Nhập viện vì sán lá gan sinh sôi khắp cơ thể

(Ngày Nay) - Thường xuyên đau, mệt mỏi, bà Đ. (trú huyện Anh Sơn, Nghệ An) thăm khám thì bàng hoàng phát hiện sán lá gan sinh sôi khắp nơi trên cơ thể.

Ngày 22/3, thông tin từ Bệnh viện Quốc tế Vinh (tỉnh Nghệ An) cho biết đơn vị này vừa phát hiện một trường hợp người dân bị nhiễm sán lá gan lớn. Bệnh nhân là bà P.T.Đ. (55 tuổi, trú huyện Anh Sơn, Nghệ An).

Theo nguồn tin đăng tải trên báo Vietnamnet, trước đó, bà Đ. thường xuyên bị mệt mỏi, đầy bụng, đau đầu, đau ở vùng ngực và thắt lưng. Nghĩ mình bị bệnh cảm nên bà tự mua thuốc về tự điều trị nhưng dấu hiệu đau nhức không hề thuyên giảm.

Ngày 19/3, bà Đ. được gia đình đưa đến Bệnh viện Quốc tế Vinh thăm khám. Qua thăm khám, xét nghiệm, siêu âm, chụp X-quang, các bác sĩ kết luận bệnh nhân bị mắc bệnh sán lá gan sinh sống trong cơ thể đã nhiều năm, đang sinh sôi, lan ra trong nhiều bộ phận cơ thể, báo Người Lao Động đưa tin.

Hiện bệnh nhân được kê thuốc và hướng dẫn lên bệnh viện tuyến trên để theo dõi, điều trị tiếp.

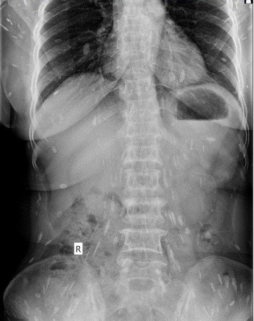
Nhập viện vì sán lá gan sinh sôi khắp cơ thể ảnh 1

Hình ảnh sán lá gan lớn khắp cơ thể bệnh nhân Đ. - Ảnh: Bệnh viện cung cấp

Trao đổi với Zing.vn, BSCKI Trần Thị Bích Lan cho biết những tác nhân gây bệnh sán lá gan lớn thường là từ động vật ăn cỏ, hoặc cũng có thể bị lây truyền qua trung gian là một số loài ốc nước ngọt (ốc họ Lymnaea).

Người nhiễm bệnh do ăn sống các loại rau mọc dưới nước (rau ngổ, rau nhút, rau cần…) hoặc uống nước lã có nhiễm ấu trùng sán. Ấu trùng vào dạ dày đến ruột, gan sán trưởng thành, ký sinh tại gan nhiều năm, đẻ trứng theo phân ra ngoài, xuống nước, xuống nước nở thành ấu trùng lông, sau đó phát triển thành một loại ốc thuộc họ Lymnaea, rồi thành ấu trùng đuôi, và thành nang trùng. Nang trùng bám vào các loại rau thủy sinh và bơi trong nước, người ăn uống phải sẽ mắc bệnh sán lá gan lớn.

Để phòng ngừa nguy cơ sán trú ngụ trong cơ thể, bác sĩ Lan cho biết người dân không nên ăn cá và ốc chưa nấu chín dưới mọi hình thức, không ăn rau sống mọc dưới nước, không uống nước lã, không dùng phân người nuôi cá và không phóng uế xuống các nguồn nước.

Đặc biệt, khi có các triệu chứng nêu trên, bệnh nhân nên đi khám và điều trị kịp thời, tránh các trường hợp đáng tiếc xảy ra.

