(Ngày Nay) - Vụ cháy nhà xưởng xảy ra khoảng 11 giờ 30 phút ngày 30/10 tại công ty sản xuất băng keo tại phường Thuận Giao, thành phố Thuận An, tỉnh Bình Dương. Cột khói từ đám cháy bốc cao hàng chục mét.
(Ngày Nay) - Ủy ban Nhân dân tỉnh Ninh Thuận có văn bản yêu cầu cơ quan chức năng khẩn trương điều tra, xử lý vụ nữ sinh lớp 12 tử vong do tai nạn giao thông đảm bảo khách quan, chính xác, đúng quy định pháp luật.
(Ngày Nay) - Sáng 20/7, Bộ Quốc phòng đã điều động máy bay hỗ trợ tìm kiếm ngư dân mất tích theo đề nghị của Ủy ban Nhân dân tỉnh Bình Thuận vào tối 19/7.
(Ngày Nay) - Ngày 6/6, Công an huyện Thoại Sơn, tỉnh An Giang đã khởi tố và bắt giam 2 đối tượng dùng dao chém thành viên chốt phòng, chống dịch COVID-19 sau khi đo thân nhiệt xong.
(Ngày Nay) - Sau hơn 10 năm vận hành, nhiều hầm đi bộ tại Hà Nội vẫn chưa phát huy hiệu quả. Để phát huy tối đa công năng của các hầm đi bộ, cơ quan chức năng tại các địa phương cần phối hợp, thực hiện đồng bộ nhiều giải pháp và nghiêm khắc hơn trong xử phạt.
(Ngày Nay) - Lực lượng chức năng đã giải cứu thành công một người đàn ông mắc kẹt do giàn giáo đổ sập tại công trình tại số nhà 170 Phạm Văn Đồng (phường Mai Dịch, quận Cầu Giấy, thành phố Hà Nội).
(Ngày Nay) - Sau khi khảo sát, Đoàn công tác tỉnh Thừa Thiên - Huế quyết định sẽ tiếp tục triển khai tìm kiếm 11 nạn nhân còn mất tích tại thuỷ điện Rào Trăng 3.
(Ngày Nay) - Khoảng 17h chiều 15/3, tại ngã tư Khâm Thiên – Lê Duẩn, phường Trần Hưng Đạo, quận Hoàn Kiếm (Hà Nội), một cây bàng có đường kính gốc khoảng 30cm đã bật rễ và đổ vào người một phụ nữ đi xe máy. Nạn nhân ngay lập tức được đưa đi cấp cứu.
(Ngày Nay) - Đã 20 năm tuổi và xuống cấp nghiêm trọng, nhưng ngày ngày người dân vẫn đi qua cầu treo 'tử thần' tại bản Lát, xã Tam Chung, huyện biên giới Mường Lát (Thanh Hóa) do chính quyền chưa tháo dỡ và thay thế bằng một cây cầu tốt hơn.
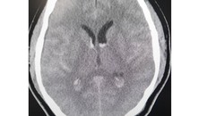
(Ngày Nay) - Theo các bác sĩ tại Bệnh viện Nhi Trung ương, tình hình sức khoẻ cháu bé ngã từ tầng 12A của chung cư trên phố Nguyễn Huy Tưởng, Hà Nội tiến triển tốt và có thể được xuất viện vào sáng mai (5/3)
(Ngày Nay) - Nhờ phối hợp nhịp nhàng, hiệu quả nhiều chuyên khoa, các bác sĩ Bệnh viện Bạch Mai đã cứu sống bệnh nhân Bae Hyo Nam bị chảy máu dưới nhện thể nặng.
(Ngày Nay) - Chiều 5/1, Công an TP Hưng Yên đã ra quyết định khởi tố vụ án, khởi tố bị can đối với Vũ Văn Vương, thanh tra Sở GTVT Hưng Yên để điều tra về hành vi gây tai nạn giao thông dẫn đến chết người.
(Ngày Nay) - Theo thông tin từ Bệnh viện Hữu nghị Việt - Đức, chiều 5/1, các bác sĩ vừa cấp cứu liên tiếp 2 trường hợp bệnh nhân chấn thương do bình gas phát nổ.
(Ngày Nay) - Theo thống kê của Cục Cảnh sát giao thông, Bộ Công an, trong 3 ngày nghỉ Tết Dương lịch, toàn quốc xảy ra 67 vụ tai nạn giao thông (TNGT) làm 40 người chết, 37 người bị thương.
(Ngày Nay) - Thủ tướng Chính phủ Nguyễn Xuân Phúc giao Bộ Nông nghiệp và Phát triển nông thôn rà soát, đánh giá và xử lý; có giải pháp chấn chỉnh, nâng cao hiệu quả quản lý, bảo vệ rừng...