Cứu sống bệnh nhân người Hàn Quốc bị chảy máu dưới nhện nguy kịch

0:00 / 0:00
0:00
(Ngày Nay) -  Nhờ phối hợp nhịp nhàng, hiệu quả nhiều chuyên khoa, các bác sĩ Bệnh viện Bạch Mai đã cứu sống bệnh nhân Bae Hyo Nam bị chảy máu dưới nhện thể nặng.
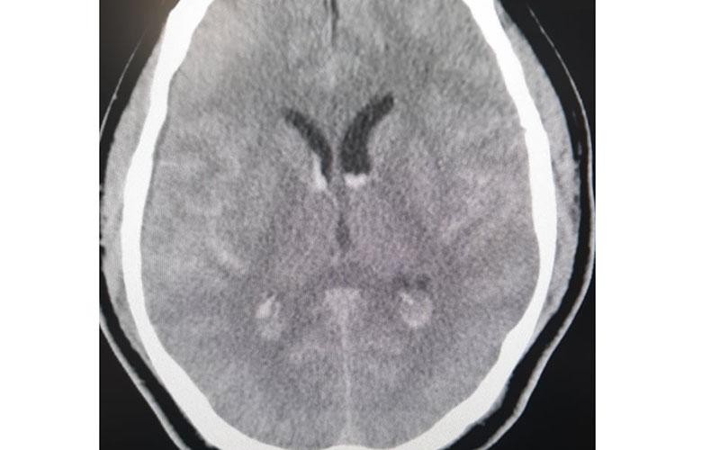
Hình ảnh phim chụp xuất huyết dưới nhện lan tỏa - tụ máu não thất. (Ảnh: Nhân Dân)
Hình ảnh phim chụp xuất huyết dưới nhện lan tỏa - tụ máu não thất. (Ảnh: Nhân Dân)

Phó Giáo sư, Tiến sĩ Mai Duy Tôn, Giám đốc Trung tâm Đột quỵ, Bệnh viện Bạch Mai cho biết, bệnh nhân được tiếp nhận và điều trị thành công là Bae Hyo Nam, 46 tuổi, người Hàn Quốc, sinh sống và làm việc tại Việt Nam được 7 năm. Bệnh nhân là chủ của một công ty lớn tại Việt Nam chuyên sản xuất phụ kiện điện thoại Samsung và phụ kiện xe ô-tô.

Ngày 9-12-2020, khi đang cùng nhóm đối tác đang chơi gôn ở Hòa Bình, đột ngột bệnh nhân cảm thấy đau đầu dữ dội, buồn nôn và nôn nhiều. Sau khi được đưa vào cấp cứu tại Bệnh viện đa khoa tỉnh Hòa Bình, bệnh nhân được chẩn đoán chảy máu dưới nhện thể nặng.

Do ca bệnh phức tạp và tiềm ẩn nhiều nguy hiểm, bệnh nhân được chuyển lên Trung tâm Đột quỵ, Bệnh viện Bạch Mai để điều trị.

Theo các bác sĩ bệnh viện Bạch Mai đây là một ca đột quỵ nặng, bệnh nhân sẽ tử vong nếu không được can thiệp cấp cứu. Tổn thương của bệnh nhân nằm ở vị trí khó, phức tạp và nguy hiểm, thường cần một bác sĩ chẩn đoán hình ảnh chuyên sâu và nhiều kinh nghiệm mới chẩn đoán được.

Sau khi hội chẩn đa chuyên khoa, đội ngũ bác sĩ đã thống nhất tiến hành can thiệp Điện quang cấp cứu cho bệnh nhân. Sau hơn một giờ căng thẳng, ca can thiệp đã thành công. Bệnh nhân được đưa về phòng hồi sức tích cực của Trung tâm Đột quỵ.

Sau 12 ngày tích cực điều trị, t ình trạng bệnh nhân đã dần ổn định và tiến triển tốt. Bệnh nhân tỉnh táo, giao tiếp được, tự thở, huyết động ổn định. Ngày 17/2/2021, cảm thấy sức khoẻ đã bình phục gần như hoàn toàn, bệnh nhân xin về Hàn Quốc để tiếp tục điều trị và phục hồi chức năng.

Cảm động bởi tấm lòng của các y, bác sĩ Trung tâm Đột quỵ, Bệnh viện Bạch Mai, bệnh nhân Bae Hyo Nam đã viết một bức thư cảm ơn và gửi tới tập thể y, bác sĩ nhân dịp kỷ niệm 66 năm ngày thầy thuốc Việt Nam (27/2/1955- 27/2/2021). Trong lá thư của mình, bệnh nhân xúc động chia sẻ: “Xin bày tỏ tấm lòng biết ơn sâu sắc đến các vị lãnh đạo, các bác sĩ, y tá, điều dưỡng của Trung tâm Đột quỵ - Bệnh viện Bạch Mai đã chăm sóc và tận tình điều trị bệnh cứu sống tôi.”.

