Suýt cứng khớp tay chân do nằm bất động 6 tháng trị cột sống

 Sáng 17/8, bác sĩ (BS) Huỳnh Thị Tố Khanh, khoa Cơ xương khớp Bệnh viện (BV) Nhân dân 115 TP.HCM, cho biết BV vừa điều trị thành công viêm cột sống dính khớp cho bệnh nhân trẻ tuổi.

Trước đó, BV tiếp một bệnh nhân nam 20 tuổi trong tình trạng bất động ở tư thế nằm sấp, ăn uống và vệ sinh tại chỗ kèm đau lưng, đau khớp háng hai bên.

Bệnh nhân cho biết rơi vào tình trạng đau lưng, đau lan xuống hai mông, đi lại hạn chế cách đây năm năm. Bệnh nhân đã điều trị tại một BV địa phương với chẩn đoán đau thần kinh tọa/thoát vị đĩa đệm cột sống thắt lưng.

Suýt cứng khớp tay chân do nằm bất động 6 tháng trị cột sống ảnh 1

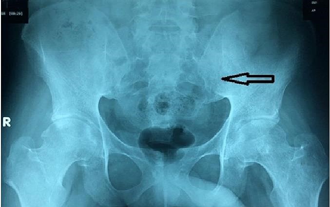
Kết quả chụp X-quang cho thấy khung chậu bệnh nhân bị tổn thương khi nhập viện. Ảnh: BV CUNG CẤP

Do điều trị không liên tục nên tình trạng bệnh không cải thiện. Sau đó, bệnh nhân chuyển sang điều trị bằng thuốc Nam nhưng cũng không khá hơn.

Hai năm sau, bệnh nhân khám tại một BV khác với chẩn đoán viêm cột sống dính khớp nhưng không cải thiện nhiều sau điều trị nên ngưng. Bệnh nhân tìm đến thầy lang địa phương và được điều trị bằng phương pháp kéo giãn tứ chi và nằm bất động suốt sáu tháng. Tuy nhiên, do tình hình không cải thiện, bệnh nhân tìm đến BV Nhân dân 115.

Chẩn đoán bệnh nhân bị viêm cột sống dính khớp, BS quyết định điều trị bằng thuốc đặc hiệu. Sau sáu tuần điều trị, bệnh nhân có thể đi lại dễ dàng.

Theo BS Tố Khanh, viêm cột sống dính khớp có các biểu hiện đau lưng, mệt mỏi, đau các khớp ngoại biên, có thể kèm rối loạn tiêu hóa. Bệnh này thường nhầm lẫn với đau lưng do vận động nặng, do sai tư thế hay đau thần kinh tọa.

“Nếu không phát hiện và điều trị sớm, viêm cột sống dính khớp sẽ gây nhiều biến chứng nặng nề. Bệnh có thể gây tàn phế, mất khả năng lao động khi bệnh nhân đang ở độ tuổi trẻ, tạo gánh nặng cho gia đình và xã hội” - BS Tố Khanh lưu ý.

“Riêng trường hợp nói trên, nếu bệnh nhân tiếp tục điều trị bằng cách kéo dãn tứ chi theo phương pháp của thầy lang sẽ dẫn đến tình trạng cứng khớp tay chân, không thể đi lại” - BS Tố Khanh cho biết.

