(Ngày Nay) - Khu vực ô nhiễm nhất cả nước tính đến thời điểm 8h30 sáng 17/4 thuộc về khu vực 556 Nguyễn Văn Cừ, Hà Nội, với chỉ số không khí ở mức 156, màu đỏ, mức Xấu.
(Ngày Nay) - Sáng ngày 10/7, ngay khi nhận được phản ánh của Ngày Nay về việc Khu xử lý chất thải Quang Trung (huyện Thống Nhất) xả thải ra suối, Giám đốc Sở Tài nguyên Môi trường Đồng Nai lập tức phản hồi và cho biết sẽ chỉ đạo tiếp cận thông tin, báo cáo tỉnh.
(Ngày Nay) - Kể từ khi Khu xử lý chất thải Quang Trung (huyện Thống Nhất) do Công ty Cổ phần Dịch vụ Sonadezi làm chủ đầu tư đi vào hoạt động, cứ đến mùa mưa hằng năm, hàng trăm hộ dân trong khu vực lại cảm thấy ngột ngạt khó thở bởi bầu không khí loan đầy mùi hôi.
Ban cố vấn cho Hội nghị thượng đỉnh lần thứ 28 Các bên tham gia Công ước khung của Liên hợp quốc về biến đổi khí hậu (COP28) cho rằng tăng đánh thuế đối với các hoạt động gây ô nhiễm và cắt giảm trợ cấp nhiên liệu hóa thạch có thể tạo ra hàng nghìn tỷ USD để giải quyết vấn đề biến đổi khí hậu.
(Ngày Nay) - Kể từ năm 2009, Liên hợp quốc chính thức công nhận ngày 22/4 hằng năm là Ngày Trái đất. Đây là dịp để nâng cao nhận thức và hành động của toàn nhân loại nhằm bảo vệ giá trị của môi trường tự nhiên toàn cầu.
Ngày 10/2, Cơ quan Bảo vệ Môi trường Mỹ (EPA) đã công bố khoản ngân sách bổ sung trị giá 1 tỷ USD từ Luật Cơ sở hạ tầng lưỡng đảng để triển khai chương trình xử lý tình trạng ô nhiễm chất thải độc hại (Superfund) tại 22 địa điểm ở 15 tiểu bang.
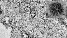
(Ngày Nay) - Nếu như chỉ dựa trên các kết quả xét nghiệm dịch mũi và họng để xác định đã khỏi bệnh COVID-19 hay chưa, thì có lẽ chúng ta đã thiếu sót lớn. Các nhà khoa học tại trường Stanford Medicine (Mỹ) đã tiến hành một nghiên cứu và rút ra kết luận rằng chất thải từ những người mắc COVID-19 vẫn có thể chứa vật chất di truyền của virus SARS-CoV-2 đến 7 tháng sau lần đầu được chẩn đoán mắc bệnh. Những người này thường có các triệu chứng tiêu hóa kéo dài như buồn nôn, nôn mửa và đau bụng.
(Ngày Nay) - Số ca mắc COVID-19 ghi nhận tại Hà Nội mỗi ngày lên tới hàng chục nghìn ca, trong đó có đến 99% số ca F0 điều trị tại nhà, điều này khiến việc thu gom rác thải sinh hoạt cho đối tượng F0 gặp nhiều khó khăn.
Ngày 6/1, ít nhất 6 công nhân tại một nhà máy nhuộm và in ở Ấn Độ đã tử vong và hơn 20 người khác được đưa vào bệnh viện sau khi hít phải khí gas độc hại do hoạt động xả thải trái phép các chất hóa học tại nhà máy này.
(Ngày Nay) - Để xây dựng một xã hội xanh, công bằng và bình đẳng hơn sau khi COVID-19, đã đến lúc các nước giàu cần chấm dứt hành động chuyển rác thải nhựa sang các nước đang phát triển. Bởi điều này không chỉ gây hại cho môi trường, mà còn ảnh hưởng đến phụ nữ và trẻ em gái, những người có xu hướng làm các công việc liên quan đến thu gom rác thải.
Ngày 7/2, các nhà khoa học nói rằng tiêu chảy có thể là con đường lây lan thứ hai của chủng mới của virus corona (2019-nCoV) gây bệnh viêm đường hô hấp cấp.
Việc sử dụng than tổ ong trong sinh hoạt hằng ngày tạo ra chất thải, khí thải độc gây tác hại trực tiếp sức khỏe người sử dụng. Hơn lúc nào hết, bếp than tổ ong cần sớm được thay thế nhằm bảo đảm môi trường sống của người dân Thủ đô. Những tác hại khó lường
(Ngày Nay) - Khu đất của gia đình ông Đặng Văn Tư tại khu vực núi Sú, thôn Lai Sơn (Sóc Sơn, Hà Nội) bất ngờ có mùi hôi thối, sau khi kiểm tra người dân phát hiện ra khối lượng lớn chất thải đã bị kẻ gian chôn lấp trong các hố sâu gần nguồn nước sinh hoạt.
(Ngày Nay) - Hiện cơ quan Công an tỉnh Hòa Bình đã bắt giữ hai đối tượng Nguyễn Chương Đại và Hoàng Văn Thám, trong khi đó tiếp tục truy lùng một đối tượng khác là Lý Đình Vũ đang bỏ trốn.
(Ngày Nay) - Malaysia đang lên kế hoạch gửi lại 9 container chứa đầy rác thải nhựa được vận chuyển trái phép từ các quốc gia khác tới nước này, Bộ trưởng Môi trường Yeo Bee Yin tuyên bố trong tuần này.
Từ ngày 5-10/10, 25 hộ gia đình nằm sát gần bãi thải và bị thiệt hại nặng khi xảy ra sự cố vỡ đập chứa chất thải của Công ty cổ phần DAP số 2 vào ngày 7/9/2018 sẽ được di chuyển sau đó dời đến khu tái định cư tại thị trấn phố Lu, huyện Bảo Thắng, Lào Cai.
Theo phản ánh của người dân thôn Tập Đoàn, xã Thượng Yên Công, TP Uông Bí (tỉnh Quảng Ninh), thời gian qua 2 hồ chứa nước thải trên địa bàn rỉ rác ra môi trường. Điều này đã làm ảnh hưởng không nhỏ đến cuộc sống của họ. Vậy đâu là thực tế?