Sử dụng AI để phân tích khối u não ác tính

0:00 / 0:00
0:00
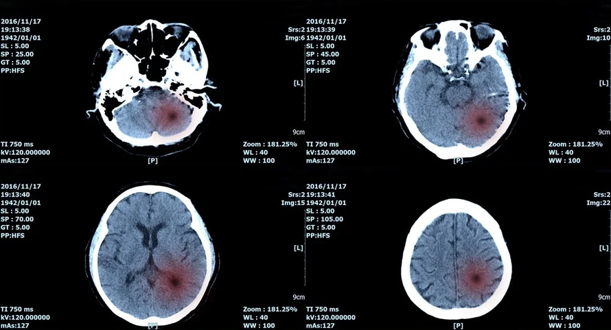
(Ngày Nay) -Ngày 28/2, Fujifilm và Trung tâm Ung thư quốc gia Nhật Bản công bố đã phát triển hệ thống trí tuệ nhân tạo (AI) có thể kiểm tra các khu vực nghi ngờ có khối u não ác tính từ hình ảnh chụp cộng hưởng từ - MRI.
Sử dụng AI để phân tích khối u não ác tính

Hệ thống được giới thiệu có khả năng cung cấp thông tin chính xác về kích thước của khối u giúp tăng hiệu quả điều trị.

Cụ thể, các nhà khoa học đã phát triển hệ thống AI chuyên biệt để phát hiện các khối u não ác tính, thường gọi là u thần kinh đệm (glioma). Đây là một loại ung thư hiếm gặp với số ít bệnh nhân và khi khối u phát triển có thể gây ra nhiều triệu chứng khác nhau, bao gồm đau đầu, buồn nôn và suy giảm ngôn ngữ.

Phương pháp điều trị điển hình cho căn bệnh này bao gồm chụp ảnh não MRI, thực hiện phẫu thuật để loại bỏ khối u, sau đó xạ trị và hóa trị. Hiện nay, việc sử dụng AI để quan sát các khối u ngày càng phổ biến nhưng do số lượng bệnh nhân mắc u thần kinh đệm ít nên dữ liệu lâm sàng khan hiếm và cho đến nay vẫn chưa có AI chuyên biệt để phân tích.

Hệ thống AI mới do Fujifilm và Trung tâm Ung thư quốc gia Nhật Bản hợp tác phát triển có thể xác định chính xác diện tích và kích thước của khối u thần kinh đệm, từ đó đưa ra phác đồ điều trị tối ưu cho bệnh nhân. Fujifilm đặt mục tiêu sẽ sớm cho ra mắt các sản phẩm được trang bị công nghệ AI phát triển chung này.

WHO tự hào là đối tác của Chính phủ Việt Nam
WHO tự hào là đối tác của Chính phủ Việt Nam
(Ngày Nay) - Trong báo cáo đăng tải trên trang chủ, Tổ chức Y tế thế giới (WHO) mới đây nhận định rằng, trong khuôn khổ chương trình cải cách rộng lớn trong năm 2025, Chính phủ Việt Nam đã đưa ra cam kết mạnh mẽ cho những thay đổi trong lĩnh vực y tế và đề ra những tham vọng táo bạo cho ngành y tế.
Thủ tướng Phạm Minh Chính với học sinh Trường phổ thông vùng cao Việt Bắc, Thái Nguyên. Ảnh: Dương Giang/TTXVN.
Thủ tướng: Xây dựng trường học khu vực miền núi, đồng bào dân tộc để gieo chữ, giữ nước
(Ngày Nay) - Ngày 11/1, tại tỉnh Thái Nguyên, Thủ tướng Chính phủ Phạm Minh Chính dự Lễ khởi công dự án đầu tư cơ sở vật chất cho Trường phổ thông vùng cao Việt Bắc và các trường dự bị đại học thuộc Bộ Dân tộc và Tôn giáo – những công trình chào mừng Đại hội Đảng toàn quốc lần thứ XIV.
VREF 2026: “Định hình chuẩn mực để thị trường BĐS phát triển bền vững”
VREF 2026: “Định hình chuẩn mực để thị trường BĐS phát triển bền vững”
(Ngày Nay) -Tại Diễn đàn Thị trường Bất động sản Việt Nam 2026 - VREF 2026 với chủ đề: “Định hình chuẩn mực để thị trường BĐS phát triển bền vững”, VARS khẳng định: thị trường BĐS Việt Nam đã khép lại năm 2025 với nhiều tín hiệu tích cực, thể hiện qua sự cải thiện rõ nét cả về nguồn cung lẫn thanh khoản.
Liên kết giáo dục tại TP.HCM - Bài 7: Trường ĐH KHXH&NV “treo chứng chỉ, cấp cái gì?”
Liên kết giáo dục tại TP.HCM - Bài 7: Trường ĐH KHXH&NV “treo chứng chỉ, cấp cái gì?”
(Ngày Nay) - Trường Đại học Khoa học Xã hội và Nhân văn TP.HCM thời gian qua mở nhiều khoá học bồi dưỡng Phương pháp giảng dạy STEAM, Giá trị sống - Kỹ năng sống cho giáo viên các trường phổ thông, kèm lời giới thiệu sẽ cấp Chứng chỉ cho người học nếu hoàn thành tối thiểu 80% - 90% thời lượng.
NSƯT Lê Trung Thảo đảm nhận vai trò “3 trong 1” khi là tác giả, đạo diễn và diễn viên chính của vở diễn - Ảnh: Minh Khang
Lòng tự tôn dân tộc trong vở cải lương "Lưu vong - Khí tiết một trung thần"
(Ngày Nay) -Tối 10/1, Đoàn 1 Nhà hát Cải lương Trần Hữu Trang và NSƯT Lê Trung Thảo tái diễn vở cải lương lịch sử "Lưu vong - Khí tiết một trung thần" - tác phẩm mà Trung Thảo đảm nhận cả 3 vai trò tác giả - đạo diễn - diễn viên chính, từng gây ấn tượng tại Liên hoan Cải lương toàn quốc 2024 ở Cần Thơ.