Tăm dài 5cm đâm thủng thành ruột của thanh niên 18 tuổi

 Nam thanh niên ở Mỹ không may nuốt phải chiếc tăm và không hề hay biết chuyện cho đến khi xuất hiện triệu chứng đau bụng, sốt, buồn nôn và tiêu chảy.

Nam vận động viên thể thao chuyên nghiệp 18 tuổi, đến từ Boston, Mỹ gặp nguy hiểm vì chiếc tăm nằm trong hệ tiêu hoá mà anh không hề hay biết.

Sự việc xảy ra khi anh đang du đấu tại các bang miền Đông Nam nước Mỹ thì xuất hiện triệu chứng đau bụng, sốt, buồn nôn và tiêu chảy. Sau 3 lần vào viện, dù được các bác sĩ xét nghiệm máu và chụp CT nhưng họ không tìm ra được nguyên nhân.

Chỉ khi quay trở lại Boston và thăm khám tại một bệnh viện gần nơi anh sinh sống, kết quả ban đầu cho thấy anh bị nhiễm vi khuẩn trong máu.

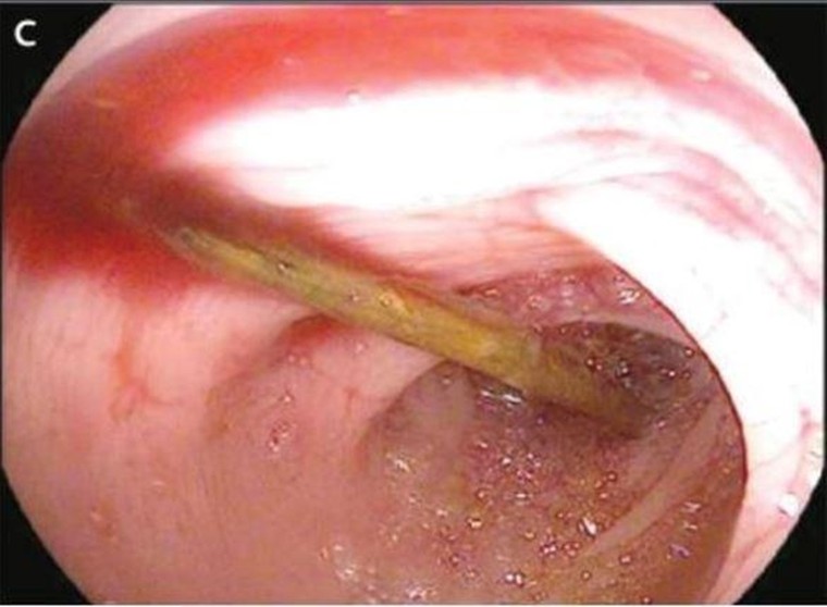
Tăm dài 5cm đâm thủng thành ruột của thanh niên 18 tuổi ảnh 1

 Hình ảnh nội soi chiếc tăm trong ruột già bệnh nhân. (Ảnh: The Sun)

“Sau khi xét nghiệm và nội soi cho tôi, các bác sĩ bất ngờ khi phát hiện dị vật là chiếc tăm dài 5cm đang đâm thủng hai thành ruột già của tôi. Chiếc tăm cũng làm tổn thương động mạch của tôi. Có thể, chiếc tăm đã lẫn vào thức ăn trong một lần tôi ăn bánh Sandwich", nam thanh niên nói.

Các bác sĩ đã phẫu thuật khẩn cấp để cầm máu và nội soi loại bỏ dị vật ra khỏi đường tiêu hóa cho chàng trai trên.

Do tình trạng bệnh khá nặng nên để điều trị dứt điểm, anh vẫn phải nằm viện theo dõi khoảng 10 ngày và uống thuốc kháng sinh kéo dài trong một tháng để chữa bệnh nhiễm trùng máu.

“Tôi đã mất rất nhiều thời gian để phục hồi và lấy lại vóc dáng trước khi tiếp tục thi đấu. Đó thực sự là một cơn ác mộng”, chàng trai niên kể lại.