Theo Pháp luật TP.HCM
Tiếp tục sáng tạo, thực hiện cam kết của Thành phố Sáng tạo UNESCO
Tiếp tục sáng tạo, thực hiện cam kết của Thành phố Sáng tạo UNESCO
(Ngày Nay) - Tối 31/1 tại phường Xuân Hương- Đà Lạt (Lâm Đồng), Không gian Sáng tạo Phố Bên Đồi (Công ty TNHH Nghệ thuật Số Bảy) ra mắt Dự án âm nhạc Phố Bên Đồi (Phố Bên Đồi Music Project) và khai mạc chương trình biểu diễn âm nhạc cộng đồng. Đây là hoạt động thực hiện các cam kết quốc tế khi Đà Lạt (cũ) khi gia nhập Mạng lưới Thành phố Sáng tạo UNESCO (UCCN) ở lĩnh vực Âm nhạc vào năm 2023.
Thủ tướng Phạm Minh Chính: Xem xét cả 3 phương thức công tư với Dự án đường sắt tốc độ cao trên trục Bắc – Nam
Thủ tướng Phạm Minh Chính: Xem xét cả 3 phương thức công tư với Dự án đường sắt tốc độ cao trên trục Bắc – Nam
(Ngày Nay) - Chiều 31/1, tại Trụ sở Chính phủ, Thủ tướng Phạm Minh Chính, Trưởng ban Chỉ đạo các công trình trọng điểm, dự án quan trọng quốc gia lĩnh vực đường sắt chủ trì phiên họp thứ 6 của Ban Chỉ đạo; trực tuyến với 18 tỉnh, thành phố có các dự án đường sắt đi qua.
Cận cảnh phòng học “5 sao” tại trường liên cấp chuẩn quốc tế đầu tiên vùng biên giới Điện Biên
Cận cảnh phòng học “5 sao” tại trường liên cấp chuẩn quốc tế đầu tiên vùng biên giới Điện Biên
(Ngày Nay) - Bên cạnh các môn văn hóa cơ bản, học sinh vùng biên giới Si Pa Phìn (Điện Biên) sẽ được tiếp cận chương trình giáo dục toàn diện Đức – Trí – Thể – Mỹ…tại ngôi trường khang trang chuẩn 5 sao khánh thành ngày 31/1/2026. Ngôi trường được xây dựng thần tốc trong hơn 5 tháng bởi liên danh Tập đoàn Sun Group và Công ty Thương mại và Xây dựng số 6.
Ảnh minh hoạ.
TP HCM: Rà soát dữ liệu học sinh phục vụ tuyển sinh đầu cấp trực tuyến
(Ngày Nay) - Triển khai công tác tuyển sinh các lớp đầu cấp theo hình thức trực tuyến tại Thành phố Hồ Chí Minh, từ ngày 3/2-3/3, phụ huynh có con chuẩn bị vào lớp 1 và lớp 6 truy cập hệ thống tuyển sinh đầu cấp tại địa chỉ https://tuyensinhdaucap.hcm.edu.vn để kiểm tra và xác nhận thông tin học sinh.
Tổng Bí thư Tô Lâm trao Quyết định của Bộ Chính trị cho các đồng chí Lê Minh Trí (bên trái) và Đoàn Minh Huấn (bên phải). Ảnh: Thống Nhất/TTXVN.
Bộ Chính trị quyết định phân công, bổ nhiệm cán bộ
(Ngày Nay) - Tổng Bí thư Tô Lâm trao Quyết định của Bộ Chính trị phân công, bổ nhiệm ông Lê Minh Trí giữ chức Trưởng Ban Nội chính Trung ương và ông Đoàn Minh Huấn giữ chức Giám đốc Học viện Chính trị Quốc gia Hồ Chí Minh.
Học sinh TP Hồ Chí Minh trong một buổi tư vấn hướng nghiệp.
Chuyển đổi giáo dục nghề nghiệp đáp ứng nhu cầu nhân lực TP HCM
(Ngày Nay) - TP Hồ Chí Minh đặt mục tiêu đến cuối năm 2026 nâng tỷ lệ lao động trình độ cao đẳng, đại học và tăng mạnh người học các ngành khoa học, kỹ thuật, công nghệ. Điều này đặt ra yêu cầu cấp thiết phải tái cấu trúc hệ thống giáo dục nghề nghiệp, gắn đào tạo với chuyển đổi số, kinh tế tri thức và nhu cầu thực tế của thị trường lao động.