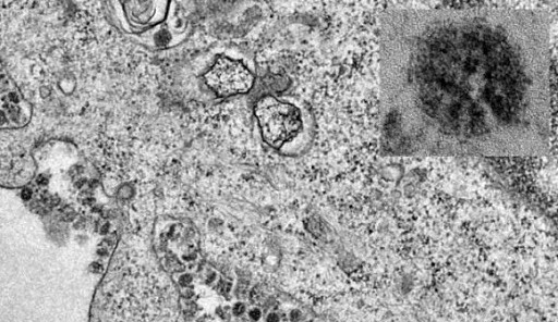
Nguy cơ virus lây truyền qua chất thải của con người

Ngày 7/2, các nhà khoa học nói rằng tiêu chảy có thể là con đường lây lan thứ hai của chủng mới của virus corona (2019-nCoV) gây bệnh viêm đường hô hấp cấp.
Nguy cơ virus lây truyền qua chất thải của con người
Trước đó, con đường lây bệnh chính được cho là do dịch chứa virus bị phát tán khi người bệnh ho. Nguyên nhân là do các nhà nghiên cứu ban đầu tập trung chủ yếu vào những bệnh nhân có triệu chứng về hô hấp và có thể đã bỏ qua mối liên hệ với tiêu hóa.

Trong số 138 bệnh nhân được nghiên cứu tại một bệnh viện ở thành phố Vũ Hán, thì có 14 người có triệu chứng tiêu chảy, buồn nôn trong 1 đến 2 ngày trước khi bị sốt và khó thở. Công trình này của các nhà nghiên cứu Trung Quốc đã được đăng trên tạp chí Hiệp hội Y khoa Mỹ (JAMA).

Trong khi đó, bệnh nhân Mỹ đầu tiên được chẩn đoán nhiễm virus 2019-nCoV cũng đã bị đi ngoài lỏng trong 2 ngày và sau đó virus đã được tìm thấy trong chất thải của người bệnh. Những trường hợp tương tự cũng đã được ghi nhận trong nghiên cứu của Trung Quốc đăng trên tạp chí Lancet.

William Keevil (Uy-li-am Ki-vin), Giáo sư về chăm sóc sức khỏe môi trường tại Đại học Southampton, nhấn mạnh điều quan trọng là virus 2019-nCoV đã được tìm thấy trong chất thải của những bệnh nhân đau bụng, tương tự như virus gây Hội chứng Viêm đường hô hấp cấp (SARS) từng được phát hiện trong nước tiểu trước đây. Điều này cho thấy nguy cơ lây truyền qua đường chất thải là rất cao.

Nguy cơ này không hề gây ngạc nhiên cho giới khoa học, do virus mới này cùng họ với SARS. Việc virus gây SARS lây truyền qua đường chất thải bị cho là nguyên nhân khiến hàng trăm người đổ bệnh tại khu chung cư Amoy Gardens ở Hong Kong vào năm 2003. Luồng không khí ấm từ các nhà tắm của những căn hộ chứa virus đã theo gió lan truyền đến các tòa nhà bên cạnh. Kỹ sư sinh học Jiayu Liao tại Đại học California cho hay hiện chưa rõ virus này có thể sống bao lâu bên ngoài cơ thể và mức nhiệt độ nào khiến virus 2019-nCoV trở nên nhạy cảm.

Nhà nghiên cứu dịch bệnh David Fisman nhận định việc virus lây truyền qua đường chất thải có thể đặt ra thách thức mới cho công tác kiểm soát virus. Nhiều khả năng nó sẽ là vấn đề lớn trong các bệnh viện, bởi nơi đây có thể trở thành nguồn khuếch tán virus. Trong khi đó, chuyên gia virus Benjamin Neuman lại thận trọng cho rằng dù việc lây truyền qua đường chất thải rất đáng để xem xét, song dựa trên các dữ liệu hiện nay, dịch nhầy và việc chạm vào bề mặt chứa virus rồi đưa tay lên mắt, mũi, mồm nhiều khả năng vẫn là con đường lây lan chính./.

Theo TTXVN
OPEC+ tiếp tục nới hạn ngạch khai thác dầu mỏ thêm 206.000 thùng/ngày
OPEC+ tiếp tục nới hạn ngạch khai thác dầu mỏ thêm 206.000 thùng/ngày
(Ngày Nay) - Tổ chức Các nước xuất khẩu dầu mỏ (OPEC) và các đồng minh - còn gọi là OPEC+ - ngày 5/4 đã nhất trí tăng hạn ngạch khai thác dầu mỏ thêm 206.000 thùng/ngày từ tháng 5 tới. Đây là mức tăng khiêm tốn và chủ yếu chỉ mang tính biểu tượng, do các thành viên chủ chốt trong liên minh không thể tăng sản lượng thực tế bởi cuộc chiến giữa Mỹ và Israel với Iran.
EU triển khai đầy đủ hệ thống kiểm soát xuất nhập cảnh mới từ ngày 10/4
EU triển khai đầy đủ hệ thống kiểm soát xuất nhập cảnh mới từ ngày 10/4
(Ngày Nay) - Từ ngày 10/4/2026, Liên minh châu Âu (EU) sẽ triển khai đầy đủ hệ thống kiểm soát xuất nhập cảnh mới mang tên EES (Entry/Exit System), đánh dấu bước chuyển quan trọng trong hoạt động quản lý biên giới khu vực Schengen. Việc áp dụng kiểm tra 100% đối với hành khách ngoài EU được dự báo sẽ gây ra tình trạng ùn tắc tại các sân bay, nhà ga quốc tế và cảng biển ngay trong những ngày đầu triển khai.
Loạt phim Việt làm nên “kỷ lục doanh thu lịch sử” trong Quý 1/2026
Vì sao phim Việt đầu năm đại thắng ngàn tỷ đồng?
(Ngày Nay) - Các phim Việt Nam ra rạp kể từ đầu năm 2026 đến hết tháng 3/2026 gặt thành công lớn khi lập kỷ lục doanh thu phòng vé lên tới 1.130 tỷ đồng , vượt qua con số 1.110 tỷ đồng cùng kỳ năm ngoái . Điều này cho thấy khán giả đang rất ủng hộ và thích xem phim Việt.
Tổng vốn đầu tư toàn xã hội tăng gần 11% vào Quý I
Tổng vốn đầu tư toàn xã hội tăng gần 11% vào Quý I
(Ngày Nay) - Cục Thống kê, Bộ Tài chính vừa công bố, hoạt động đầu tư trong quý I/2026 tiếp tục duy trì đà tăng trưởng tích cực, với quy mô vốn toàn xã hội mở rộng và dòng vốn đầu tư nước ngoài gia tăng rõ rệt.
Bộ trưởng, Chủ nhiệm Văn phòng Chính phủ Trần Văn Sơn chủ trì họp báo Chính phủ thường kỳ.
Nỗ lực bảo đảm nguồn cung xăng dầu, cung ứng đủ điện
(Ngày Nay) - Chiều 4/4, tại Hà Nội, Văn phòng Chính phủ tổ chức họp báo Chính phủ thường kỳ dưới sự chủ trì của Bộ trưởng, Chủ nhiệm Văn phòng Chính phủ Trần Văn Sơn. Tại họp báo, đại diện lãnh đạo một số bộ, ngành trả lời câu hỏi của các phóng viên liên quan những vấn đề nóng đang được dư luận xã hội quan tâm.