TIN LIÊN QUAN
Bầu cử Quốc hội và HĐND: Trụ cột thúc đẩy phát triển và hội nhập quốc tế
Bầu cử Quốc hội và HĐND: Trụ cột thúc đẩy phát triển và hội nhập quốc tế
(Ngày Nay) - Ngay trước thềm Ngày hội bầu cử đại biểu Quốc hội khóa XVI và đại biểu Hội đồng nhân dân (HĐND) các cấp nhiệm kỳ 2026-2031, ông Dammika Patabendi, Bộ trưởng Môi trường Sri Lanka đồng thời là Chủ tịch Hội Nghị sĩ Hữu nghị Sri Lanka-Việt Nam đã chia sẻ về những thành tựu phát triển của Việt Nam trong nhiệm kỳ vừa qua cũng như ý nghĩa của cuộc bầu cử sắp tới.
Thủ tướng Phạm Minh Chính chủ trì cuộc làm việc của Thường trực Chính phủ với lãnh đạo thành phố Hà Nội về Quy hoạch tổng thể Thủ đô Hà Nội tầm nhìn 100 năm. Ảnh: Dương Giang
Thủ tướng: Quy hoạch Thủ đô Hà Nội tầm nhìn 100 năm phải lấy con người làm trung tâm
(Ngày Nay) - Chiều 14/3, tại Trụ sở Chính phủ, thực hiện chỉ đạo của Bộ Chính trị, Ban Bí thư, Thủ tướng Phạm Minh Chính chủ trì cuộc làm việc của Thường trực Chính phủ với lãnh đạo thành phố Hà Nội, tiếp tục cho ý kiến, góp ý về Quy hoạch tổng thể Thủ đô Hà Nội tầm nhìn 100 năm.
Học giả Trung Quốc: Hoạt động của Quốc hội Việt Nam cởi mở, minh bạch và hiệu quả
Học giả Trung Quốc: Hoạt động của Quốc hội Việt Nam cởi mở, minh bạch và hiệu quả
(Ngày Nay) - Cuộc bầu cử đại biểu Quốc hội khóa XVI và Hội đồng nhân dân (HĐND) các cấp nhiệm kỳ 2026-2031, được tổ chức trong bối cảnh Đại hội đại biểu toàn quốc lần thứ XIV (Đại hội XIV) của Đảng Cộng sản Việt Nam vừa diễn ra thành công tốt đẹp, nhằm thực hiện các mục tiêu phát triển trong tương lai do Đại hội XIV đề ra. Điều này bao gồm việc lồng ghép các mục tiêu đó vào các kế hoạch 5 năm và cả các chương trình phát triển kinh tế - xã hội dài hạn.
MIK Group khởi công dự án hơn 5 ha tại Bắc Ninh
MIK Group khởi công dự án hơn 5 ha tại Bắc Ninh
(Ngày Nay) - Ngày 14/3/2026, MIK Group tổ chức Lễ khởi công Dự án Khu dân cư kết hợp Thương mại Dịch vụ và Nhà ở cao tầng II-HH11 thuộc phân khu số 2, thành phố Bắc Giang tại phường Tân Tiến (Bắc Ninh). Đây là lần đầu tiên Tập đoàn hiện diện tại thị trường Bắc Ninh, đánh dấu bước tiến mới trong chiến lược mở rộng hệ sinh thái bất động sản tại khu vực công nghiệp giáp Đông Bắc Thủ đô.
Thủ tướng Chính phủ Phạm Minh Chính tiếp Đại sứ Thái Lan tại Việt Nam
Thủ tướng Chính phủ Phạm Minh Chính tiếp Đại sứ Thái Lan tại Việt Nam
(Ngày Nay) - Chiều 13/3, tại Trụ sở Chính phủ, Thủ tướng Chính phủ Phạm Minh Chính đã tiếp Bà Urawadee Sriphiromaya, Đại sứ Vương quốc Thái Lan tại Việt Nam trao đổi về các biện pháp thúc đẩy quan hệ Đối tác Chiến lược toàn diện Việt Nam - Thái Lan cũng như hợp tác nhằm bảo đảm an ninh năng lượng hai nước.
Thái Lan củng cố vị thế là trung tâm dịch vụ lưu trú, ăn uống và giải trí hàng đầu châu Á
Thái Lan củng cố vị thế là trung tâm dịch vụ lưu trú, ăn uống và giải trí hàng đầu châu Á
(Ngày Nay) - Từ ngày 11-13/3 , triển lãm thương mại toàn diện nhất châu Á dành cho ngành khách sạn, dịch vụ ăn uống và nhà hàng, THAIFEX-HORECASIA 2026, đã diễn ra tại Trung tâm tổ chức sự kiện IMPACT Muang Thong Thani, Thái Lan, thu hút hút hơn 20.000 lượt khách tham quan thương mại, người mua và chuyên gia kinh doanh từ khắp thế giới, đồng thời tạo ra giá trị thương mại hơn 3,5 tỷ baht (khoảng 110 triệu USD).