Trên 200 trường hợp nhiễm khuẩn đường ruột do ăn thịt gà tây
Trên 200 trường hợp nhiễm khuẩn đường ruột do ăn thịt gà tây
Giới chức Mỹ ngày 21/12 xác nhận hơn 200 người trên khắp nước này đã mắc bệnh, trong đó 84 người phải nhập viện, trong đợt bùng phát nhiễm khuẩn đường ruột salmonella liên quan tới các sản phẩm thịt gà tây sống vốn đã khiến nhà chức trách phải 2 lần ban bố lệnh thu hồi.
Ngộ độc thực phẩm và các cách xử trí tại nhà
Ngộ độc thực phẩm và các cách xử trí tại nhà
 Tình trạng thực phẩm bẩn tràn lan ngoài thị trường hiện nay đã và đang khiến không ít người bị ngộ độc. Tùy vào biểu hiện nặng nhẹ mà ngộ độc thực phẩm có thể gây ra mức độ nguy hiêm khác nhau đến sức khỏe người bệnh. Vậy, làm thế nào để nhận biết khi bị ngộ độc và nên xử trí ra sao trong trường hợp này?
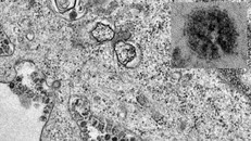
Phát hiện virus gây tiêu chảy ở lợn có nguy cơ lây sang người
Phát hiện virus gây tiêu chảy ở lợn có nguy cơ lây sang người
(Ngày Nay) - Theo nghiên cứu đăng tải trên tạp chí Proceedings của Viện Hàn lâm Khoa học Mỹ ngày 14/5, virus mang tên Porcine deltacoronavirus (PDCoV) được phát hiện gần đây trên loài lợn có khả năng "tấn công" tế bào của con người và nhiều loài động vật thí nghiệm khác.
Lại có ca cấp cứu nguy kịch vì vi khuẩn ‘ăn não’
Lại có ca cấp cứu nguy kịch vì vi khuẩn ‘ăn não’
(Ngày Nay) - Chiều ngày 7/5, Bệnh viện Bệnh Nhiệt đới Trung ương cho biết, bệnh viện vừa tiếp nhận một bệnh nhân nữ nhập viện trong tình trạng sốt cao, hôn mê sâu, xuất hiện nhiều vết xuất huyết dưới da do viêm não mô cầu.
Vi khuẩn gây tiêu chảy Salmonella xâm nhập vào trứng gà như thế nào?
Vi khuẩn gây tiêu chảy Salmonella xâm nhập vào trứng gà như thế nào?
(Ngày Nay) - Thứ Sáu vừa qua, nhà cung cấp trứng gà Rose Acre Farms tuyên bố thu hồi khoảng 207 triệu quả trứng lấy từ trang trại của họ ở Bắc Carolina. Theo Cục quản lí Thực phẩm và Dược phẩm Mỹ (FDA), số lượng trứng này đã được phân phối cho 9 bang, và được bán dưới nhiều thương hiệu hàng hóa. Tính đến nay, đã có 22 ca nhiễm bệnh do sử dụng trứng này.
Nếu không muốn tính mạng nguy hiểm, đừng nấu 9 rau củ này với cá
Nếu không muốn tính mạng nguy hiểm, đừng nấu 9 rau củ này với cá
(Ngày Nay) - Rau xanh và cá đều là hai loại thực phẩm lành tính, dễ chế biến và dường như luôn hiện diện khắp mọi nơi trong các bữa ăn của gia đình Việt. Thế nhưng không phải ai cũng biết rằng, có rất nhiều loại rau không thể nấu được với cá, nếu không sẽ gây ra nhiều hệ quả nghiêm trọng như buồn nôn, nôn mửa, đau bụng, tiêu chảy, tím tái, khó thở và thậm chí nếu không được điều trị kịp thời, nó có thể dẫn đến tử vong. 
Sản phẩm dinh dưỡng nhiễm khuẩn bị thu hồi
Pha sữa với nước ấm khiến vi khuẩn sinh sôi nhanh hơn và gây bệnh
(Ngày Nay) - Thông tin hàng triệu sản phẩm sữa công thức dành cho trẻ nhỏ của Tập đoàn Lactalis bị nhiễm khuẩn phải thu hồi, đặc biệt là khi Tổng cục Hải quan cho biết đã có hơn 20.000 sản phẩm nhiễm khuẩn của Tập đoàn này đã lọt vào thị trường Việt Nam, thực sự là một điều đáng lo ngại khi hiện có nhiều bà mẹ đang nuôi con bằng sữa này.