Nguyên nhân và dấu hiệu nhận biết
Móm hay còn gọi là khớp cắn ngược là tình trạng bệnh lý bất thường về vị trí và kích thước xương hàm tương đối phổ biến, đặc biệt ở khu vực Đông Nam Á với tỷ lệ từ 4 đến 6.5%. Ở bệnh nhân bị móm, dấu hiệu phổ biến nhất là răng cửa dưới ở phía trước so với răng cửa trên, bệnh nhân có thể thấy vùng cằm bị đưa ra trước, vùng hàm trên bị lõm vào. Với các trường hợp nặng có thể gặp dấu hiệu mặt lưỡi cày hoặc hình trăng lưỡi liềm theo cách gọi dân gian.
![]() |
| Khớp cắn ngược (răng trên ở sau răng dưới). |
Tình trạng móm có thể do xương hàm trên bị lùi sau, xương hàm dưới bị đưa ra trước hoặc cả hai. Các nguyên nhân phổ biến có thể do di truyền, chấn thương, bệnh lý khối u làm thay đổi kích thước xương hàm và các hội chứng sọ mặt (Crouzon, Apert, Pfeiffer, v.v.). Không có cơ sở cho thấy các thói quen như nhai nhiều về một bên hay nằm nghiêng về một phía có tác động đến xương hàm. Kiểu hình móm có thể phát sinh từ lúc còn bé hoặc trong giai đoạn dậy thì nên có những bệnh nhân có khuôn mặt bình thường ở độ tuổi nhi đồng nhưng khi bước vào tuổi dậy thì lại có sự biến đổi mạnh dẫn đến tình trạng khớp cắn ngược.
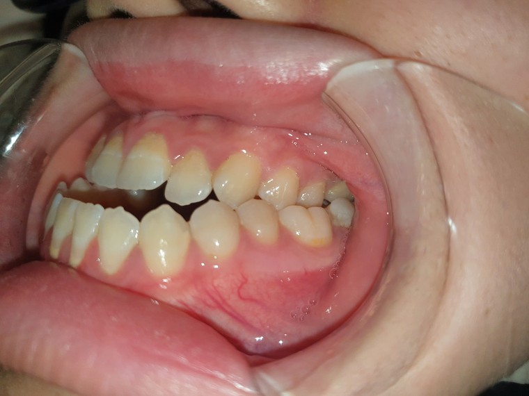
Dấu hiệu của khớp cắn ngược là răng cửa trên ở sau so với răng hàm dưới (bình thường răng cửa trên ở trước răng cửa dưới từ 2 đến 4 mm); phần mặt giữa phẳng, thiếu độ lồi, vùng rãnh cười có thể lõm; vùng cằm nhô ra trước và có thể lệch sang một bên, bệnh nhân có thể có kiểu hình mặt “lưỡi cày” hoặc hình “trăng khuyết” tương tự như mô tả gương mặt phù thuỷ trong văn học phương tây. Khiếm khuyết về ngoại hình này rất khó sửa chữa bằng các liệu pháp nguỵ trang như nắn chỉnh răng, tiêm chất làm đầy hay botox và có ảnh hưởng tiêu cực đến cơ hội trong cuộc sống cũng như sự tự tin của bệnh nhân. Răng cửa dưới sẽ có xu hướng ở trước răng cửa trên. Trong trường hợp nặng sẽ răng cửa hai hàm không chạm được vào nhau (Hình 1) khiến cho bệnh nhân ăn uống khó khăn, không cắn đứt được thức ăn bằng răng cửa. Việc phát âm cũng có thể bị ảnh hưởng nặng nề do răng và môi cũng là một phần của bộ máy phát âm. Khi bộ răng và môi không hài hoà (không chạm được vào nhau), sẽ có một số âm phát ra khó khăn như âm /f/ hoặc /v/ dẫn đến việc bệnh nhân có thể bị ngọng. Các răng hai hàm chen chúc, khấp khểnh, răng cửa dưới dựng thẳng hoặc ngả về phía sau tạo thành các khe kẽ nhỏ khó vệ sinh, xương ổ răng (phần xương bao bọc chân răng) mỏng làm cho răng dễ bị rụng khi về già.
