COVID-19 có thể để lại di chứng ở não người bệnh

0:00 / 0:00
0:00
Theo nghiên cứu, “chất xám” ở thùy trán và thùy thái dương đã bị mỏng đi ở nhóm mắc COVID-19, khác với tình trạng bình thường ở nhóm không mắc COVID-19.
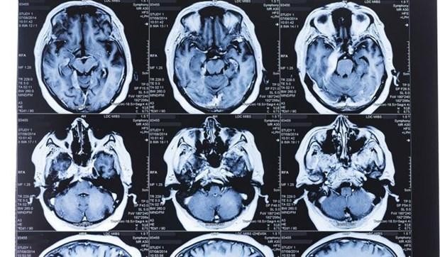
Các nhà nghiên cứu đã phát hiện sự khác biệt rõ rệt về “chất xám” giữa những người từng mắc COVID-19 và những người chưa mắc. (Nguồn: Getty Images)
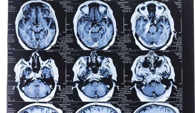
Các nhà nghiên cứu đã phát hiện sự khác biệt rõ rệt về “chất xám” giữa những người từng mắc COVID-19 và những người chưa mắc. (Nguồn: Getty Images)

Đại dịch COVID-19 đã kéo dài hơn 18 tháng qua và giới nghiên cứu khoa học đang nỗ lực tìm hiểu những tác động của virus SARS-CoV-2 đối với cơ thể của người bệnh.

Những phát hiện ban đầu đang làm dấy lên lo ngại rằng COVID-19 có thể để lại hậu quả lâu dài đối với não bộ con người.

Đây là nội dung bài viết của Phó giáo sư Jessica Bernard, chuyên gia về thần kinh và nhận thức tại Đại học Texas A&M (Mỹ), được đăng tải trên tạp chí The Conversation mới đây.

Nghiên cứu được thực hiện trên quy mô lớn trong tháng 8 đã cho thấy những kết quả ban đầu về sự thay đổi của não bộ ở các bệnh nhân COVID-19.

Các nhà nghiên cứu đã dựa trên một cơ sở dữ liệu có tên là UK Biobank, chứa dữ liệu hình ảnh não bộ của hơn 45.000 người ở Anh từ năm 2014. Điều quan trọng ở đây là họ có dữ liệu cơ bản và hình ảnh não được chụp trước khi xảy ra đại dịch.

Nhóm nghiên cứu đã phân tích cơ sở dữ liệu ban đầu, sau đó chụp lại hình ảnh não bộ của những người mắc COVID-19 và những người chưa mắc, rồi so sánh với nhau.

Việc so sánh dựa trên các tiêu chí nhóm tuổi, giới tính, ngày xét nghiệm và địa điểm nghiên cứu, đồng thời tính đến các yếu tố tác động tới bệnh như thể trạng và điều kiện kinh tế xã hội của mỗi cá nhân.

Các nhà nghiên cứu đã phát hiện sự khác biệt rõ rệt về “chất xám” - các tế bào thần kinh xử lý thông tin trong não - giữa những người từng mắc COVID-19 và những người chưa mắc.

Cụ thể, “chất xám” ở thùy trán và thùy thái dương đã bị mỏng đi ở nhóm mắc COVID-19, khác với tình trạng bình thường ở nhóm không mắc COVID-19.

Với người bình thường, sự thay đổi về khối lượng hoặc độ dày của “chất xám” cũng diễn ra theo thời gian khi con người già đi. Nhưng trong nghiên cứu này, sự biến đổi ở những người mắc COVID-19 diễn ra mạnh hơn.

Đáng lưu ý, nhóm nghiên cứu đã tách những bệnh nhân COVID-19 phải nhập viện thành một nhóm riêng và phát hiện sự thay đổi của “chất xám” cũng tương đương với những bệnh nhân thể nhẹ. Điều này cho thấy người mắc COVID-19 dù nhẹ cũng có biểu hiện não bộ suy giảm về khối lượng.

Ngoài ra, các nhà nghiên cứu cũng tìm hiểu những thay đổi về khả năng nhận thức và phát hiện những người đã mắc COVID-19 xử lý thông tin chậm hơn so với những người không mắc bệnh.

Mặc dù còn cần được nghiên cứu kỹ lưỡng và thận trọng, tuy nhiên với số lượng mẫu nghiên cứu lớn, dữ liệu trước và sau khi mắc bệnh của cùng một người và sự so sánh cẩn thận với những người chưa mắc COVID-19 đã khiến nghiên cứu sơ bộ này trở nên đặc biệt có giá trị.

Ở giai đoạn đầu của đại dịch COVID-19, các báo cáo đều cho thấy một trong những thay đổi phổ biến nhất ở các bệnh nhân là mất khứu giác.

Đáng chú ý là các vùng não mà các nhà nghiên cứu phát hiện có tác động bởi COVID-19 đều có liên quan đến “hành khứu giác” - một cấu trúc phía trước não bộ truyền tín hiệu mùi từ mũi đến các vùng não khác.

Hành khứu giác có kết nối với các vùng của thùy thái dương, là nơi đặt vùng “hồi hải mã”. Hồi hải mã có thể đóng một vai trò quan trọng trong quá trình lão hóa, do liên quan đến trí nhớ và các quá trình nhận thức.

