Người đàn ông bị nhiễm trùng phổi nặng vì thường xuyên... ngửi tất thối

Chỉ vì sở thích có phần khác người của mình, người đàn ông này đã nhập viện trong tình trạng khẩn cấp.
Người đàn ông bị nhiễm trùng phổi nặng vì thường xuyên... ngửi tất thối

Mới đây bệnh viện 909 ở thành phố Chương Châu, tỉnh Phúc Kiến, Trung Quốc đã tiếp nhận một trường hợp khá đặc biệt, bệnh nhân 37 tuổi họ Bành nhập viện trong tình trạng ho nhiều và liên tục kêu đau ngực.

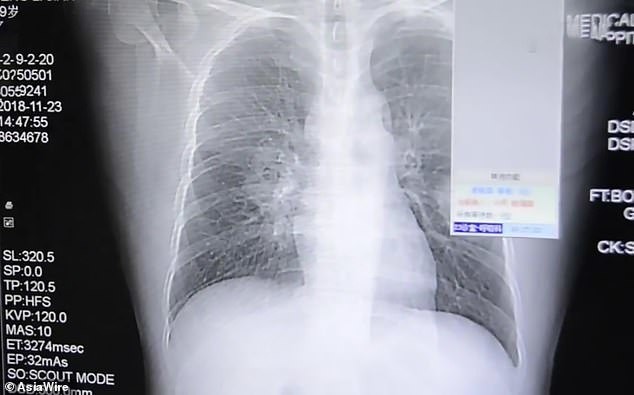
Sau khi tiến hành chụp X-quang, các bác sĩ kết luận người đàn ông này bị nhiễm nấm phổi mức độ nghiêm trọng. Theo một nghiên cứu được công bố trên trang Science Direct, nhiễm nấm phổi là tình trạng sức khỏe nguy hiểm có thể dẫn đến tử vong nếu không phát hiện và điều trị kịp thời.

Người đàn ông bị nhiễm trùng phổi nặng vì thường xuyên... ngửi tất thối ảnh 1

Kết quả chụp X-quang cho thấy người đàn ông 37 tuổi bị nấm phổi

Điều khiến các bác sĩ băn khoăn là loại nấm mà bệnh nhân hít phải phát triển nhiều trong tất và giày. Khai thác lời kể của bệnh nhân, mọi băn khoăn đã được giải đáp, theo người đàn ông họ Bành, hàng ngày anh thường có thói quen cầm đôi tất đã đi cả ngày của mình và cho lên mũi để ngửi. Từ thông tin trên, các bác sĩ khẳng định rằng sở thích có phần khác người kia chính là nguyên nhân khiến phổi của anh bị nhiễm trùng.

Được biết trước đó, họ Bành thường xuyên phải thức khuya để chăm sóc con nên không được nghỉ ngơi đây đủ, điều đó làm cho hệ thống miễn dịch của anh cũng yếu đi nhiều. Đó là lí do khiến nấm và vi khuẩn trong tất càng dễ dàng tấn công và phát triển thành bệnh.

Bệnh nhân ngay lập tức được nhập viện để tiến hành điều trị. Theo các bác sĩ, dự kiến khả năng phục hồi của họ Bành sẽ tương đối nhanh.

Ngay sau khi thông tin này được chia sẻ rộng rãi trên mạng xã hội, nhiều người đã cảm thấy hoang mang và lo sợ vì nhận thấy chính bản thân mình cũng có thói quen ngửi tất thối tuy nhiên không đến nỗi bị nghiện như bệnh nhân họ Bành.

“Lý do tôi ngửi tất của mình là để xem tra xem liệu tôi có thể tiếp tục đi chiếc tất đó vào ngày hôm sau được hay không. Tôi không nghĩ thói quen này lại nguy hiểm đến vậy. Có lẽ tôi nên ngừng ngửi những chiếc tất sau khi mang chúng cả ngày. Tôi sẽ cố gắng giặt sạch tất sau mỗi lần đi”, một người dùng mạng để lại ý kiến.

