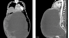
(Ngày Nay) - Khi phát hiện người bệnh bị viêm phúc mạc ruột thừa, các bác sĩ còn phát hiện người bệnh có phủ tạng đảo ngược hoàn toàn, trái tim và dạ dày nằm bên phải, còn gan và ruột thừa lại nằm bên trái.
(Ngày Nay) - Nếu như chỉ dựa trên các kết quả xét nghiệm dịch mũi và họng để xác định đã khỏi bệnh COVID-19 hay chưa, thì có lẽ chúng ta đã thiếu sót lớn. Các nhà khoa học tại trường Stanford Medicine (Mỹ) đã tiến hành một nghiên cứu và rút ra kết luận rằng chất thải từ những người mắc COVID-19 vẫn có thể chứa vật chất di truyền của virus SARS-CoV-2 đến 7 tháng sau lần đầu được chẩn đoán mắc bệnh. Những người này thường có các triệu chứng tiêu hóa kéo dài như buồn nôn, nôn mửa và đau bụng.
(Ngày Nay) -Sau khi uống những chai nước được phát miễn phí ở cổng trường, hàng loạt học sinh có hiện tượng đau bụng, buồn nôn phải vào trạm y tế thăm khám.
Bác sĩ Nguyễn Đình Liên, khoa Ngoại - Tiết niệu, Bệnh viện ĐH Y Hà Nội, cho hay nữ bệnh nhân trẻ tuổi vừa được mổ cấp cứu, cắt bỏ một phần buồng trứng bị hoại tử.
(Ngày Nay) - Mặc dù cụ bà được phát hiện bị u buồng trứng cách nay 7- 8 năm, nhưng sức khỏe không cho phép để thực hiện khối u. Đến lúc tiến hành phẫu thuật, khối u đã nặng 30kg.
6 trẻ là anh chị em họ hàng trong một gia đình ở huyện Chương Mỹ (Hà Nội), trên đường đi học về nhặt được lọ chứa dung dịch màu đỏ nên chia nhau uống thử, sau đó các em bị ngộ độc nặng phải nhập viện cấp cứu.
(Ngày Nay) - Bé có biểu hiện đau tinh hoàn trái và bụng dưới nhưng gia đình không đưa đi khám kịp thời. Lúc đến bệnh viện thì tinh hoàn bệnh nhi đã hoại tử, tím đen.
(Ngày Nay) - Lần đầu tiên các bác sĩ tại Bệnh viện Quận 11 TP.HCM thực hiện phẫu thuật điều trị cho bệnh nhân sinh năm 1981 bị u đầu tụy gây vàng da, sụt cân, đau bụng...
Đau bụng mạn có nhiều nguyên nhân khác nhau thể hiện bằng nhiều hình thái khác nhau như đau bụng do lạnh, đau bụng do lạnh hay nôn, chân tay phù, đau bụng do viêm dạ dày, đau bụng do tỳ vị hư hàn...
Rắn Mamba Đen được coi là 'cơn ác mộng của người dân châu Phi' vì rất nhiều người chết vì bị chúng cắn. Nọc độc gây tê liệt vào mạch máu của nạn nhân, chủ yếu gây độc cho thần kinh nhưng cũng làm cho cơ tim ngừng hoạt động sau khi cắn 30 phút.
Nếu các khối u phát triển có thể đe dọa sức khỏe, thậm chí tính mạng của chị em. Tuy nhiên, nếu được điều trị sớm sẽ ngăn chặn được nguy cơ khối u phát triển lớn.