Khứu giác cũng rất quan trọng khi nghiên cứu về bệnh Alzheimer. Một số báo cáo cho rằng người có nguy cơ mắc Alzheimer sẽ bị giảm khứu giác.

Mặc dù còn quá sớm để đưa ra bất kỳ kết luận nào về tác động lâu dài từ những thay đổi do COVID-19 tạo ra, nhưng việc nghiên cứu các mối liên hệ có thể có giữa tác động này đến trí nhớ là rất quan trọng, đặc biệt là đối với các vùng não bộ liên quan và tầm quan trọng của chúng đối với khả năng ghi nhớ của con người.

Tiếp tục sáng tạo, thực hiện cam kết của Thành phố Sáng tạo UNESCO
Tiếp tục sáng tạo, thực hiện cam kết của Thành phố Sáng tạo UNESCO
(Ngày Nay) - Tối 31/1 tại phường Xuân Hương- Đà Lạt (Lâm Đồng), Không gian Sáng tạo Phố Bên Đồi (Công ty TNHH Nghệ thuật Số Bảy) ra mắt Dự án âm nhạc Phố Bên Đồi (Phố Bên Đồi Music Project) và khai mạc chương trình biểu diễn âm nhạc cộng đồng. Đây là hoạt động thực hiện các cam kết quốc tế khi Đà Lạt (cũ) khi gia nhập Mạng lưới Thành phố Sáng tạo UNESCO (UCCN) ở lĩnh vực Âm nhạc vào năm 2023.
Thủ tướng Phạm Minh Chính: Xem xét cả 3 phương thức công tư với Dự án đường sắt tốc độ cao trên trục Bắc – Nam
Thủ tướng Phạm Minh Chính: Xem xét cả 3 phương thức công tư với Dự án đường sắt tốc độ cao trên trục Bắc – Nam
(Ngày Nay) - Chiều 31/1, tại Trụ sở Chính phủ, Thủ tướng Phạm Minh Chính, Trưởng ban Chỉ đạo các công trình trọng điểm, dự án quan trọng quốc gia lĩnh vực đường sắt chủ trì phiên họp thứ 6 của Ban Chỉ đạo; trực tuyến với 18 tỉnh, thành phố có các dự án đường sắt đi qua.
Cận cảnh phòng học “5 sao” tại trường liên cấp chuẩn quốc tế đầu tiên vùng biên giới Điện Biên
Cận cảnh phòng học “5 sao” tại trường liên cấp chuẩn quốc tế đầu tiên vùng biên giới Điện Biên
(Ngày Nay) - Bên cạnh các môn văn hóa cơ bản, học sinh vùng biên giới Si Pa Phìn (Điện Biên) sẽ được tiếp cận chương trình giáo dục toàn diện Đức – Trí – Thể – Mỹ…tại ngôi trường khang trang chuẩn 5 sao khánh thành ngày 31/1/2026. Ngôi trường được xây dựng thần tốc trong hơn 5 tháng bởi liên danh Tập đoàn Sun Group và Công ty Thương mại và Xây dựng số 6.
Ảnh minh hoạ.
TP HCM: Rà soát dữ liệu học sinh phục vụ tuyển sinh đầu cấp trực tuyến
(Ngày Nay) - Triển khai công tác tuyển sinh các lớp đầu cấp theo hình thức trực tuyến tại Thành phố Hồ Chí Minh, từ ngày 3/2-3/3, phụ huynh có con chuẩn bị vào lớp 1 và lớp 6 truy cập hệ thống tuyển sinh đầu cấp tại địa chỉ https://tuyensinhdaucap.hcm.edu.vn để kiểm tra và xác nhận thông tin học sinh.
Tổng Bí thư Tô Lâm trao Quyết định của Bộ Chính trị cho các đồng chí Lê Minh Trí (bên trái) và Đoàn Minh Huấn (bên phải). Ảnh: Thống Nhất/TTXVN.
Bộ Chính trị quyết định phân công, bổ nhiệm cán bộ
(Ngày Nay) - Tổng Bí thư Tô Lâm trao Quyết định của Bộ Chính trị phân công, bổ nhiệm ông Lê Minh Trí giữ chức Trưởng Ban Nội chính Trung ương và ông Đoàn Minh Huấn giữ chức Giám đốc Học viện Chính trị Quốc gia Hồ Chí Minh.
Học sinh TP Hồ Chí Minh trong một buổi tư vấn hướng nghiệp.
Chuyển đổi giáo dục nghề nghiệp đáp ứng nhu cầu nhân lực TP HCM
(Ngày Nay) - TP Hồ Chí Minh đặt mục tiêu đến cuối năm 2026 nâng tỷ lệ lao động trình độ cao đẳng, đại học và tăng mạnh người học các ngành khoa học, kỹ thuật, công nghệ. Điều này đặt ra yêu cầu cấp thiết phải tái cấu trúc hệ thống giáo dục nghề nghiệp, gắn đào tạo với chuyển đổi số, kinh tế tri thức và nhu cầu thực tế của thị trường lao động.