Theo VTC News
Tiếp tục sáng tạo, thực hiện cam kết của Thành phố Sáng tạo UNESCO
Tiếp tục sáng tạo, thực hiện cam kết của Thành phố Sáng tạo UNESCO
(Ngày Nay) - Tối 31/1 tại phường Xuân Hương- Đà Lạt (Lâm Đồng), Không gian Sáng tạo Phố Bên Đồi (Công ty TNHH Nghệ thuật Số Bảy) ra mắt Dự án âm nhạc Phố Bên Đồi (Phố Bên Đồi Music Project) và khai mạc chương trình biểu diễn âm nhạc cộng đồng. Đây là hoạt động thực hiện các cam kết quốc tế khi Đà Lạt (cũ) khi gia nhập Mạng lưới Thành phố Sáng tạo UNESCO (UCCN) ở lĩnh vực Âm nhạc vào năm 2023.
Thủ tướng Phạm Minh Chính: Xem xét cả 3 phương thức công tư với Dự án đường sắt tốc độ cao trên trục Bắc – Nam
Thủ tướng Phạm Minh Chính: Xem xét cả 3 phương thức công tư với Dự án đường sắt tốc độ cao trên trục Bắc – Nam
(Ngày Nay) - Chiều 31/1, tại Trụ sở Chính phủ, Thủ tướng Phạm Minh Chính, Trưởng ban Chỉ đạo các công trình trọng điểm, dự án quan trọng quốc gia lĩnh vực đường sắt chủ trì phiên họp thứ 6 của Ban Chỉ đạo; trực tuyến với 18 tỉnh, thành phố có các dự án đường sắt đi qua.
Cận cảnh phòng học “5 sao” tại trường liên cấp chuẩn quốc tế đầu tiên vùng biên giới Điện Biên
Cận cảnh phòng học “5 sao” tại trường liên cấp chuẩn quốc tế đầu tiên vùng biên giới Điện Biên
(Ngày Nay) - Bên cạnh các môn văn hóa cơ bản, học sinh vùng biên giới Si Pa Phìn (Điện Biên) sẽ được tiếp cận chương trình giáo dục toàn diện Đức – Trí – Thể – Mỹ…tại ngôi trường khang trang chuẩn 5 sao khánh thành ngày 31/1/2026. Ngôi trường được xây dựng thần tốc trong hơn 5 tháng bởi liên danh Tập đoàn Sun Group và Công ty Thương mại và Xây dựng số 6.
Ảnh minh hoạ.
TP HCM: Rà soát dữ liệu học sinh phục vụ tuyển sinh đầu cấp trực tuyến
(Ngày Nay) - Triển khai công tác tuyển sinh các lớp đầu cấp theo hình thức trực tuyến tại Thành phố Hồ Chí Minh, từ ngày 3/2-3/3, phụ huynh có con chuẩn bị vào lớp 1 và lớp 6 truy cập hệ thống tuyển sinh đầu cấp tại địa chỉ https://tuyensinhdaucap.hcm.edu.vn để kiểm tra và xác nhận thông tin học sinh.
Tổng Bí thư Tô Lâm trao Quyết định của Bộ Chính trị cho các đồng chí Lê Minh Trí (bên trái) và Đoàn Minh Huấn (bên phải). Ảnh: Thống Nhất/TTXVN.
Bộ Chính trị quyết định phân công, bổ nhiệm cán bộ
(Ngày Nay) - Tổng Bí thư Tô Lâm trao Quyết định của Bộ Chính trị phân công, bổ nhiệm ông Lê Minh Trí giữ chức Trưởng Ban Nội chính Trung ương và ông Đoàn Minh Huấn giữ chức Giám đốc Học viện Chính trị Quốc gia Hồ Chí Minh.
Học sinh TP Hồ Chí Minh trong một buổi tư vấn hướng nghiệp.
Chuyển đổi giáo dục nghề nghiệp đáp ứng nhu cầu nhân lực TP HCM
(Ngày Nay) - TP Hồ Chí Minh đặt mục tiêu đến cuối năm 2026 nâng tỷ lệ lao động trình độ cao đẳng, đại học và tăng mạnh người học các ngành khoa học, kỹ thuật, công nghệ. Điều này đặt ra yêu cầu cấp thiết phải tái cấu trúc hệ thống giáo dục nghề nghiệp, gắn đào tạo với chuyển đổi số, kinh tế tri thức và nhu cầu thực tế của thị trường lao động.
Apple sẽ ưu tiên ra mắt các mẫu iPhone cao cấp trong năm 2026
Apple sẽ ưu tiên ra mắt các mẫu iPhone cao cấp trong năm 2026
(Ngày Nay) - Theo Nikkei Asia, Apple đang ưu tiên sản xuất và xuất xưởng 3 mẫu iPhone cao cấp nhất trong dòng iPhone mới năm 2026, đồng thời trì hoãn việc xuất xưởng mẫu tiêu chuẩn, trong bối cảnh hãng điều chỉnh chiến lược tiếp thị và đối mặt với những khó khăn trong chuỗi cung ứng.