Ngày 28//8, giới chức bang New Hampshire đã thông báo ca tử vong mới nhất do một loại virus hiếm gặp lây truyền qua muỗi, đánh dấu ca bệnh đầu tiên ở người của tiểu bang này trong một thập kỷ và là ca nhiễm virus thứ 5 của Mỹ trong năm nay.
Virus hiếm gặp này là gì?
Loại virus này có tên chính thức là virus viêm não ngựa miền Đông (EEEV), còn được gọi là “Triple E”. Hiếm gặp nhưng gây bệnh nghiêm trọng, loại virus này lần đầu được phát hiện ở ngựa tại bang Massachusetts vào năm 1938.
Kể từ đó, đã có 118 trường hợp mắc bệnh ở người và 64 ca tử vong tại tiểu bang.
Ở người, virus tấn công hệ thần kinh trung ương và có thể gây viêm hoặc sưng não.
Virus Triple E được phát hiện ở Bắc Mỹ và vùng Caribe trong khi các trường hợp mắc bệnh ở người chủ yếu xảy ra ở các tiểu bang phía đông và Bờ Vịnh của Mỹ.
Bà Verity Hill, nhà khoa học nghiên cứu cộng tác tại Khoa Y tế Công cộng thuộc Đại học Yale, cho biết điều này có thể là do hệ sinh thái phức tạp của một số loài chim và muỗi khác nhau, vốn sống trong các đầm lầy để sinh sản.
Hơn nữa, muỗi đuôi đen – vật chủ chính mang virus – chủ yếu được tìm thấy ở miền đông nước Mỹ, Mexico và vùng Caribe.
Phương thức lây truyền
![]() |
| Một con muỗi đậu trên cánh tay. Ảnh: Getty Images |
Virus Triple E thường lưu hành ở các loài chim sống trong vùng đầm lầy. Các loài muỗi hút máu người và động vật có vú sẽ lây lan virus khi chúng đốt chim bị nhiễm bệnh rồi sau đó đốt động vật có vú khác và khiến virus nhiễm vào máu của họ.
Nhà khoa học Hill cho biết không giống như chim, người và ngựa nhiễm bệnh là “vật chủ cuối cùng”, nghĩa là họ không có đủ virus trong máu để tiếp tục truyền virus cho muỗi có thể đốt họ. Điều này có nghĩa là họ không thể truyền virus cho các loài động vật khác hoặc con người.
Các ca nhiễm virus có xu hướng không có triệu chứng ở chim nhưng lại gây tử vong ở ngựa.
Vật chủ mang mầm bệnh Triple E phổ biến nhất là muỗi đuôi đen (Culiseta melanura), trong khi những vật chủ mang mầm bệnh khác bao gồm muỗi vằn - loài truyền virus sốt xuất huyết và họ muỗi Coquillettidia.
Tại Mỹ, mùa muỗi kéo dài từ mùa hè đến mùa thu, khiến đây trở thành thời điểm đặc biệt nguy hiểm đối với các loại virus này.
Các triệu chứng nhiễm virus
Các triệu chứng ở người thường xuất hiện từ 4 đến 10 ngày sau khi nhiễm bệnh. Bao gồm sốt và ớn lạnh đột ngột, đau đầu, nôn mửa, tiêu chảy, co giật và thay đổi hành vi, ngủ gà và mất phương hướng. Trong trường hợp nghiêm trọng, não bị sưng (viêm não).
Triple E được chẩn đoán bằng cách quan sát các triệu chứng và xét nghiệm dịch não tủy hoặc máu, có thể cho biết có virus hoặc kháng thể virus hay không.