Theo Vietnamnet
Bầu cử Quốc hội và HĐND: Trụ cột thúc đẩy phát triển và hội nhập quốc tế
Bầu cử Quốc hội và HĐND: Trụ cột thúc đẩy phát triển và hội nhập quốc tế
(Ngày Nay) - Ngay trước thềm Ngày hội bầu cử đại biểu Quốc hội khóa XVI và đại biểu Hội đồng nhân dân (HĐND) các cấp nhiệm kỳ 2026-2031, ông Dammika Patabendi, Bộ trưởng Môi trường Sri Lanka đồng thời là Chủ tịch Hội Nghị sĩ Hữu nghị Sri Lanka-Việt Nam đã chia sẻ về những thành tựu phát triển của Việt Nam trong nhiệm kỳ vừa qua cũng như ý nghĩa của cuộc bầu cử sắp tới.
Thủ tướng Phạm Minh Chính chủ trì cuộc làm việc của Thường trực Chính phủ với lãnh đạo thành phố Hà Nội về Quy hoạch tổng thể Thủ đô Hà Nội tầm nhìn 100 năm. Ảnh: Dương Giang
Thủ tướng: Quy hoạch Thủ đô Hà Nội tầm nhìn 100 năm phải lấy con người làm trung tâm
(Ngày Nay) - Chiều 14/3, tại Trụ sở Chính phủ, thực hiện chỉ đạo của Bộ Chính trị, Ban Bí thư, Thủ tướng Phạm Minh Chính chủ trì cuộc làm việc của Thường trực Chính phủ với lãnh đạo thành phố Hà Nội, tiếp tục cho ý kiến, góp ý về Quy hoạch tổng thể Thủ đô Hà Nội tầm nhìn 100 năm.
Học giả Trung Quốc: Hoạt động của Quốc hội Việt Nam cởi mở, minh bạch và hiệu quả
Học giả Trung Quốc: Hoạt động của Quốc hội Việt Nam cởi mở, minh bạch và hiệu quả
(Ngày Nay) - Cuộc bầu cử đại biểu Quốc hội khóa XVI và Hội đồng nhân dân (HĐND) các cấp nhiệm kỳ 2026-2031, được tổ chức trong bối cảnh Đại hội đại biểu toàn quốc lần thứ XIV (Đại hội XIV) của Đảng Cộng sản Việt Nam vừa diễn ra thành công tốt đẹp, nhằm thực hiện các mục tiêu phát triển trong tương lai do Đại hội XIV đề ra. Điều này bao gồm việc lồng ghép các mục tiêu đó vào các kế hoạch 5 năm và cả các chương trình phát triển kinh tế - xã hội dài hạn.
MIK Group khởi công dự án hơn 5 ha tại Bắc Ninh
MIK Group khởi công dự án hơn 5 ha tại Bắc Ninh
(Ngày Nay) - Ngày 14/3/2026, MIK Group tổ chức Lễ khởi công Dự án Khu dân cư kết hợp Thương mại Dịch vụ và Nhà ở cao tầng II-HH11 thuộc phân khu số 2, thành phố Bắc Giang tại phường Tân Tiến (Bắc Ninh). Đây là lần đầu tiên Tập đoàn hiện diện tại thị trường Bắc Ninh, đánh dấu bước tiến mới trong chiến lược mở rộng hệ sinh thái bất động sản tại khu vực công nghiệp giáp Đông Bắc Thủ đô.
Thủ tướng Chính phủ Phạm Minh Chính tiếp Đại sứ Thái Lan tại Việt Nam
Thủ tướng Chính phủ Phạm Minh Chính tiếp Đại sứ Thái Lan tại Việt Nam
(Ngày Nay) - Chiều 13/3, tại Trụ sở Chính phủ, Thủ tướng Chính phủ Phạm Minh Chính đã tiếp Bà Urawadee Sriphiromaya, Đại sứ Vương quốc Thái Lan tại Việt Nam trao đổi về các biện pháp thúc đẩy quan hệ Đối tác Chiến lược toàn diện Việt Nam - Thái Lan cũng như hợp tác nhằm bảo đảm an ninh năng lượng hai nước.
Thái Lan củng cố vị thế là trung tâm dịch vụ lưu trú, ăn uống và giải trí hàng đầu châu Á
Thái Lan củng cố vị thế là trung tâm dịch vụ lưu trú, ăn uống và giải trí hàng đầu châu Á
(Ngày Nay) - Từ ngày 11-13/3 , triển lãm thương mại toàn diện nhất châu Á dành cho ngành khách sạn, dịch vụ ăn uống và nhà hàng, THAIFEX-HORECASIA 2026, đã diễn ra tại Trung tâm tổ chức sự kiện IMPACT Muang Thong Thani, Thái Lan, thu hút hút hơn 20.000 lượt khách tham quan thương mại, người mua và chuyên gia kinh doanh từ khắp thế giới, đồng thời tạo ra giá trị thương mại hơn 3,5 tỷ baht (khoảng 110 triệu USD).