"Ca can thiệp mạch thành công, bệnh nhân được cứu sống và dần hồi phục các chức năng sau cơn đột quỵ nặng là kết quả của sự phối kết hợp hiệu quả, đầy trách nhiệm của các thầy thuốc Trung tâm Đột quỵ, Trung tâm Điện Quang, Khoa Phẫu thuật Thần kinh và Trung tâm Phục hồi chức năng - Bệnh viện Bạch Mai. Đây cũng là lợi thế trong việc phối hợp nhiều chuyên khoa để cấp cứu, điều trị cho những trường hợp nguy kịch mà hiện nay được triển khai thường quy tại Bạch Mai", PGS, TS Mai Duy Tôn - Giám đốc Trung tâm Đột quỵ, Bệnh viện Bạch Mai nhận xét.

Chính sách phát triển, ứng dụng năng lượng nguyên tử
Chính sách phát triển, ứng dụng năng lượng nguyên tử
(Ngày Nay) - Chính phủ ban hành Nghị định số 331/2025/NĐ-CP quy định chi tiết một số điều và biện pháp thi hành Luật Năng lượng nguyên tử về phát triển, ứng dụng năng lượng nguyên tử. Trong đó, Nghị định nêu rõ một số chính sách đầu tư, phát triển nguồn nhân lực lĩnh vực năng lượng nguyên tử.
Tháo gỡ vướng mắc trong tổ chức thi hành Luật Đất đai
Tháo gỡ vướng mắc trong tổ chức thi hành Luật Đất đai
(Ngày Nay) - Chủ tịch Quốc hội Trần Thanh Mẫn đã ký chứng thực Nghị quyết số 254/2025/QH15 quy định một số cơ chế, chính sách tháo gỡ khó khăn, vướng mắc trong tổ chức thi hành Luật Đất đai. Nghị quyết bổ sung trường hợp Nhà nước thu hồi đất vì mục đích quốc phòng, an ninh làm cơ sở cai nghiện ma túy do lực lượng vũ trang nhân dân quản lý.
Đại uý, ThS Lê Tuấn Anh (ở giữa) cùng các học viên tại Trường Sĩ quan Lục. (Ảnh: Phương Anh)
Sáng tạo trong giáo dục quân đội: Tương lai của thế hệ chiến sĩ trẻ
(Ngày Nay) - Sáng tạo trong giáo dục quân đội là chìa khóa nâng cao chất lượng đào tạo, đáp ứng yêu cầu nhiệm vụ trong tình hình mới. Từ đổi mới phương pháp giảng dạy đến ứng dụng công nghệ, các cơ sở đào tạo đang từng bước khẳng định sự đổi mới toàn diện để tạo ra thế hệ chiến sĩ trẻ vừa “hồng”, vừa “chuyên”.
Siết chặt kinh doanh pháo hoa dịp cuối năm
Siết chặt kinh doanh pháo hoa dịp cuối năm
(Ngày Nay) - Sáng 24/12, Phòng Cảnh sát quản lý hành chính về trật tự xã hội (Công an thành phố Hà Nội) tổ chức tuyên truyền, phổ biến kiến thức pháp luật đối với các cơ sở kinh doanh pháo hoa của Bộ Quốc phòng trên địa bàn. Đây là chương trình nằm trong kế hoạch cao điểm tuyên truyền, vận động, thu hồi và phòng ngừa vi phạm pháp luật về vũ khí, vật liệu nổ, công cụ hỗ trợ và pháo, góp phần bảo đảm an ninh, trật tự dịp Tết Dương lịch và Tết Nguyên đán 2026.
Người gieo chữ bằng yêu thương ở làng Hữu Nghị
Người gieo chữ bằng yêu thương ở làng Hữu Nghị
(Ngày Nay) - Làng Hữu nghị Việt Nam được biết đến là nơi cưu mang những nạn nhân chất độc da cam. Ở đó, suốt 13 năm qua, cô giáo Nguyễn Thị Loan đã kiên nhẫn gieo từng con chữ, từng kỹ năng sống và từng niềm hy vọng cho những đứa trẻ mang nhiều khiếm khuyết nhưng luôn khao khát được lớn lên như bao người khác.
Khoảng trống nhận thức về HPV ở nam giới
Khoảng trống nhận thức về HPV ở nam giới
(Ngày Nay) - Từ năm 2026, Chính phủ chính thức đưa vắc xin HPV vào chương trình Tiêm chủng mở rộng quốc gia. Trong bối cảnh đó, việc phòng ngừa các bệnh do virus HPV gây ra không chỉ là câu chuyện của nữ giới còn là mối quan tâm chung của cả cộng đồng. Tuy nhiên, trên thực tế, nam giới - nhóm đối tượng cũng chịu nhiều nguy cơ từ HPV - vẫn đang đứng ngoài các chiến lược truyền thông và phòng bệnh.