NgayNay.vn
Đăng nhập
  • Trang chủ
  • Special Today
  • Văn hoá
  • Giáo dục
  • Khoa học

    Khoa học

    • Môi trường
    • Công nghệ
  • Di sản
  • Sức khỏe

    Sức khỏe

    • Sống an toàn
    • Dinh dưỡng
    • Thuốc hay
  • Tầm nhìn UNESCO
  • Du lịch

    Du lịch

    • Điểm đến
    • Trải nghiệm
    • Khách sạn
    • Ẩm thực
    • Phương tiện
  • Đất nước - Con người
  • Thế giới

    Thế giới

    • Bình luận
    • Hồ sơ
  • Văn hóa Doanh nghiệp
  • Không gian sống
  • Phát triển bền vững

    Phát triển bền vững

    • Chuyển đổi số
    • Kinh tế xanh
    • CSR
  • Xu hướng

    Xu hướng

    • Làm đẹp
    • Thời trang
    • Tiêu dùng
    • Giải trí
    • Thể thao
    • Talk & See
    • Trending
  • Phật giáo
  • Xe và Công nghệ
  • E-PAPER
  • News Game
  • Longform
  • Tag "chảy máu dưới nhện"

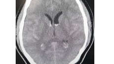
Hình ảnh phim chụp xuất huyết dưới nhện lan tỏa - tụ máu não thất. (Ảnh: Nhân Dân)
Cứu sống bệnh nhân người Hàn Quốc bị chảy máu dưới nhện nguy kịch
01/03/2021 19:40
(Ngày Nay) -  Nhờ phối hợp nhịp nhàng, hiệu quả nhiều chuyên khoa, các bác sĩ Bệnh viện Bạch Mai đã cứu sống bệnh nhân Bae Hyo Nam bị chảy máu dưới nhện thể nặng.

Đọc nhiều

Lemon Gallery Studio ra mắt: Không gian mới cho cộng đồng họa sĩ minh họa Việt Nam
Lemon Gallery Studio ra mắt: Không gian mới cho cộng đồng họa sĩ minh họa Việt Nam
200 lương y, thầy thuốc và các khách mời chụp ảnh kỉ niệm
Gặp mặt 200 thầy thuốc, lương y nhân kỉ niệm 71 năm Ngày Thầy thuốc Việt Nam
Một số cảnh diễn ấn tượng trong vở “Đức Thượng công Tả quân Lê Văn Duyệt – Người mang chín án tử” do Hoàng Duẩn đạo diễn. Ảnh: Tấn Thành – Bích Duyên
Trò chuyện đầu Xuân với “nghệ sĩ chịu học” - đạo diễn Hoàng Duẩn
Ca sĩ Khánh Ly cùng Trịnh Vĩnh Trinh - em gái nhạc sĩ Trịnh Công Sơn trước mộ nhạc sĩ Trịnh Công Sơn sáng 23/2 - Ảnh: Trung Nghĩa
Danh ca Khánh Ly viếng mộ nhạc sĩ Trịnh Công Sơn: “Yêu anh mãi mãi”
Mỹ-Israel tấn công Iran có thể dẫn tới kết quả trái mong đợi
Mỹ-Israel tấn công Iran có thể dẫn tới kết quả trái mong đợi

Đối thoại

Vẻ đẹp của khoa học nhân văn
Vẻ đẹp của khoa học nhân văn
Lưu Nguyệt Linh
Đi tìm “tòa thành nhất dạ” của điện ảnh Việt
Đi tìm “tòa thành nhất dạ” của điện ảnh Việt
Lưu Nguyệt Linh
Dòng suối Lê-nin trong vắt dưới ánh nắng
Theo dấu chân Người về Pác Bó: Về cội nguồn của Cách mạng
Hoàng Anh - Xuân Đức
Bà Hoàng Thị Hường (còn gọi Hoàng Hường, 38 tuổi) vừa bị Cơ quan Cảnh sát điều tra, Bộ Công an khởi tố ngày 3/10.
Niềm tin công chính
Phạm Gia Hiền
Luật Dữ liệu góp phần phục vụ công cuộc chuyển đổi số quốc gia, xây dựng Chính phủ điện tử, Chính phủ số, kinh tế số, xã hội số
Luật Dữ liệu 2024: Hoàn thiện quản lý nhà nước, thúc đẩy chính phủ số và kinh tế số

Longform

Phát biểu của Tổng Bí thư Tô Lâm tại Lễ đón nhận Danh hiệu Anh hùng Lực lượng Vũ trang Nhân dân của Quân chủng Hải quân
Phát biểu của Tổng Bí thư Tô Lâm tại Lễ đón nhận Danh hiệu Anh hùng Lực lượng Vũ trang Nhân dân của Quân chủng Hải quân
28/02/2026 18:24
Toàn văn phát biểu của Tổng Bí thư Tô Lâm tại Bệnh viện Hữu Nghị
Toàn văn phát biểu của Tổng Bí thư Tô Lâm tại Bệnh viện Hữu Nghị
28/02/2026 06:37
Khởi Thủy là Gốm!
Khởi Thủy là Gốm!
25/02/2026 13:01
Phát biểu của Tổng Bí thư Tô Lâm tại Hội nghị Toàn quốc triển khai Nghị quyết số 79, 80
Phát biểu của Tổng Bí thư Tô Lâm tại Hội nghị Toàn quốc triển khai Nghị quyết số 79, 80
25/02/2026 14:16
11 năm đánh thức “hồn” Tết Việt
11 năm đánh thức “hồn” Tết Việt
22/02/2026 15:19
Tạp chí điện tử của Liên hiệp các Hội UNESCO Việt Nam

Chủ tịch HĐBT: Nguyễn Xuân Thắng

Phó Chủ tịch HĐBT: Nguyễn Hùng Sơn

Tổng Biên tập: Trần Văn Mạnh

Phó Tổng Biên tập: Phạm Hữu Quang, Lê Thị Lương, Nguyễn Lệ Hằng

Giấy phép hoạt động báo chí số 160/GP-BTTTT cấp ngày 11/6/2024

Tòa soạn: Phòng 201 + 202, Nhà B5, Khu Ngoại giao đoàn 298 Kim Mã, Ba Đình, Hà Nội

Văn phòng đại diện tại TP.HCM: Lầu 2-3, 58 Nguyễn Bỉnh Khiêm, phường Đa Kao, Quận 1

Hotline: 096.234.1234          Email: toasoan@ngaynay.vn