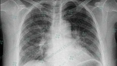
Người trẻ thường chủ quan với bệnh nhồi máu cơ tim nên càng dễ ảnh hưởng nghiêm trọng đến tính mạng. Ảnh: BV
Ngày càng nhiều người trẻ bị nhồi máu cơ tim
Trước đây, bệnh nhồi máu cơ tim thường xuất hiện ở những người cao tuổi mắc nhiều bệnh mạn tính. Tuy nhiên, những năm gần đây số người trẻ nhập viện cấp cứu vì căn bệnh này có xu hướng tăng nhanh.
NSND Thế Anh
NSND Thế Anh qua đời ở tuổi 81
(Ngày Nay) - NSND Thế Anh đã qua đời vào 5h30 sáng ngày 29/9 tại Bệnh viện Thống Nhất (TP.HCM) sau cơn nhồi máu cơ tim, hưởng thọ 81 tuổi.