![]() |
![]() |
Kiểu hình bệnh nhân bị móm. |
Điều trị phối hợp phẫu thuật chỉnh hình xương hàm và nắn chỉnh răng (niềng răng)
Về phương diện điều trị, ở giai đoạn trẻ đang thay răng sữa, bác sĩ nha khoa có thể cho trẻ đeo khí cụ facemask để kéo vùng xương hàm trên ra trước với tỷ lệ thành công 75%, tuy nhiên phương pháp này chỉ có tác dụng với hàm trên, các khí cụ can thiệp vào hàm dưới hầu như đều không có kết quả. Khi qua giai đoạn dậy thì có hai phương án điều trị chính, một là chỉnh nha nguỵ trang và hai là kết hợp phẫu thuật chỉnh hình xương hàm và chỉnh nha (hay còn gọi là nắn chỉnh răng hoặc niềng răng).
Chỉnh nha nguỵ trang có nghĩa là dùng sự di chuyển các răng để cố gắng che lấp đi các sai lệch về xương hàm. Bác sĩ chỉnh nha có thể dùng các kỹ thuật để khiến cho răng hàm trên phủ ra trước răng hàm dưới. Trong phần lớn các trường hợp phương pháp này có thể giúp cho bộ răng của bệnh nhân nhìn gần như bình thường nhưng tổng thể khuôn mặt thì không thay đổi và thậm chí còn tệ đi do răng cửa trên phải chìa hơn ra trước và răng cửa dưới ngả thêm ra sau (vốn đã có xu hướng ngả sẵn). Điều này thậm chí có thể gây tổn hại đến xương ổ răng khiến cho các răng cửa dưới tăng nguy cơ rụng về lâu dài.
Phương án phẫu thuật chỉnh hình xương hàm kết hợp với chỉnh nha là phương pháp điều trị triệt để và hiệu quả nhất cho các trường hợp móm (khớp cắn ngược). Bản chất của móm nói riêng và các dị dạng răng mặt nói chung là do xương hàm có sự sai lệch về vị trí và kích thước nên các răng mọc trên xương sẽ có sự thay đổi về vị trí và góc độ để cố gắng thích nghi với vị trí sai của xương hàm. Do đó quá trình điều trị cần bao gồm hai thành phần là phẫu thuật để đưa xương hàm về vị trí và kích thước hợp lý và chỉnh nha để để điều chỉnh các răng khớp vào nhau ở vị trí mới của xương hàm. Cần nhấn mạnh rằng, trong đại đa số các trường hợp việc phối hợp giữa nắn chỉnh răng và phẫu thuật là tối cần thiết để đạt được kết quả điều trị tối đa về thẩm mỹ và chức năng. Thời gian tiến hành phẫu thuật thông thường là vào thời điểm sau khi kết thúc tuổi dậy thì, thường với nữ là 15 tuổi và nam là 17 tuổi. Tuỳ theo yêu cầu về chuyên môn, về thời gian và mong muốn của bệnh nhân mà bác sĩ có thể tiến hành trình tự chỉnh nha trước - phẫu thuật sau hoặc phẫu thuật trước - chỉnh nha sau.
Trình tự chỉnh nha trước - phẫu thuật sau là trình tự truyền thống, hiện tại vẫn đang được sử dụng phổ biến với ưu điểm là độ chính xác cao và làm cho ca mổ dễ thực hiện hơn, có thể áp dụng cho hầu hết các trường hợp. Ở phác đồ này, bác sĩ chỉnh nha sẽ tiến hành can thiệp trước để dựng lại góc độ của các răng đang nghiêng ngả không đúng, làm đều các răng chen chúc để làm sao trả các răng về vị trí chuẩn trên cung hàm tương ứng. Quá trình này sẽ hết khoảng 6 tháng đến 1.5 năm tuỳ theo mức độ phức tạp và việc có nhổ răng hay không. Sau khi bước chuẩn bị kết thúc, bệnh nhân sẽ được tiến hành phẫu thuật chỉnh hình xương hàm. Sau phẫu thuật 2 tuần bệnh nhân sẽ được nắn chỉnh răng tiếp để hoàn thiện khớp cắn trong khoảng 6 tháng. Nếu các bước diễn ra thuận lợi, tổng thời gian điều trị sẽ kéo dài khoảng 2 năm. Nhược điểm của phác đồ này là thời gian chờ đợi để mổ kéo dài. Trong quá trình chỉnh nha để chuẩn bị mổ, diện mạo và chức năng của bệnh nhân thậm chí còn đi xuống so với trước khi điều trị khiến cho tinh thần và chất lượng cuộc sống của bệnh nhân giảm.