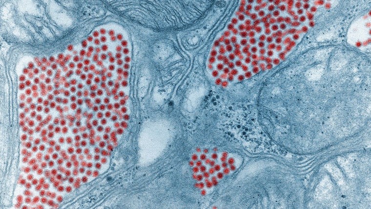
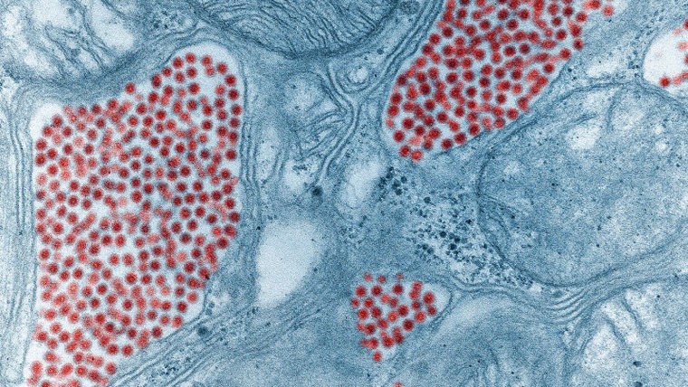
Những khu vực phát hiện ca nhiễm
![]() |
| Hình ảnh virus qua kính hiển vi điện tử. Ảnh: Public Domain/Wikipedia |
Đã có 5 trường hợp nhiễm virus Triple E ở người được xác nhận tại Mỹ vào năm 2024 – gồm các khu vực Massachusetts, New Jersey, Vermont, Wisconsin và New Hampshire.
Tại Oxford (Massachusetts), một cụ ông80 tuổi đã bị nhiễm bệnh vào giữa tháng 8, trở thành trường hợp nhiễm bệnh ở người đầu tiên tại tiểu bang này kể từ năm 2020.
Cho đến nay, ca tử vong duy nhất được báo cáo ở New Hampshire.
Mức độ phổ biến và nguy hiểm
Virus Triple E rất hiếm gặp ở người. Theo dữ liệu do Trung tâm Kiểm soát và Phòng ngừa Dịch bệnh (CDC) thu thập, từ năm 2003 đến năm 2023, đã có 196 trường hợp nhiễm virus trên khắp nước Mỹ.
Quốc gia này ghi nhận trung bình 11 trường hợp nhiễm virus mỗi năm. Đợt bùng phát lớn nhất xảy ra vào năm 2019 với 38 trường hợp và 12 ca tử vong trên toàn quốc.
Các cơ quan y tế công cộng coi đây là một bệnh nghiêm trọng vì tác động đến não và tỷ lệ tử vong là 30%.
Ngay cả khi sống sót, nhiều người bị nhiễm bệnh vẫn phải chịu các vấn đề thần kinh kéo dài.
Cách điều trị
Các cơ quan y tế công cộng cho biết phòng ngừa bệnh là rất quan trọng vì hiện không có phương pháp điều trị hoặc vaccine cụ thể nào cho con người.
Các biện pháp kiểm soát dịch bệnh bao gồm sử dụng thuốc chống côn trùng được chính phủ phê duyệt, thực hiện các chương trình kiểm soát muỗi - bao gồm phun thuốc trên không, mặc áo dài tay và quần dài vào những giờ muỗi hoạt động mạnh, lắp màn chống muỗi trên cửa sổ và cửa ra vào, thoát nước đọng xung quanh nhà, tránh các hoạt động ngoài trời vào những thời điểm muỗi hoạt động mạnh.
Điều trị tập trung vào việc kiểm soát các triệu chứng và chăm sóc hỗ trợ, chẳng hạn như kê đơn thuốc giảm đau.
Hành động của các cơ quan chức năng
Các tiểu bang đang thực hiện một số biện pháp để hạn chế virus nàu lây lan, bao gồm các mức độ phong tỏa khác nhau.
Thị trấn Plymouth ở Massachusetts đã đóng cửa các cơ sở công cộng ngoài trời từ tối đến sáng. Tiểu bang đông bắc này cũng đã kêu gọi người dân tránh các hoạt động ngoài trời trong những giờ cao điểm của muỗi.
Giới chuyên gia cảnh báo biến đổi khí hậu đang kéo dài thời gian của mùa muỗi - mùa có độ ẩm và nhiệt độ cao ở một mức độ nhất định.
Sự phổ biến của loại virus này trong muỗi cũng có thể là một cảnh báo về rủi ro đối với con người.
“Những năm có nhiều quần thể muỗi nhiễm virus có xu hướng phát hiện nhiều ca bệnh ở người và ngựa hơn”, bà Hill nói và nói thêm rằng biến đổi khí hậu có thể thúc đẩy nhiều quần thể muỗi hơn có thể mang virus EEEV hơn.
Người ta tin rằng muỗi ở một số khu vực trong tiểu bang New Hampshire đã nhiễm virus, trong khi các khu vực xung quanh đang trong tình trạng báo động cao, đặc biệt là ở tiểu bang lân cận Massachusetts.

