Ngày 9/11, bác sĩ chuyên khoa 2 Nguyễn Minh Tiến, Phó giám đốc Bệnh viện Nhi đồng Thành phố cho biết, bệnh nhi G.B. được bệnh viện địa phương chuyển đến cấp cứu trong tình trạng khó thở tím tái, thở rút lõm ngực nặng, nhịp tim 180 – 200 lần/phút.
![]() |
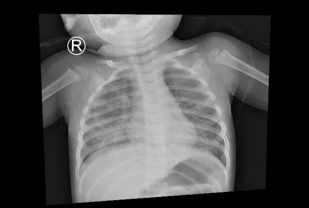
| Hình ảnh X quang ngực lúc nhập viện cho thấy, phổi của bé G.B. tổn thương. |
Theo ghi nhận bệnh sử, vào khoảng 17 giờ cùng ngày nhập viện, bé G.B. đang ở trong nhà và chơi với một bình dầu hương liệu dùng để thắp đèn. Bình này chứa khoảng 100ml dầu và nắp đã được mở sẵn do người nhà quên đóng. Bé đã đưa bình dầu vào miệng uống, sau đó ho sặc sụa, tím tái, trên áo vẫn dính đầy dầu hương liệu. Ngay khi phát hiện, người nhà lập tức đưa bé đến bệnh viện địa phương để sơ cứu, sau đó chuyển đến Bệnh viện Nhi đồng Thành phố.
Tại bệnh viện, bệnh nhi G.B. được đặt nội khí quản hỗ trợ thở, sử dụng kháng sinh, dịch truyền, điều chỉnh điện giải, điều trị toan kiềm, an thần, giãn cơ và đặt ống thông dạ dày để dẫn lưu hóa chất còn sót lại trong đường tiêu hóa ra ngoài.
Bác sĩ Tiến cho biết, sau một tuần điều trị, tình trạng của bé đã dần cải thiện, bé đã cai máy thở, thở khí trời, tỉnh táo và có thể tự bú.
Qua trường hợp này, bác sĩ Tiến nhắc nhở phụ huynh nên để thuốc và hóa chất xa tầm với trẻ hoặc cất trong các tủ có khóa để tránh trường hợp trẻ vô tình tiếp xúc, gây ra hậu quả đáng tiếc.
Theo bác sĩ, trẻ uống nhầm hóa chất thường có các biểu hiện như: Ho sặc sụa, cơ thể tím tái, hơi thở có mùi hóa chất… Khi trẻ bị ngộ độc do nuốt nhầm dầu hỏa, phụ huynh không nên gây nôn cho trẻ. Nguyên nhân là vì nếu gây nôn, khi hóa chất được đưa ra ngoài, hơi của hóa chất có thể tràn vào khí quản, làm tăng mức độ ngộ độc và gây bỏng thực quản. Trẻ dễ bị viêm phổi do hơi của hóa chất này xâm nhập vào đường hô hấp.
Cách xử trí ban đầu khi trẻ uống nhầm dầu hỏa là cho trẻ dùng nước muối loãng súc miệng, hoặc lau rửa miệng nếu trẻ còn nhỏ. Lau rửa nhiều lần giúp giảm nồng độ axit tại chỗ, tránh tổn thương lan rộng. Sau sơ cứu, phụ huynh cần đưa trẻ đến cơ sở y tế để tiếp tục cấp cứu và giải độc. Nhiều trường hợp trẻ uống phải xăng, dầu hỏa nặng phải nhập viện với các triệu chứng đau đầu, buồn nôn, nôn và ho.
Hóa chất có thể được tống ra ngoài theo đường tiêu hóa nếu trẻ uống lượng nhỏ. Tuy nhiên, phần lớn các trường hợp uống nhầm xăng, dầu hỏa có nguy cơ gây viêm phổi, do trẻ dễ dàng hít phải hơi độc của hóa chất. Hơi độc vào phổi gây tổn thương phế nang, và nếu thêm tình trạng sặc hóa chất vào phổi, tổn thương phổi sẽ càng nghiêm trọng hơn.
