Trẻ đối mặt nhiều nguy cơ tai nạn thương tích trong kỳ nghỉ Tết
Trẻ đối mặt nhiều nguy cơ tai nạn thương tích trong kỳ nghỉ Tết
(Ngày Nay) - Dịp Tết Nguyên đán, trẻ em được nghỉ học dài ngày, sinh hoạt và vui chơi nhiều hơn trong không khí sum họp, lễ Tết. Tuy nhiên, theo các bác sĩ, đây cũng là thời điểm tai nạn thương tích ở trẻ em gia tăng do thay đổi thói quen sinh hoạt, vui chơi thiếu kiểm soát và tiềm ẩn nhiều yếu tố mất an toàn trong gia đình cũng như ngoài xã hội, đòi hỏi phụ huynh cần đặc biệt lưu ý phòng ngừa.
Viêm ruột thừa ở trẻ nhỏ dễ bị bỏ sót, nhầm với rối loạn tiêu hoá
Viêm ruột thừa ở trẻ nhỏ dễ bị bỏ sót, nhầm với rối loạn tiêu hoá
(Ngày Nay) - Viêm ruột thừa ở trẻ em dễ bị bỏ sót, đặc biệt ở trẻ dưới 5 tuổi do không có triệu chứng điển hình như người lớn, không mô tả được vị trí đau và các biểu hiện dễ nhầm với rối loạn tiêu hóa hoặc nhiễm trùng siêu vi. Vì vậy, bệnh có thể được phát hiện muộn đến khi ruột thừa vỡ, gây áp-xe hoặc nhiễm trùng nặng.
Thời tiết nắng nóng, trẻ dễ mắc những bệnh lý nào?
Thời tiết nắng nóng, trẻ dễ mắc những bệnh lý nào?
(Ngày Nay) - Theo Trung tâm Dự báo khí tượng thủy văn Quốc gia, nắng nóng ở khu vực Nam Bộ có khả năng kéo dài trong nhiều ngày tới. Các chuyên gia y tế đưa ra nhận định, nắng nóng, nhiệt độ tăng cao là thời điểm thuận lợi bùng phát một số bệnh về lây nhiễm qua đường tiêu hóa, say nóng, say nắng và các bệnh về da (rôm sảy, viêm da do nhiệt, viêm da dị ứng…).
Mưa trái mùa, nhiều dịch bệnh "tấn công" trẻ
Mưa trái mùa, nhiều dịch bệnh "tấn công" trẻ
(Ngày Nay) - Những ngày gần đây, tại TP Hồ Chí Minh và các tỉnh thành lân cận xuất xuất hiện những cơn mưa trái mùa, thời tiết se lạnh về đêm và sáng. Theo các chuyên gia y tế, thay đổi thời tiết đột ngột có thể ảnh hưởng đến sức khỏe của trẻ, dẫn đến dễ mắc các bệnh truyền nhiễm.
Bác sĩ khuyến cáo phụ huynh "đừng quên tiêm vaccine sởi cho trẻ"
Bác sĩ khuyến cáo phụ huynh "đừng quên tiêm vaccine sởi cho trẻ"
(Ngày Nay) -  Thời gian qua, các bệnh viện nhi trên địa bàn Thành phố Hồ Chí Minh tiếp nhận nhiều trường hợp trẻ mắc sởi biến chứng nặng. Hầu hết các trẻ đều có bệnh lý nền mạn tính, chưa được tiêm vaccine phòng sởi hoặc tiêm chưa đầy đủ. Các bác sĩ khuyến cáo phụ huynh “đừng quên tiêm vaccine sởi cho trẻ”.
Bệnh nhi đến khám tại Bệnh viện Nhi đồng 2, Thành phố Hồ Chí Minh. Ảnh: Đinh Hằng - TTXVN
Thành phố Hồ Chí Minh: Gia tăng người già, trẻ nhỏ mắc bệnh vì nắng nóng kéo dài
(Ngày Nay) -  Những ngày qua, Thành phố Hồ Chí Minh và các tỉnh Nam Bộ có nắng nóng gay gắt đã ảnh hưởng lớn đến sinh hoạt và sức khỏe của người dân, nhất là người già và trẻ em. Tại các bệnh viện, số lượng người cao tuổi, trẻ nhỏ đến khám bệnh cũng gia tăng, trong đó không ít trường hợp phải nhập viện điều trị.
Bác sĩ Bệnh viện Chợ Rẫy thăm khám cho bệnh nhi ngộ độc Botulinum hồi tháng 5/2023 do ăn bánh mì chả lụa bán dạo.
TP.HCM: Phát hiện hai trẻ em nghi ngộ độc Botulinum toxin​
(Ngày Nay) - Chiều ngày 19/2, thông tin từ Sở Y tế Thành phố Hồ Chí Minh, sau kỳ nghỉ Tết Nguyên đán Giáp Thìn 2024, đơn vị này nhận được báo cáo về hai trường hợp trẻ em nghi ngộ độc Botulinum toxin (hay còn gọi là botox).
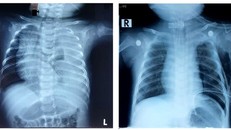
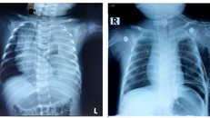
Hình ảnh chụp X-quang của bé trai sau ca phẫu thuật thành công bằng phương pháp thắt ống ngực.
Bé trai 3 tháng tuổi bị tràn dịch màng phổi được các bác sĩ cứu sống một cách thần kỳ
(Ngày Nay) - Nhập viện trong tình trạng khó thở nặng, phim chụp X-quang của bé trai 3 tháng tuổi cho thấy bé bị tràn dịch màng phổi. May mắn bé đã được cứu sống một cách thần kỳ nhờ phương pháp phẫu thuật nội soi thắt ống ngực lần đầu tiên được áp dụng tại bệnh viện Nhi đồng 2, TP.HCM.
Nhân viên y tế 'vừa làm vừa sợ'
Nhân viên y tế 'vừa làm vừa sợ'
[Ngày Nay] - Theo lãnh đạo BV Từ Dũ TP HCM, chiều 26/2, nữ hộ sinh tên T. (công tác tại BV Từ Dũ) đến BV Nhi đồng 2 họp. Tại buồng thang máy số 1, chị T. sơ ý va chạm vào con của Trần Ngọc Minh (37 tuổi) và bị anh này đánh. Công an quận 1 cho biết, đã ra quyết định khởi tố vụ án, khởi tố bị can và tạm giam Trần Ngọc Minh 2 tháng để điều tra xử lý về tội cố ý gây thương tích. Qua giám định sơ bộ thương tích, chị T. bị chấn thương vùng mắt gây xuất huyết tiền phòng mắt trái, làm giảm thị lực mắt trái, vỡ xương hốc mắt trái, vỡ xương mũi, tỷ lệ tổn thương cơ thể là 27%.