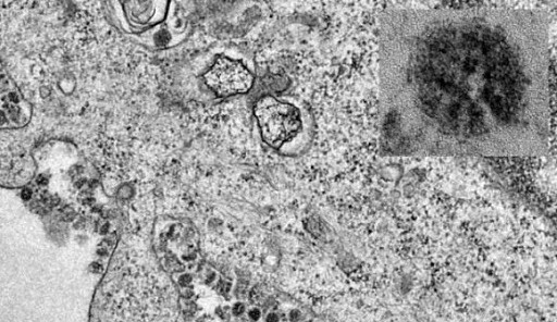
(Ngày Nay) - Một đợt dịch bệnh viêm phổi do một chủng virus corona mới ban đầu xuất hiện tại thành phố Vũ Hán, tỉnh Hồ Bắc của Trung Quốc và từ đó đã lan rộng ra hơn 25 quốc gia.
Chính phủ Trung Quốc đã tạm thời đặt tên cho loại virus corona mới là "virus corona viêm phổi mới" (Novel Coronavirus Pneumonia - NCP), theo một tuyên bố của Ủy ban Y tế Quốc gia Trung Quốc.
Tổ chức Y tế Thế giới (WHO), đã tuyên bố tình trạng khẩn cấp về sức khỏe toàn cầu do dịch virus corona vào tuần trước, dù vẫn chưa đặt tên chính thức cho loại virus mới này, nhưng đã khuyến nghị gọi nó là "Bệnh hô hấp cấp tính Novel coronavirus" (2019-nCoV ARD) .
Tính đến ngày hôm nay, dịch nCoV đã cướp đi sinh mạng của ít nhất 811 người ở Trung Quốc, trong khi 37.200 người đã bị nhiễm bệnh và 2.649 người đã được xuất viện.
Bên ngoài lãnh thổ Trung Quốc, đã có 1 trường hợp tử vong tại Hong Kong và 1 trường hợp khác tử vong tại Philippines.
Lãnh đạo của nhóm chuyên gia quốc tế do WHO thành lập để hỗ trợ các nỗ lực của Trung Quốc chống lại sự bùng phát dịch bệnh virus corona mới dự kiến sẽ tới Trung Quốc vào thứ Hai hoặc thứ Ba.
(Ngày Nay) - Bước vào gốm như trở về một nguồn khơi của sáng tạo, “Khởi Thủy” không chỉ là cuộc ra mắt gốm cá nhân đầu tiên của nghệ sĩ Nguyễn Thu Thủy mà còn mở ra một hành trình chậm rãi, nơi truyền thống, ký ức và bản thể gặp nhau trong sự giao hòa của đất, nước, lửa.
(Ngày Nay) - Theo dự báo, từ ngày 25/2 đến hết ngày 26/2, khu vực Bắc Bộ và Bắc Trung Bộ có mưa rào và rải rác có dông với lượng mưa phổ biến từ 10-30mm/24h, cục bộ có nơi mưa to trên 70mm/24h.
(Ngày Nay) - Năm 2026 là năm bản lề để Vân Đồn tạo ra những chuyển động rõ nét hơn trong tiến trình hướng tới mô hình Đặc khu kinh tế thế hệ mới với cơ chế, chính sách đặc thù, giải quyết các điểm nghẽn, thách thức, đảm bảo cạnh tranh khu vực và quốc tế; đồng thời, tạo hành lang pháp lý thông thoáng để thu hút đầu tư, phát triển các ngành kinh tế mũi nhọn.
(Ngày Nay) - Trưởng Ban Tuyên giáo và Dân vận TW đề nghị ngành y tế tiếp tục đào tạo nhân lực chất lượng cao; nâng cao trình độ chuyên môn gắn với xây dựng văn hóa, y đức, nhân cách người thầy thuốc.
(Ngày Nay) - Sau hơn 10 năm nghiên cứu độc lập, đối chiếu tư liệu lịch sử, khảo sát thực địa và mô phỏng kỹ thuật , chế tạo thử nghiệm, Kỹ sư Vũ Đình Thanh – khẳng định phong trào Tây Sơn đã làm chủ công nghệ tách và sử dụng Phốt pho trắng trong chiến tranh. Từ hang dơi ở An Khê, chiến trường Rạch Gầm – Xoài Mút đến đỉnh cao tại Thăng Long mùa Xuân 1789, kỹ sư Thanh cho rằng yếu tố hóa học đã góp phần quyết định vào tốc độ và mức độ hủy diệt của chiến thắng.
(Ngày Nay) - Cuộc tập trận Hổ mang Vàng cần thích ứng với những thay đổi của môi trường quốc tế, tăng cường khả năng phối hợp giữa các lực lượng nhằm bảo vệ chủ quyền và thịnh vượng của các quốc gia tham gia.
(Ngày Nay) - Phó Thủ tướng Trần Hồng Hà yêu cầu các bộ, ngành, địa phương khẩn trương kiểm điểm, khắc phục tồn tại, bảo đảm dữ liệu thống nhất, chính xác trước đợt thanh tra lần thứ 5 của Ủy ban châu Âu.
(Ngày Nay) - Thủ tướng nhấn mạnh Chiến lược giai đoạn 2026-2030 phải tiếp đảm bảo tiến bộ, công bằng trong tiếp cận bình đẳng tài chính, tín dụng, không để ai bị bỏ lại phía sau trong quá trình phát triển.
(Ngày Nay) - Trước nhu cầu vật liệu tăng cao, Phó Thủ tướng Trần Hồng Hà chỉ đạo các bộ, ngành chủ động nguồn cung, nâng công suất cảng, tạo điều kiện thuận lợi vận chuyển phục vụ các dự án APEC 2027 tại Phú Quốc.
(Ngày Nay) - Tổng thống Zelensky khẳng định Ukraine mong muốn một nền hòa bình “mạnh mẽ, bền vững và lâu dài,” đồng thời nhấn mạnh bất kỳ thỏa thuận nào cũng cần được người dân Ukraine chấp nhận.