Trong trình tự phẫu thuật trước - chỉnh nha sau, bệnh nhân sẽ được tiến hành di chuyển xương hàm trước, sau đó mới tiến hành chỉnh nha để sắp xếp lại bộ răng về vị trí đúng. Nhược điểm của phương pháp này là độ chính xác sẽ giảm đi một chút so với trình tự điều trị truyền thống đồng thời ca phẫu thuật sẽ phức tạp hơn cho phẫu thuật viên. Tuy nhiên phác đồ này lại vượt trội về mặt thời gian và đem lại trải nghiệm tốt hơn cho bệnh nhân do cải thiện về thẩm mỹ ngay lập tức. Nhờ có hiệu ứng tăng tốc chỉnh nha khi cơ thể khởi động bộ máy lành thương sau phẫu thuật, thời gian để răng di chuyển sau khi mổ cũng rút ngắn đáng kể. Tổng thời gian điều trị có thể được rút ngắn đáng kể xuống còn 9 tháng đến 1 năm trong điều kiện lý tưởng và bệnh nhân tuân thủ hướng dẫn của bác sĩ. Trong một số trường hợp khó, các răng không thể di chuyển theo mong muốn của bác sĩ nên phẫu thuật trước - chỉnh nha sau là lựa chọn bắt buộc.
Kỹ thuật phẫu thuật móm và chăm sóc sau mổ
Có 3 kỹ thuật chính được sử dụng trong phẫu thuật chỉnh hình xương hàm để sửa chữa tình trạng móm. Với xương hàm trên, kỹ thuật cắt xương hàm theo đường Le Fort I là phương pháp phổ biến nhất để tách rời phần mang răng của hàm trên ra và di chuyển theo 3 chiều không gian vào vị trí đã được lên kế hoạch từ trước. Đối với xương hàm dưới, bác sĩ hay dùng kỹ thuật chẻ dọc cành cao xương hàm dưới (Bilateral sagittal split osteotomy – BSSO) để di chuyển xương hàm vào vị trí mong muốn. Kỹ thuật tạo hình cằm có thể được triển khai đồng thời với phẫu thuật 2 hàm để khuôn mặt hài hoà hơn, trong kỹ thuật này vùng xương cằm được tách rời ra và di chuyển theo 3 chiều không gian về vị trí hợp lý.
![]() |
Kỹ thuật cắt xương hàm trên theo đường Le Fort I. |
![]() |
Kỹ thuật cắt xương hàm dưới BSSO. |
Hiện tại phẫu thuật chỉnh hình xương hàm để điều trị móm đã trở thành một kỹ thuật thường quy, mỗi ca phẫu thuật kéo dài chỉ từ 2 đến 4 giờ thay vì 6 đến 8 giờ như trước đây. Thời gian nằm viện cũng chỉ còn 2 đến 3 ngày. Trong quá trình hậu phẫu hầu như bệnh nhân chỉ thấy đau rất ít và có thể kiểm soát dễ dàng bằng thuốc giảm đau thông thường. Sau phẫu thuật 1 – 2 tuần bệnh nhân có thể đi học, đi làm; sau 6 tuần có thể ăn uống bình thường; còn sưng nề sẽ hết hoàn toàn sau 6 tháng. Bệnh nhân có thể có tê bì nhẹ vùng môi trên và môi dưới và sẽ thường sẽ hết sau vài tháng.
Ứng dụng công nghệ 3D trong phẫu thuật móm
Ngày nay, với các phần mềm chuyên dụng và phim cắt lớp vi tính độ phân giải cao, bác sĩ có thể tính toán chính xác mức độ lệch lạc của bệnh nhân để đưa ra phương án hợp lý nhất. Vị trí di chuyển của xương hàm được tính toán với độ chính xác đến từng milimet. Các công cụ hướng dẫn phẫu thuật cá nhân hoá cho từng bệnh nhân cũng được thiết kế luôn trên máy tính và sử dụng để dẫn đường cho phẫu thuật viên trong quá trình thực hiện ca mổ. Bệnh nhân dù ở Việt Nam cũng có thể tiếp cận những công nghệ này như tại các nước phát triển trên thế giới.
![]() |
Kế hoạch phẫu thuật được mô phỏng và tính toán trên phần mềm máy tính. |
![]() |
Hình ảnh bệnh nhân sau mổ 6 tháng. |






