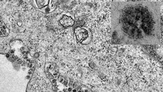
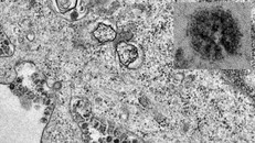
(Ngày Nay) - Một đợt dịch bệnh viêm phổi do một chủng virus corona mới ban đầu xuất hiện tại thành phố Vũ Hán, tỉnh Hồ Bắc của Trung Quốc và từ đó đã lan rộng ra hơn 25 quốc gia.
Dịch bệnh viêm đường hô hấp cấp do chủng mới của virus Corona (nCoV) gây ra đang diễn biến phức tạp. Hiện ngoài Trung Quốc, dịch bệnh này đã ghi nhận ca mắc tại một số quốc gia và vùng lãnh thổ.
Sáng 31/1, Bộ Văn hóa, Thể thao và Du lịch đã có công văn khẩn số 391/BVHTTDL-VHCS gửi các tỉnh, thành phố về phòng, chống dịch bệnh viêm đường hô hấp cấp virus Corona trong hoạt động lễ hội, di tích.
Hàn Quốc đã phát hiện thêm 2 trường hợp mắc bệnh viêm phổi do chủng virus corona mới (2019-nCoV) có nguồn gốc từ thành phố Vũ Hán, tỉnh Hồ Bắc, Trung Quốc.
Theo các chuyên gia y tế, chỉ cần khẩu trang y tế bình thường là đủ để phòng chống virus corona mới, thay vì các loại khẩu trang đắt đỏ được chào bán với các lời quảng cáo mỹ miều...
Dịch viêm phổi do chủng virus corona mới có khả năng gây thiệt hại nghiêm trọng hơn đối với kinh tế toàn cầu, vì Trung Quốc đang chiếm tỷ trọng lớn trong nền kinh tế thế giới.
Đêm 28/1, Bộ trưởng Bộ Giáo dục và Đào tạo (GD&ĐT) có công điện gửi các sở giáo dục và đào tạo, các đại học, học viện, viện, các trường đại học, cao đẳng, trung cấp chuyên nghiệp và các đơn vị trực thuộc Bộ về việc phòng chống dịch bệnh viêm đường hô hấp cấp do chủng mới của virus Corona.
Tổng cục Du lịch (Bộ Văn hóa, Thể thao và Du lịch) vừa có văn bản về việc tạm dừng đưa đón khách du lịch đến vùng có dịch bệnh viêm đường hô cấp cấp do virus corona.
Một lãnh đạo của BVĐK tỉnh Hải Dương tối 27/1/2020 xác nhận với PV báo Sức khỏe & Đời sống, lúc 21h30 ngày 26/1, tức mùng 2 tết, khoa cấp cứu của BVĐK tỉnh tiếp nhận bệnh nhân Zhou Yochao, 10 tuổi, quốc tịch Trung Quốc được chuyển đến từ Trung tâm y tế huyện Gia Lộc lên.
450 bác sỹ quân y đã tới thành phố Vũ Hán, thủ phủ tỉnh Hồ Bắc, miền Trung Trung Quốc để tăng cường các nỗ lực kiểm soát và phòng chống dịch bệnh viêm phổi do virus corona mới (2019-nCoV).
(Ngày Nay) - Trong bối cảnh dịch bệnh viêm phổi cấp do virus corona mới (nCoV) đang diễn biến phức tạp, đặc biệt là việc Việt Nam đã ghi nhận hai ca nhiễm nCoV đầu tiên tại TP.HCM; chuyên gia trong lĩnh vực y tế đã đưa ra một số lời khuyên nhằm giúp người dân phòng ngừa bệnh một cách hiệu quả.