TS.BS Vũ Hữu Khiêm, Trưởng khoa Ung bướu, Bệnh viện Đa khoa Tâm Anh Hà Nội cho biết, anh Nguyễn Minh Châu (34 tuổi, Quảng Ninh) đến khám khi có dấu hiệu đau tức hạ sườn phải, mệt mỏi, phù nhẹ hai chân. Qua khám lâm sàng thấy có dấu hiệu của ung thư gan, tiến sĩ Khiêm chỉ định người bệnh thực hiện một số xét nghiệm để khẳng định.
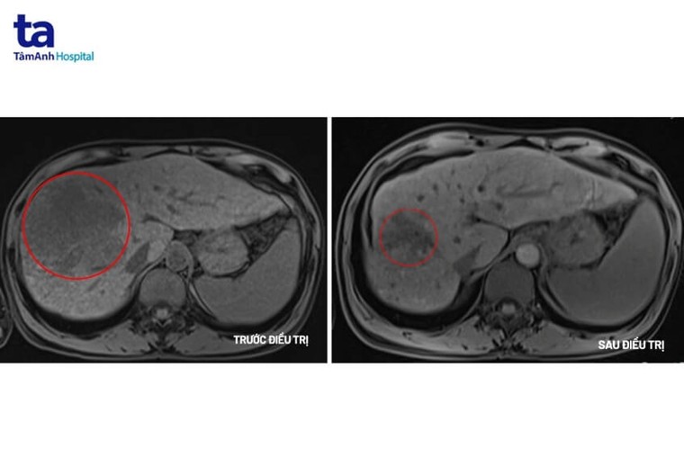
Xét nghiệm chỉ điểm ung thư gan cho thấy chỉ số AFP là 9412ng/mL (người bình thường chỉ số này là < 10ng/mL); AFP L3 81,3% (ngưỡng bình thường <10%); PIVKA II=56661 mAu/mL (ngưỡng bình thường <40 mAu/mL). Trên MRI cho thấy khối u lớn ở gan phải với kích thước 10x10x12cm có tính chất HCC, huyết khối tĩnh mạch cửa và xơ gan. Kết quả cho thấy người bệnh mắc ung thư gan giai đoạn muộn.
Với kinh nghiệm điều trị thành công cho nhiều ca bệnh ung thư gan, bác sĩ Khiêm cùng ekip nhanh chóng lựa chọn phác đồ điều trị miễn dịch kết hợp kháng thể đơn dòng ức chế tăng sinh mạch máu (Atezolizumab và Bevacizumab) cho bệnh nhân. Đây là liệu pháp điều trị phối hợp mới nhất được áp dụng trong điều trị ung thư gan và nhiều bệnh lý ung thư khác với ưu điểm tăng tỉ lệ đáp ứng, tăng hiệu quả điều trị, ít tác dụng phụ… giúp kéo dài thời gian sống cho người bệnh ung thư gan giai đoạn muộn.
Sau 12 chu kỳ (khoảng 6 tháng) điều trị phác đồ miễn dịch kết hợp kháng thể đơn dòng, khối u gan đã giảm hơn 50% kích thước, người bệnh không xuất hiện triệu chứng đau, không có dịch ổ bụng, chức năng gan thận trở lại bình thường, cải thiện chất lượng cuộc sống. Bệnh nhân tiếp tục được điều trị và theo dõi chặt chẽ để nâng cao hiệu quả.
![]() |
Hình ảnh khối u trước và sau điều trị. Ảnh: BVĐK Tâm Anh. |
Giải thích rõ về cơ chế hoạt động của liệu pháp miễn dịch (Immunotherapy), tiến sĩ Khiêm cho hay, đây là phương pháp điều trị ung thư bằng cách kích hoạt hệ thống miễn dịch của cơ thể người bệnh nhằm chống lại tế bào ung thư thông qua nhiều phương pháp khác nhau. Hệ miễn dịch của cơ thể có tế bào T được ví như những “người lính thiện chiến” có nhiệm vụ tiêu diệt các tế bào bất thường xuất hiện trong cơ thể. Các tế bào bình thường của con người không bị hệ miễn dịch tấn công nhờ có các chốt kiểm soát miễn dịch (checkpoint inhibitors) trên bề mặt tế bào. Các tế bào ung thư cũng lợi dụng các chốt kiểm soát miễn dịch này để tránh bị hệ miễn dịch nhận biết và tấn công. Điều trị miễn dịch chính là sử dụng các thuốc để khóa các chốt kiểm soát miễn dịch trên bề mặt tế bào ung thư lại, giúp hệ miễn dịch nhận biết và đưa tế bào T tiêu diệt tế bào ung thư.
Nói về kháng thể đơn dòng trong điều trị ung thư, tiến sĩ Khiêm đánh giá, đây là phương pháp mới và hiệu quả trong điều trị ung thư. Ở trường hợp của anh Châu, kháng thể đơn dòng được sử dụng nhằm ngăn chặn sự phát triển của mạch máu. Một khối u ác tính sẽ cần được cung cấp máu để tồn tại và phát triển. Lúc này kháng thể đơn dòng được sử dụng để thể ngăn chặn sự tương tác của tế bào ung thư và protein cần thiết cho sự phát triển của các mạch máu mới, nhờ đó có thể cắt đứt con đường cung cấp máu cho khối u.
![]() |
TS.BS Vũ Hữu Khiêm đang tư vấn cho người bệnh đến thăm khám tại Khoa Ung bướu, BVĐK Tâm Anh Hà Nội. Ảnh: BVCC. |
Bác sĩ Khiêm khẳng định, các thuốc miễn dịch, kháng thể đơn dòng có thể được phối hợp với các phương thức điều trị khác như hóa chất, phẫu thuật, xạ trị giúp bệnh nhân được điều trị triệt căn. Các loại thuốc mới này được nghiên cứu, áp dụng thành công và đã được chứng minh mang lại lợi ích cho các bệnh nhân ung thư. Hiện tại, hệ thống Bệnh viện Đa khoa Tâm Anh sở hữu nhiều loại thuốc miễn dịch điều trị ung thư mới nhất.
Thống kê của Globocan 2020 cho thấy, tỷ lệ mắc mới ung thư gan tại Việt Nam là 26.418 người mỗi năm. Ung thư gan có số ca tử vong dẫn đầu với 25.272, chiếm 21% tổng số ca tử vong do ung thư, gấp 3,8 lần tổng số ca tử vong do tai nạn giao thông năm 2020 (6.700 ca). Có tới 77% người bệnh ung thư gan là nam giới, bệnh có thể ở gặp bất cứ lứa tuổi nào. Vì vậy, tầm soát ung thư gan là biện pháp hiệu quả giúp phát hiện sớm và điều trị kịp thời. Đặc biệt là những trường hợp bị viêm gan mạn hoặc xơ gan do bất kỳ nguyên nhân nào. Nếu có dấu hiệu, đau tức vùng hạ sườn (vùng bụng bên dưới xương sườn), chán ăn, sụt cân không rõ nguyên nhân, mệt mỏi… nên đến cơ sở y tế ngay để được thăm khám.

