dịch nhằm bảo đảm phát hiện sớm, xử trí kịp thời và hạn chế tối đa nguy cơ lây lan trong cộng đồng.